| UNIPROT | P61278 |
| Иммуноген | RPA592Hu01-Recombinant Somatostatin (SST) |
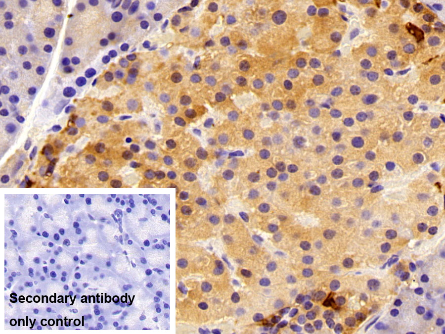
Polyclonal Antibody to Somatostatin (SST) (PAA592Hu08)
Реактивность подтвержденная:
человек
Источник (хозяин):
кролик
Валидировано для:
IHC
WB
Характеристики
Техническое описание
| Русское название | PAA592Hu08 Поликлональное антитело к SST (человек) <Cloud-Clone,Китай> |
| Каталожный номер | PAA592Hu08 |
| Название антигена | Somatostatin (SST) |
| UNIPROT | P61278 |
| Иммуноген | RPA592Hu01-Recombinant Somatostatin (SST) |
| Английские синонимы | GHIH, SRIF, SMST, GHRIH, GHRIF, Growth Hormone Releasing Inhibiting Hormone, Somatotropin Release-Inhibiting Factor, Somatostatin-14, Somatostatin-28 |
Реактивность подтвержденная Нужна другая реактивность? |
человек |
| Источник (хозяин) | кролик |
| Клональность | поликлональное |
| Рекомбинантное | нет |
| Готовое к использованию | нет |
| Концентрация | 0.35 мг/мл |
| Конъюгат | По запросу: HRP, biotin, PerCP, PE, Cy3, FITC, Cy7, Cy5.5, PE-Cy5, PE-Cy7, PerCp-Cy5.5, APC, Cy5, PE-Cy3, PE-Cy5.5, APC-Cy7, Biotin-APC, FITC-Biotin, TRITC, APC-Cy5, AF488, AF594, AF405, AF555, AF700, AF647, AF750 |
| Валидировано для | IHC WB Иммуногистохимия; Вестерн-блоттинг |
| Рекомендуемые разведения | WB: 0.5-2 мкг/мл; IHC: 5-20 мкг/мл; ICC: 5-20 мкг/мл; Оптимальное разведение определяется конечным потребителем |
| Метод очистки | Антигенспецифическая аффинная хроматография с последующей аффинной хроматографией с белком А |
| Состав буфера | PBS, pH7.4, 0.02% NaN3, 50% глицерин |
| Условия доставки | термобокс с аккумуляторами холода |
| Условия хранения | Сразу после получения аликвотировать и хранить при -20ºС до 24 месяцев. Для частого использования хранить при +4ºС не более 2 недель. Избегать повторения циклов замерзания/оттаивания |
| Срок хранения | 24 месяца |
| Производитель | Cloud-Clone Corp. |
| Ссылка на страницу товара на сайте производителя | http://www.cloud-clone.com/products/PAA592Hu08.html |
|
Артикул
|
Наименование |
Производитель
|
|---|
|
Артикул
|
Наименование |
Производитель
|
|---|
|
Артикул
|
Наименование |
Производитель
|
|---|
|
Артикул
|
Наименование |
Производитель
|
|---|
|
Артикул
|
Наименование |
Производитель
|
|---|
|
Артикул
|
Наименование |
Производитель
|
|---|
Акции и предложения
Популярные продукты:
Porcine ATP binding cassette transpoter G2 ELISA kit (E07A0694)
Организм: свинья
Recombinant Human ABCG2 Protein(Gst Tag) (PDEH100635)
Источник (хозяин): E.coli
Организм: человек
Фрагмент: Asn557-His630
Теги: N-Gst
Биоактивность: нет
Организм: человек
Фрагмент: Asn557-His630
Теги: N-Gst
Биоактивность: нет
Recombinant EV68 VP3/P1C Protein, N-His (YVV41903)
Источник (хозяин): E.coli
Организм: вирусы
Фрагмент: Gly318-Gln552
Теги: N-His
Биоактивность: нет
Организм: вирусы
Фрагмент: Gly318-Gln552
Теги: N-His
Биоактивность: нет
Recombinant EV68 P3C/Protease 3C Protein, N-His (YVV41901)
Источник (хозяин): E.coli
Организм: вирусы
Фрагмент: Gly1549-Gln1731
Теги: N-His
Биоактивность: нет
Организм: вирусы
Фрагмент: Gly1549-Gln1731
Теги: N-His
Биоактивность: нет
TONSL Polyclonal Antibody (E-AB-90557)
Источник (хозяин): кролик
Реактивность подтвержденная: человек, мышь, крыса
Валидировано для: WB
Реактивность подтвержденная: человек, мышь, крыса
Валидировано для: WB
TONSL Polyclonal Antibody (E-AB-10088)
Источник (хозяин): кролик
Реактивность подтвержденная: человек
Валидировано для: IHC
Реактивность подтвержденная: человек
Валидировано для: IHC

