| UNIPROT | Q9WVB4 |
| Иммуноген | RPD353Mu03-Recombinant Slit Homolog 3 (Slit3) |
Polyclonal Antibody to Slit Homolog 3 (Slit3) (PAD353Mu03)
Реактивность подтвержденная:
мышь
Источник (хозяин):
кролик
Валидировано для:
IHC
Характеристики
Техническое описание
| Русское название | PAD353Mu03 Поликлональное антитело к Slit3 (мышь) <Cloud-Clone,Китай> |
| Каталожный номер | PAD353Mu03 |
| Название антигена | Slit Homolog 3 (Slit3) |
| UNIPROT | Q9WVB4 |
| Иммуноген | RPD353Mu03-Recombinant Slit Homolog 3 (Slit3) |
| Английские синонимы | MEGF5, SLIL2, Multiple epidermal growth factor-like domains protein 5 |
Реактивность подтвержденная Нужна другая реактивность? |
мышь |
| Реактивность предсказываемая | человек, крыса |
| Источник (хозяин) | кролик |
| Клональность | поликлональное |
| Рекомбинантное | нет |
| Готовое к использованию | нет |
| Концентрация | 1 мг/мл |
| Конъюгат | По запросу: HRP, biotin, PerCP, PE, Cy3, FITC, Cy7, Cy5.5, PE-Cy5, PE-Cy7, PerCp-Cy5.5, APC, Cy5, PE-Cy3, PE-Cy5.5, APC-Cy7, Biotin-APC, FITC-Biotin, TRITC, APC-Cy5, AF488, AF594, AF405, AF555, AF700, AF647, AF750 |
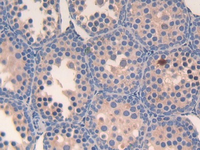
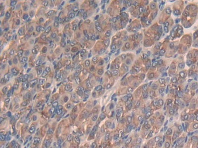
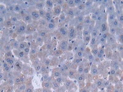
| Валидировано для | IHC Иммуногистохимия |
| Рекомендуемые разведения | WB: 0.5-2 мкг/мл; 1:500-2000; IHC: 5-20 мкг/мл; 1:50-200; ICC: 5-20 мкг/мл; 1:50-200; Оптимальное разведение определяется конечным потребителем |
| Метод очистки | Антигенспецифическая аффинная хроматография с последующей аффинной хроматографией с белком А |
| Состав буфера | PBS, pH7.4, 0.02% NaN3, 50% глицерин |
| Условия доставки | термобокс с аккумуляторами холода |
| Условия хранения | Сразу после получения аликвотировать и хранить при -20ºС до 24 месяцев. Для частого использования хранить при +4ºС не более 2 недель. Избегать повторения циклов замерзания/оттаивания |
| Срок хранения | 24 месяца |
| Производитель | Cloud-Clone Corp. |
| Ссылка на страницу товара на сайте производителя | http://www.cloud-clone.com/products/PAD353Mu03.html |
|
Артикул
|
Наименование |
Производитель
|
|---|
|
Артикул
|
Наименование |
Производитель
|
|---|
|
Артикул
|
Наименование |
Производитель
|
|---|
|
Артикул
|
Наименование |
Производитель
|
|---|
Акции и предложения
Популярные продукты:
Anti-Hexestrol/HES Monoclonal Antibody (1A486) (MGK61507)
Источник (хозяин): мышь
Реактивность подтвержденная: для всех
Валидировано для: ELISA
Реактивность подтвержденная: для всех
Валидировано для: ELISA
Monoclonal Antibody to Purinergic Receptor P2X, Ligand Gated Ion Channel 7 (P2RX7) (MAG077Hu24)
Источник (хозяин): мышь
Реактивность подтвержденная: человек
Валидировано для: WB
Реактивность подтвержденная: человек
Валидировано для: WB
ELISA Kit for Cardiac Troponin I (cTnI) (CEA478Ra)
Организм: крыса
Диапазон определения: 7.81-2,000 пг/мл
Чувствительность: 10.9 пг/мл
Диапазон определения: 7.81-2,000 пг/мл
Чувствительность: 10.9 пг/мл
Porcine Oxidized Glutathione ELISA kit (E07O0028)
Организм: свинья
Canine ATP dependent RNA helicase DDX25(DDX25) ELISA kit (E08A1830)
Организм: собака
Mouse Ubiquitin-specific protease 14 ELISA kit (E03U0092)
Организм: мышь

