| UNIPROT | Q9R1B9 |
| Иммуноген | RPA672Mu01-Recombinant Slit Homolog 2 (Slit2) |
Polyclonal Antibody to Slit Homolog 2 (Slit2) (PAA672Mu01)
Реактивность подтвержденная:
мышь
Источник (хозяин):
кролик
Валидировано для:
IHC
Характеристики
Техническое описание
| Русское название | PAA672Mu01 Поликлональное антитело к Slit2 (мышь) <Cloud-Clone,Китай> |
| Каталожный номер | PAA672Mu01 |
| Название антигена | Slit Homolog 2 (Slit2) |
| UNIPROT | Q9R1B9 |
| Иммуноген | RPA672Mu01-Recombinant Slit Homolog 2 (Slit2) |
| Английские синонимы | SLIL3 |
Реактивность подтвержденная Нужна другая реактивность? |
мышь |
| Источник (хозяин) | кролик |
| Клональность | поликлональное |
| Рекомбинантное | нет |
| Готовое к использованию | нет |
| Концентрация | 1 мг/мл |
| Конъюгат | По запросу: HRP, biotin, PerCP, PE, Cy3, FITC, Cy7, Cy5.5, PE-Cy5, PE-Cy7, PerCp-Cy5.5, APC, Cy5, PE-Cy3, PE-Cy5.5, APC-Cy7, Biotin-APC, FITC-Biotin, TRITC, APC-Cy5, AF488, AF594, AF405, AF555, AF700, AF647, AF750 |
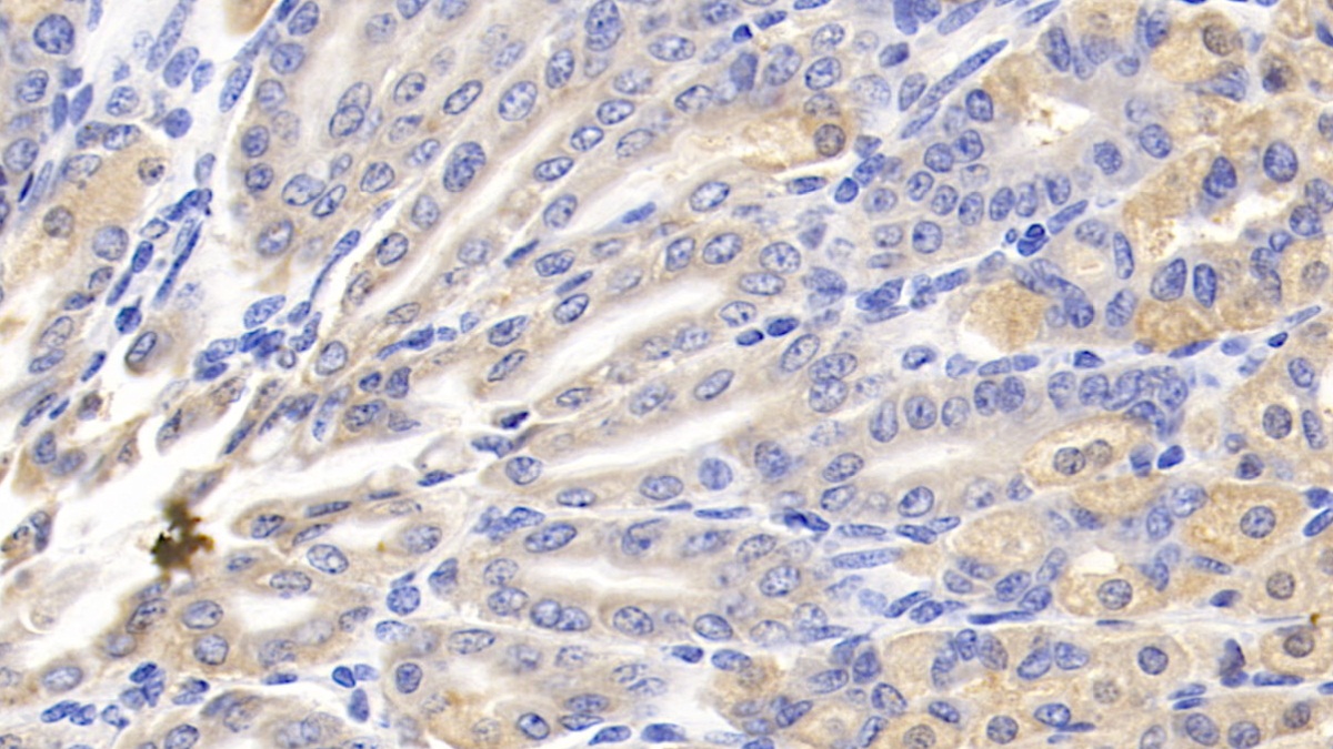
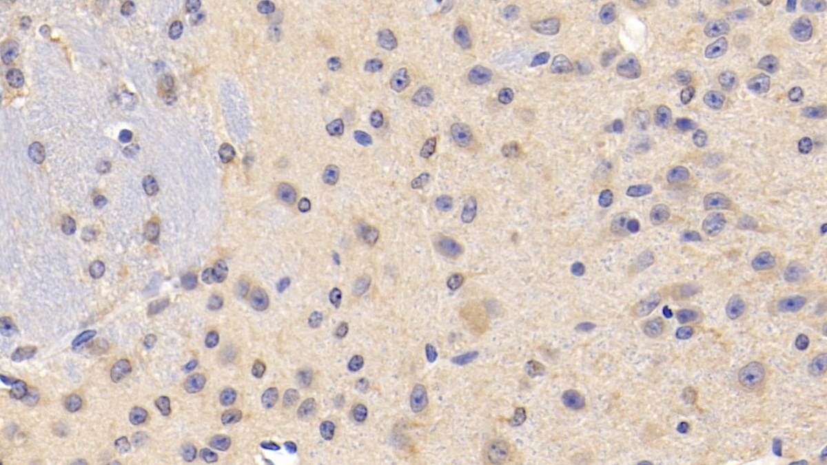
| Валидировано для | IHC Иммуногистохимия |
| Рекомендуемые разведения | WB: 0.5-2 мкг/мл; IHC: 5-20 мкг/мл; ICC: 5-20 мкг/мл; Оптимальное разведение определяется конечным потребителем |
| Метод очистки | Антигенспецифическая аффинная хроматография с последующей аффинной хроматографией с белком А |
| Состав буфера | 0.01M PBS, pH7.4, 0.05% Proclin-300, 50% глицерин |
| Условия доставки | термобокс с аккумуляторами холода |
