| UNIPROT | O88279 |
| Иммуноген | RPD354Ra03-Recombinant Slit Homolog 1 (Slit1) |
Polyclonal Antibody to Slit Homolog 1 (Slit1) (PAD354Ra03)
Реактивность подтвержденная:
крыса
Источник (хозяин):
кролик
Валидировано для:
IHC
WB
Характеристики
Техническое описание
| Русское название | PAD354Ra03 Поликлональное антитело к Slit1 (крыса) <Cloud-Clone,Китай> |
| Каталожный номер | PAD354Ra03 |
| Название антигена | Slit Homolog 1 (Slit1) |
| UNIPROT | O88279 |
| Иммуноген | RPD354Ra03-Recombinant Slit Homolog 1 (Slit1) |
| Английские синонимы | MEGF4, SLIL1, SLIT3, Multiple epidermal growth factor-like domains protein 4 |
Реактивность подтвержденная Нужна другая реактивность? |
крыса |
| Реактивность предсказываемая | мышь |
| Источник (хозяин) | кролик |
| Клональность | поликлональное |
| Рекомбинантное | нет |
| Готовое к использованию | нет |
| Концентрация | 500 мкг/мл |
| Конъюгат | По запросу: HRP, biotin, PerCP, PE, Cy3, FITC, Cy7, Cy5.5, PE-Cy5, PE-Cy7, PerCp-Cy5.5, APC, Cy5, PE-Cy3, PE-Cy5.5, APC-Cy7, Biotin-APC, FITC-Biotin, TRITC, APC-Cy5, AF488, AF594, AF405, AF555, AF700, AF647, AF750 |
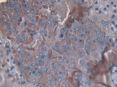
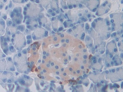
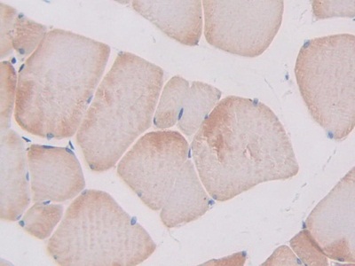
| Валидировано для | IHC WB Иммуногистохимия; Вестерн-блоттинг |
| Рекомендуемые разведения | WB: 0.5-5 мкг/мл; IHC: 5-50 мкг/мл; ICC: 5-50 мкг/мл; Оптимальное разведение определяется конечным потребителем |
| Метод очистки | Антигенспецифическая аффинная хроматография с последующей аффинной хроматографией с белком А |
| Состав буфера | 0.01M PBS, pH7.4, 0.05% Proclin-300, 50% глицерин |
| Условия доставки | термобокс с аккумуляторами холода |
| Условия хранения | Сразу после получения аликвотировать и хранить при -20ºС до 24 месяцев. Для частого использования хранить при +4ºС не более 2 недель. Избегать повторения циклов замерзания/оттаивания |
| Срок хранения | 24 месяца |
| Производитель | Cloud-Clone Corp. |
| Ссылка на страницу товара на сайте производителя | http://www.cloud-clone.com/products/PAD354Ra03.html |
|
Артикул
|
Наименование |
Производитель
|
|---|
|
Артикул
|
Наименование |
Производитель
|
|---|
|
Артикул
|
Наименование |
Производитель
|
|---|
|
Артикул
|
Наименование |
Производитель
|
|---|
Акции и предложения
Популярные продукты:
Anti-Human CD7 Antibody (SAb2342) (RHC41808)
Источник (хозяин): мышь
Реактивность подтвержденная: человек
Валидировано для: ELISA, FCM, IF
Реактивность подтвержденная: человек
Валидировано для: ELISA, FCM, IF
Anti-Slit Homolog 1 (Slit1) Polyclonal Antibody (FAD354Ra03)
Источник (хозяин): кролик
Реактивность подтвержденная: крыса
Валидировано для: FCM
Реактивность подтвержденная: крыса
Валидировано для: FCM
Anti-Slit Homolog 1 (Slit1) Polyclonal Antibody (FAD354Mu03)
Источник (хозяин): кролик
Реактивность подтвержденная: мышь
Валидировано для: FCM
Реактивность подтвержденная: мышь
Валидировано для: FCM
Anti-Slit Homolog 1 (Slit1) Polyclonal Antibody (FAD354Mu01)
Источник (хозяин): кролик
Реактивность подтвержденная: мышь
Валидировано для: FCM
Реактивность подтвержденная: мышь
Валидировано для: FCM
Bovine Cadherin 22(CDH22) ELISA kit (E11C1542)
Организм: корова
Guinea Pig Cadherin 22(CDH22) ELISA kit (E05C1542)
Организм: морская свинка

