| UNIPROT | O75093 |
| Иммуноген | RPD354Hu02-Recombinant Slit Homolog 1 (Slit1) |
Polyclonal Antibody to Slit Homolog 1 (Slit1) (PAD354Hu02)
Реактивность подтвержденная:
человек
Источник (хозяин):
кролик
Валидировано для:
IHC
WB
Характеристики
Техническое описание
| Русское название | PAD354Hu02 Поликлональное антитело к Slit1 (человек) <Cloud-Clone,Китай> |
| Каталожный номер | PAD354Hu02 |
| Название антигена | Slit Homolog 1 (Slit1) |
| UNIPROT | O75093 |
| Иммуноген | RPD354Hu02-Recombinant Slit Homolog 1 (Slit1) |
| Английские синонимы | MEGF4, SLIL1, SLIT3, Multiple epidermal growth factor-like domains protein 4 |
Реактивность подтвержденная Нужна другая реактивность? |
человек |
| Реактивность предсказываемая | крыса, свинья |
| Источник (хозяин) | кролик |
| Клональность | поликлональное |
| Рекомбинантное | нет |
| Готовое к использованию | нет |
| Концентрация | 0.5 мг/мл |
| Конъюгат | По запросу: HRP, biotin, PerCP, PE, Cy3, FITC, Cy7, Cy5.5, PE-Cy5, PE-Cy7, PerCp-Cy5.5, APC, Cy5, PE-Cy3, PE-Cy5.5, APC-Cy7, Biotin-APC, FITC-Biotin, TRITC, APC-Cy5, AF488, AF594, AF405, AF555, AF700, AF647, AF750 |
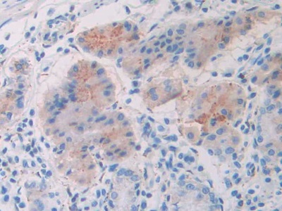
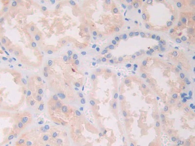
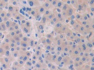
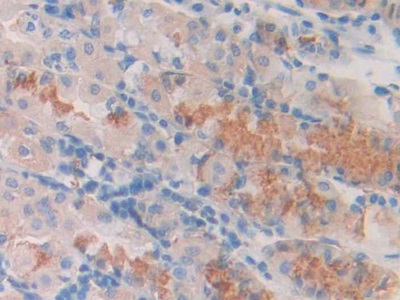
| Валидировано для | IHC WB Иммуногистохимия; Вестерн-блоттинг |
| Рекомендуемые разведения | WB: 0.01-3 мкг/мл; IHC: 5-30 мкг/мл; Оптимальное разведение определяется конечным потребителем |
| Метод очистки | Антигенспецифическая аффинная хроматография с последующей аффинной хроматографией с белком А |
| Состав буфера | 0.01M PBS, pH7.4, 0.05% Proclin-300, 50% глицерин |
| Условия доставки | термобокс с аккумуляторами холода |
| Условия хранения | Сразу после получения аликвотировать и хранить при -20ºС до 24 месяцев. Для частого использования хранить при +4ºС не более 2 недель. Избегать повторения циклов замерзания/оттаивания |
| Срок хранения | 24 месяца |
| Производитель | Cloud-Clone Corp. |
| Ссылка на страницу товара на сайте производителя | http://www.cloud-clone.com/products/PAD354Hu02.html |
|
Артикул
|
Наименование |
Производитель
|
|---|
|
Артикул
|
Наименование |
Производитель
|
|---|
|
Артикул
|
Наименование |
Производитель
|
|---|
|
Артикул
|
Наименование |
Производитель
|
|---|
Акции и предложения
Популярные продукты:
ELISA Kit DIY Materials for Erythroferrone (ERFE) (KSU540Hu01)
Организм: человек
Диапазон определения: 0.156-10 нг/мл
Чувствительность: 0.064 нг/мл
Диапазон определения: 0.156-10 нг/мл
Чувствительность: 0.064 нг/мл
Rabbit Matrilysin ELISA kit (E04M0234)
Организм: кролик
Porcine Centrobin(CNTROB) ELISA kit (E07C1877)
Организм: свинья
Goat Mannose Phosphate Isomerase ELISA kit (E06M0021)
Организм: коза
Rat Paired box gene 9 ELISA kit (E02P0019)
Организм: крыса

