| UNIPROT | Q9Y6E7 |
| Иммуноген | RPE914Hu01-Recombinant Sirtuin 4 (SIRT4) |
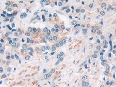
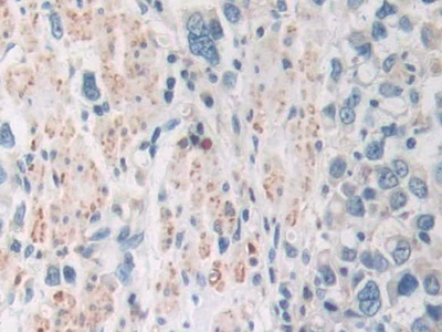
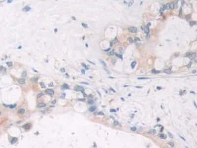
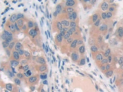
Polyclonal Antibody to Sirtuin 4 (SIRT4) (PAE914Hu01)
Реактивность подтвержденная:
человек
Источник (хозяин):
кролик
Валидировано для:
IHC
Характеристики
Публикации
Техническое описание
| Русское название | PAE914Hu01 Поликлональное антитело к SIRT4 (человек) <Cloud-Clone,Китай> |
| Каталожный номер | PAE914Hu01 |
| Название антигена | Sirtuin 4 (SIRT4) |
| UNIPROT | Q9Y6E7 |
| Иммуноген | RPE914Hu01-Recombinant Sirtuin 4 (SIRT4) |
| Английские синонимы | SIR2L4, Silent Mating Type Information Regulation 2 Homolog 4, SIR2-like protein 4, NAD-dependent protein deacetylase sirtuin-4 |
Реактивность подтвержденная Нужна другая реактивность? |
человек |
| Источник (хозяин) | кролик |
| Клональность | поликлональное |
| Рекомбинантное | нет |
| Готовое к использованию | нет |
| Концентрация | 0.5 мг/мл |
| Конъюгат | По запросу: HRP, biotin, PerCP, PE, Cy3, FITC, Cy7, Cy5.5, PE-Cy5, PE-Cy7, PerCp-Cy5.5, APC, Cy5, PE-Cy3, PE-Cy5.5, APC-Cy7, Biotin-APC, FITC-Biotin, TRITC, APC-Cy5, AF488, AF594, AF405, AF555, AF700, AF647, AF750 |
| Валидировано для | IHC Иммуногистохимия |
| Рекомендуемые разведения | WB: 0.01-2 мкг/мл; IHC: 5-20 мкг/мл; ICC: 5-20 мкг/мл; Оптимальное разведение определяется конечным потребителем |
| Метод очистки | Антигенспецифическая аффинная хроматография с последующей аффинной хроматографией с белком А |
| Состав буфера | PBS, pH7.4, 0.02% NaN3, 50% глицерин |
| Условия доставки | термобокс с аккумуляторами холода |
| Условия хранения | Сразу после получения аликвотировать и хранить при -20ºС до 24 месяцев. Для частого использования хранить при +4ºС не более 2 недель. Избегать повторения циклов замерзания/оттаивания |
| Срок хранения | 24 месяца |
| Производитель | Cloud-Clone Corp. |
| Ссылка на страницу товара на сайте производителя | http://www.cloud-clone.com/products/PAE914Hu01.html |
|
Артикул
|
Наименование |
Производитель
|
|---|
|
Артикул
|
Наименование |
Производитель
|
|---|
|
Артикул
|
Наименование |
Производитель
|
|---|
|
Артикул
|
Наименование |
Производитель
|
|---|
|
Артикул
|
Наименование |
Производитель
|
|---|
Акции и предложения
Популярные продукты:
NSUN5 Mouse Monoclonal Antibody (BF8706)
Источник (хозяин): мышь
Реактивность подтвержденная: человек, крыса
Валидировано для: WB
Реактивность подтвержденная: человек, крыса
Валидировано для: WB
Anti-Human SMDT1 Polyclonal Antibody (PHP31701)
Источник (хозяин): кролик
Реактивность подтвержденная: человек
Валидировано для: ELISA, IHC, WB
Реактивность подтвержденная: человек
Валидировано для: ELISA, IHC, WB
Sheep Lymphotactin ELISA kit (E14L0269)
Организм: овца
Chicken Lymphotactin ELISA kit (E12L0269)
Организм: курица
Monkey Lymphotactin ELISA kit (E09L0269)
Организм: обезьяна
Goat Lymphotactin ELISA kit (E06L0269)
Организм: коза

