| UNIPROT | Q9NTG7 |
| Иммуноген | RPE913Hu01-Recombinant Sirtuin 3 (SIRT3) |
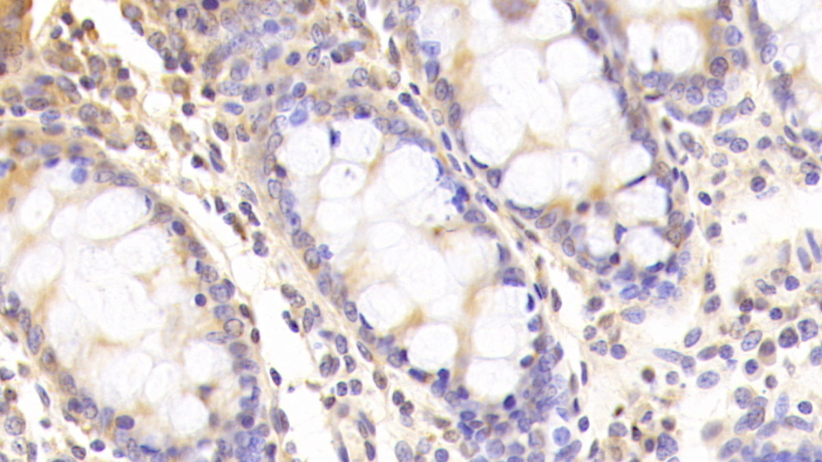
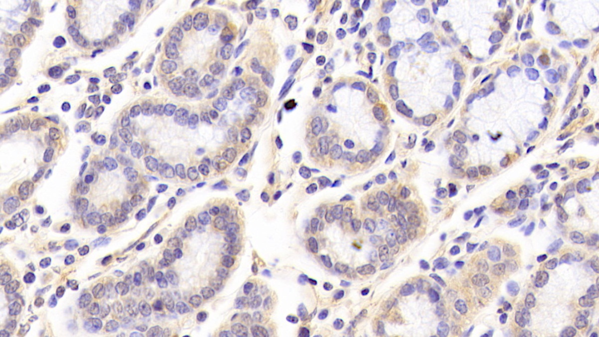
Polyclonal Antibody to Sirtuin 3 (SIRT3) (PAE913Hu01)
Реактивность подтвержденная:
человек
Источник (хозяин):
кролик
Валидировано для:
IHC
Характеристики
Техническое описание
| Русское название | PAE913Hu01 Поликлональное антитело к SIRT3 (человек) <Cloud-Clone,Китай> |
| Каталожный номер | PAE913Hu01 |
| Название антигена | Sirtuin 3 (SIRT3) |
| UNIPROT | Q9NTG7 |
| Иммуноген | RPE913Hu01-Recombinant Sirtuin 3 (SIRT3) |
| Английские синонимы | SIR2L3, Silent Mating Type Information Regulation 2 Homolog 3, NAD-dependent protein deacetylase sirtuin-3, mitochondrial, SIR2-like protein 3, Regulatory protein SIR2 homolog 3 |
Реактивность подтвержденная Нужна другая реактивность? |
человек |
| Реактивность предсказываемая | крыса, свинья |
| Источник (хозяин) | кролик |
| Клональность | поликлональное |
| Рекомбинантное | нет |
| Готовое к использованию | нет |
| Концентрация | 0.5 мг/мл |
| Конъюгат | По запросу: HRP, biotin, PerCP, PE, Cy3, FITC, Cy7, Cy5.5, PE-Cy5, PE-Cy7, PerCp-Cy5.5, APC, Cy5, PE-Cy3, PE-Cy5.5, APC-Cy7, Biotin-APC, FITC-Biotin, TRITC, APC-Cy5, AF488, AF594, AF405, AF555, AF700, AF647, AF750 |
| Валидировано для | IHC Иммуногистохимия |
| Рекомендуемые разведения | WB: 0.5-2 мкг/мл; IHC: 5-20 мкг/мл; ICC: 5-20 мкг/мл; Оптимальное разведение определяется конечным потребителем |
| Метод очистки | Антигенспецифическая аффинная хроматография с последующей аффинной хроматографией с белком А |
| Состав буфера | 0.01M PBS, pH7.4, 0.05% Proclin-300, 50% глицерин |
| Условия доставки | термобокс с аккумуляторами холода |
| Условия хранения | Сразу после получения аликвотировать и хранить при -20ºС до 24 месяцев. Для частого использования хранить при +4ºС не более 2 недель. Избегать повторения циклов замерзания/оттаивания |
| Срок хранения | 24 месяца |
| Производитель | Cloud-Clone Corp. |
| Ссылка на страницу товара на сайте производителя | http://www.cloud-clone.com/products/PAE913Hu01.html |
|
Артикул
|
Наименование |
Производитель
|
|---|
|
Артикул
|
Наименование |
Производитель
|
|---|
|
Артикул
|
Наименование |
Производитель
|
|---|
|
Артикул
|
Наименование |
Производитель
|
|---|
|
Артикул
|
Наименование |
Производитель
|
|---|
Акции и предложения
Популярные продукты:
Anti-Human CD131/CSF2RB Antibody (SAA1388), FITC (FHE01511)
Источник (хозяин): мышь
Реактивность подтвержденная: человек
Валидировано для: FCM
Реактивность подтвержденная: человек
Валидировано для: FCM
OBP2A Antibody (DF13905)
Источник (хозяин): кролик
Реактивность подтвержденная: человек
Валидировано для: IHC
Реактивность подтвержденная: человек
Валидировано для: IHC
Polyclonal Antibody to Sirtuin 3 (SIRT3) (PAE913Hu01)
Источник (хозяин): кролик
Реактивность подтвержденная: человек
Валидировано для: IHC
Реактивность подтвержденная: человек
Валидировано для: IHC
ELISA Kit for Amylin (RA812C-Ra)
Организм: крыса
Диапазон определения: 6.17-500 пг/мл
Чувствительность: 2.83 пг/мл
Диапазон определения: 6.17-500 пг/мл
Чувствительность: 2.83 пг/мл
Rabbit Anti-NeuN Antibody (SAA2241) (RHA00601)
Источник (хозяин): кролик
Реактивность подтвержденная: человек, мышь, крыса
Валидировано для: FCM, ICC, IF, IHC, WB
Реактивность подтвержденная: человек, мышь, крыса
Валидировано для: FCM, ICC, IF, IHC, WB
Mouse Anti-SARS-CoV-2 S/Spike glycoprotein IgA Antibody (SAA2227) (RVV00326)
Источник (хозяин): мышь
Реактивность подтвержденная: вирусы
Валидировано для: ELISA
Реактивность подтвержденная: вирусы
Валидировано для: ELISA

