| UNIPROT | Q8K2C6 |
| Иммуноген | RPE915Mu01-Recombinant Sirtuin 5 (SIRT5) |
Polyclonal Antibody to Sirtuin 5 (SIRT5) (PAE915Mu01)
Реактивность подтвержденная:
мышь
Источник (хозяин):
кролик
Валидировано для:
IHC
WB
Характеристики
Публикации
Техническое описание
| Русское название | PAE915Mu01 Поликлональное антитело к SIRT5 (мышь) <Cloud-Clone,Китай> |
| Каталожный номер | PAE915Mu01 |
| Название антигена | Sirtuin 5 (SIRT5) |
| UNIPROT | Q8K2C6 |
| Иммуноген | RPE915Mu01-Recombinant Sirtuin 5 (SIRT5) |
| Английские синонимы | SIR2L5, Silent Mating Type Information Regulation 2 Homolog 5, NAD-dependent protein deacylase sirtuin-5, mitochondrial, Regulatory protein SIR2 homolog 5, SIR2-like protein 5 |
Реактивность подтвержденная Нужна другая реактивность? |
мышь |
| Источник (хозяин) | кролик |
| Клональность | поликлональное |
| Рекомбинантное | нет |
| Готовое к использованию | нет |
| Концентрация | 1 мг/мл |
| Конъюгат | По запросу: HRP, biotin, PerCP, PE, Cy3, FITC, Cy7, Cy5.5, PE-Cy5, PE-Cy7, PerCp-Cy5.5, APC, Cy5, PE-Cy3, PE-Cy5.5, APC-Cy7, Biotin-APC, FITC-Biotin, TRITC, APC-Cy5, AF488, AF594, AF405, AF555, AF700, AF647, AF750 |
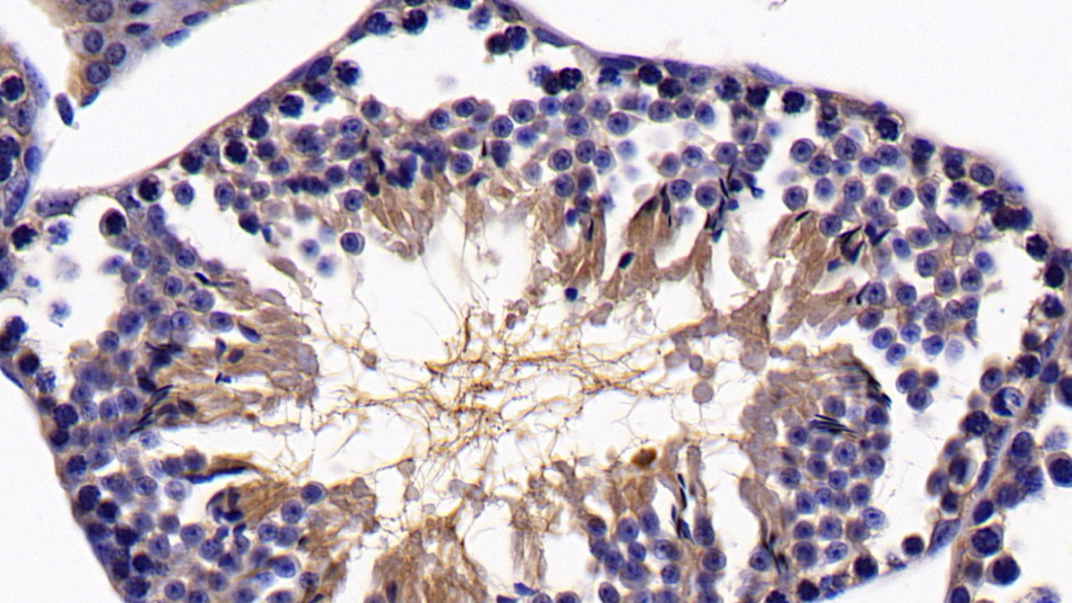
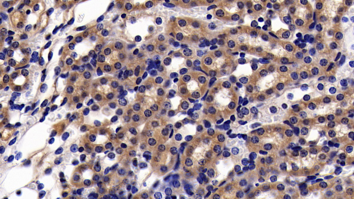
| Валидировано для | IHC WB Иммуногистохимия; Вестерн-блоттинг |
| Рекомендуемые разведения | WB: 0.5-2 мкг/мл; IHC: 5-20 мкг/мл; ICC: 5-20 мкг/мл; Оптимальное разведение определяется конечным потребителем |
| Метод очистки | Антигенспецифическая аффинная хроматография с последующей аффинной хроматографией с белком А |
| Состав буфера | 0.01M PBS, pH7.4, 0.05% Proclin-300, 50% глицерин |
| Условия доставки | термобокс с аккумуляторами холода |
| Условия хранения | Сразу после получения аликвотировать и хранить при -20ºС до 24 месяцев. Для частого использования хранить при +4ºС не более 2 недель. Избегать повторения циклов замерзания/оттаивания |
| Срок хранения | 24 месяца |
| Производитель | Cloud-Clone Corp. |
| Ссылка на страницу товара на сайте производителя | http://www.cloud-clone.com/products/PAE915Mu01.html |
|
Артикул
|
Наименование |
Производитель
|
|---|
|
Артикул
|
Наименование |
Производитель
|
|---|
|
Артикул
|
Наименование |
Производитель
|
|---|
|
Артикул
|
Наименование |
Производитель
|
|---|
|
Артикул
|
Наименование |
Производитель
|
|---|
Акции и предложения
Популярные продукты:
Sheep Follistatin Like Protein 1 ELISA kit (E14F0385)
Организм: овца
Chicken Follistatin Like Protein 1 ELISA kit (E12F0385)
Организм: курица
Sheep Follistatin Like Protein 3 ELISA kit (E14F0387)
Организм: овца
Guinea Pig Chromobox Homolog 3 ELISA kit (E05C0608)
Организм: морская свинка
Porcine Connexin 40 ELISA kit ELISA kit (E07C0591)
Организм: свинья

