| UNIPROT | P11831 |
| Иммуноген | RPA515Hu01-Recombinant Serum Response Factor (SRF) |
Polyclonal Antibody to Serum Response Factor (SRF) (PAA515Hu01)
Реактивность подтвержденная:
человек
Источник (хозяин):
кролик
Валидировано для:
IHC
Характеристики
Техническое описание
| Русское название | PAA515Hu01 Поликлональное антитело к SRF (человек) <Cloud-Clone,Китай> |
| Каталожный номер | PAA515Hu01 |
| Название антигена | Serum Response Factor (SRF) |
| UNIPROT | P11831 |
| Иммуноген | RPA515Hu01-Recombinant Serum Response Factor (SRF) |
| Английские синонимы | MCM1, C-Fos Serum Response Element-Binding Transcription Factor |
Реактивность подтвержденная Нужна другая реактивность? |
человек |
| Реактивность предсказываемая | мышь, крыса |
| Источник (хозяин) | кролик |
| Клональность | поликлональное |
| Рекомбинантное | нет |
| Готовое к использованию | нет |
| Концентрация | 0.5 мг/мл |
| Конъюгат | По запросу: HRP, biotin, PerCP, PE, Cy3, FITC, Cy7, Cy5.5, PE-Cy5, PE-Cy7, PerCp-Cy5.5, APC, Cy5, PE-Cy3, PE-Cy5.5, APC-Cy7, Biotin-APC, FITC-Biotin, TRITC, APC-Cy5, AF488, AF594, AF405, AF555, AF700, AF647, AF750 |
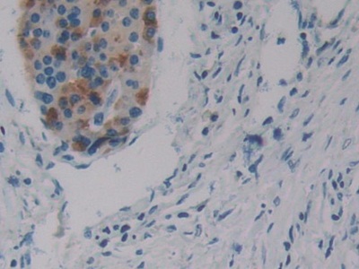
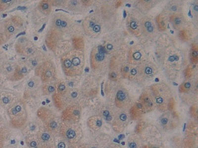
| Валидировано для | IHC Иммуногистохимия |
| Рекомендуемые разведения | WB: 0.5-2 мкг/мл; IHC: 5-20 мкг/мл; ICC: 5-20 мкг/мл; Оптимальное разведение определяется конечным потребителем |
| Метод очистки | Антигенспецифическая аффинная хроматография с последующей аффинной хроматографией с белком А |
| Состав буфера | PBS, pH7.4, 0.02% NaN3, 50% глицерин |
| Условия доставки | термобокс с аккумуляторами холода |
| Условия хранения | Сразу после получения аликвотировать и хранить при -20ºС до 24 месяцев. Для частого использования хранить при +4ºС не более 2 недель. Избегать повторения циклов замерзания/оттаивания |
| Срок хранения | 24 месяца |
| Производитель | Cloud-Clone Corp. |
| Ссылка на страницу товара на сайте производителя | http://www.cloud-clone.com/products/PAA515Hu01.html |
|
Артикул
|
Наименование |
Производитель
|
|---|
|
Артикул
|
Наименование |
Производитель
|
|---|
|
Артикул
|
Наименование |
Производитель
|
|---|
Акции и предложения
Популярные продукты:
NeuN Mouse Monoclonal Antibody (BF9366)
Источник (хозяин): мышь
Реактивность подтвержденная: человек, крыса
Валидировано для: WB
Реактивность подтвержденная: человек, крыса
Валидировано для: WB
STKLD1 Mouse Monoclonal Antibody (BF8819)
Источник (хозяин): мышь
Реактивность подтвержденная: человек, мышь, крыса
Валидировано для: WB
Реактивность подтвержденная: человек, мышь, крыса
Валидировано для: WB
Canine Hyaluronidase 2 ELISA kit (E08H1414)
Организм: собака
Recombinant Mouse SerpinD1/HCF2 Protein (His Tag) (PKSM040854)
Источник (хозяин): HEK293
Организм: мышь
Фрагмент: Met1-Ser 478
Теги: C-His
Биоактивность: да
Организм: мышь
Фрагмент: Met1-Ser 478
Теги: C-His
Биоактивность: да
Anti-CDC42EP1 Antibody (R2B76) (RHF82601)
Источник (хозяин): кролик
Реактивность подтвержденная: человек
Валидировано для: WB
Реактивность подтвержденная: человек
Валидировано для: WB
Anti-Human CD262/TNFRSF10B/TRAIL-R2 Antibody (SAA1413), PerCP (FHA29134)
Источник (хозяин): мышь
Реактивность подтвержденная: человек
Валидировано для: FCM
Реактивность подтвержденная: человек
Валидировано для: FCM

