| UNIPROT | P60041 |
| Иммуноген | RPA592Mu01-Recombinant Somatostatin (SST) |
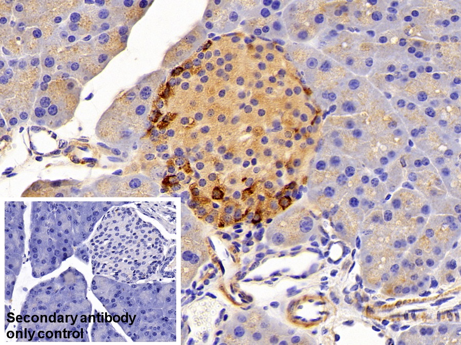
Polyclonal Antibody to Somatostatin (SST) (PAA592Mu01)
Реактивность подтвержденная:
мышь
Источник (хозяин):
кролик
Валидировано для:
IHC
Характеристики
Техническое описание
| Русское название | PAA592Mu01 Поликлональное антитело к SST (мышь) <Cloud-Clone,Китай> |
| Каталожный номер | PAA592Mu01 |
| Название антигена | Somatostatin (SST) |
| UNIPROT | P60041 |
| Иммуноген | RPA592Mu01-Recombinant Somatostatin (SST) |
| Английские синонимы | GHIH, SRIF, SMST, GHRIH, GHRIF, Growth Hormone Releasing Inhibiting Hormone, Somatotropin Release-Inhibiting Factor, Somatostatin-14, Somatostatin-28 |
Реактивность подтвержденная Нужна другая реактивность? |
мышь |
| Источник (хозяин) | кролик |
| Клональность | поликлональное |
| Рекомбинантное | нет |
| Готовое к использованию | нет |
| Концентрация | 0.5 мг/мл |
| Конъюгат | По запросу: HRP, biotin, PerCP, PE, Cy3, FITC, Cy7, Cy5.5, PE-Cy5, PE-Cy7, PerCp-Cy5.5, APC, Cy5, PE-Cy3, PE-Cy5.5, APC-Cy7, Biotin-APC, FITC-Biotin, TRITC, APC-Cy5, AF488, AF594, AF405, AF555, AF700, AF647, AF750 |
| Валидировано для | IHC Иммуногистохимия |
| Рекомендуемые разведения | WB: 0.01-2 мкг/мл; IHC: 5-20 мкг/мл; ICC: 5-20 мкг/мл; Оптимальное разведение определяется конечным потребителем |
| Метод очистки | Антигенспецифическая аффинная хроматография с последующей аффинной хроматографией с белком А |
| Состав буфера | PBS, pH7.4, 0.02% NaN3, 50% глицерин |
| Условия доставки | термобокс с аккумуляторами холода |
| Условия хранения | Сразу после получения аликвотировать и хранить при -20ºС до 24 месяцев. Для частого использования хранить при +4ºС не более 2 недель. Избегать повторения циклов замерзания/оттаивания |
| Срок хранения | 24 месяца |
| Производитель | Cloud-Clone Corp. |
| Ссылка на страницу товара на сайте производителя | http://www.cloud-clone.com/products/PAA592Mu01.html |
|
Артикул
|
Наименование |
Производитель
|
|---|
|
Артикул
|
Наименование |
Производитель
|
|---|
|
Артикул
|
Наименование |
Производитель
|
|---|
|
Артикул
|
Наименование |
Производитель
|
|---|
|
Артикул
|
Наименование |
Производитель
|
|---|
|
Артикул
|
Наименование |
Производитель
|
|---|
Акции и предложения
Популярные продукты:
Guinea Pig F actin capping protein subunit Alpha 2(CAPZA2) ELISA kit (E05F0356)
Организм: морская свинка
Porcine Choline kinase Alpha (CHKA) ELISA kit (E07C1681)
Организм: свинья
Rat Small heterodimer partner ELISA kit (E02S0237)
Организм: крыса
Chicken Apolipoprotein D(APOD) ELISA kit (E12A0518)
Организм: курица
Canine Insulin-Degrading Enzyme (IDE) ELISA Kit (E08I0332)
Организм: собака
Human B Lymphocyte Chemoattractant 1 ELISA kit (E01B0307)
Организм: человек
Диапазон определения: 50-1000 пг/мл
Чувствительность: 1 пг/мл
Диапазон определения: 50-1000 пг/мл
Чувствительность: 1 пг/мл