| Условия хранения | Сразу после получения аликвотировать и хранить при -20ºС до 24 месяцев. Для частого использования хранить при +4ºС не более 2 недель. Избегать повторения циклов замерзания/оттаивания |
| Срок хранения | 24 месяца |
| Производитель | Cloud-Clone Corp. |
| Ссылка на страницу товара на сайте производителя | http://www.cloud-clone.com/products/PAA672Mu01.html |
|
Артикул
|
Наименование |
Производитель
|
|---|
|
Артикул
|
Наименование |
Производитель
|
|---|
|
Артикул
|
Наименование |
Производитель
|
|---|
|
Артикул
|
Наименование |
Производитель
|
|---|
|
Артикул
|
Наименование |
Производитель
|
|---|
|
Артикул
|
Наименование |
Производитель
|
|---|
Акции и предложения
Популярные продукты:
Anti-Human IA-2/PTPRN Antibody (96/3#) (RHH38902)
Источник (хозяин): мышь
Реактивность подтвержденная: человек
Валидировано для: IHC, IP, WB
Реактивность подтвержденная: человек
Валидировано для: IHC, IP, WB
ELISA Kit DIY Materials for Myosin Heavy Chain 7, Cardiac Muscle, Beta (MYH7) (KSD418Hu01)
Организм: человек
Диапазон определения: 0.156-10 нг/мл
Чувствительность: 0.060 нг/мл
Диапазон определения: 0.156-10 нг/мл
Чувствительность: 0.060 нг/мл
Sheep Arylsulfatase B(ARSB) ELISA kit (E14A1684)
Организм: овца
Goat Proteasome subunit β type 7(PSMB7) ELISA kit (E06P0872)
Организм: коза
Rat Calmodulin like protein 5(CALML5) ELISA kit (E02C1326)
Организм: крыса
Rat Angiomotin like protein 1(AMOTL1) ELISA kit (E02A1426)
Организм: крыса

