| UNIPROT | Q00796 |
| Иммуноген | RPB495Hu01-Recombinant Sorbitol Dehydrogenase (SDH) |
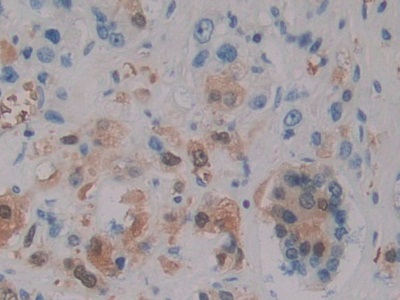
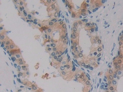
Polyclonal Antibody to Sorbitol Dehydrogenase (SDH) (PAB495Hu01)
Реактивность подтвержденная:
человек
Источник (хозяин):
кролик
Валидировано для:
IHC
WB
Характеристики
Техническое описание
| Русское название | PAB495Hu01 Поликлональное антитело к SDH (человек) <Cloud-Clone,Китай> |
| Каталожный номер | PAB495Hu01 |
| Название антигена | Sorbitol Dehydrogenase (SDH) |
| UNIPROT | Q00796 |
| Иммуноген | RPB495Hu01-Recombinant Sorbitol Dehydrogenase (SDH) |
| Английские синонимы | SORD, L-iditol 2-dehydrogenase |
Реактивность подтвержденная Нужна другая реактивность? |
человек |
| Реактивность предсказываемая | мышь, крыса, свинья |
| Источник (хозяин) | кролик |
| Клональность | поликлональное |
| Рекомбинантное | нет |
| Готовое к использованию | нет |
| Концентрация | 0.5 мг/мл |
| Конъюгат | По запросу: HRP, biotin, PerCP, PE, Cy3, FITC, Cy7, Cy5.5, PE-Cy5, PE-Cy7, PerCp-Cy5.5, APC, Cy5, PE-Cy3, PE-Cy5.5, APC-Cy7, Biotin-APC, FITC-Biotin, TRITC, APC-Cy5, AF488, AF594, AF405, AF555, AF700, AF647, AF750 |
| Валидировано для | IHC WB Иммуногистохимия; Вестерн-блоттинг |
| Рекомендуемые разведения | WB: 0.01-5 мкг/мл; IHC: 5-20 мкг/мл; ICC: 5-20 мкг/мл; Оптимальное разведение определяется конечным потребителем |
| Метод очистки | Антигенспецифическая аффинная хроматография с последующей аффинной хроматографией с белком А |
| Состав буфера | 0.01M PBS, pH7.4, 0.05% Proclin-300, 50% глицерин |
| Условия доставки | термобокс с аккумуляторами холода |
| Условия хранения | Сразу после получения аликвотировать и хранить при -20ºС до 24 месяцев. Для частого использования хранить при +4ºС не более 2 недель. Избегать повторения циклов замерзания/оттаивания |
| Срок хранения | 24 месяца |
| Производитель | Cloud-Clone Corp. |
| Ссылка на страницу товара на сайте производителя | http://www.cloud-clone.com/products/PAB495Hu01.html |
|
Артикул
|
Наименование |
Производитель
|
|---|
|
Артикул
|
Наименование |
Производитель
|
|---|
|
Артикул
|
Наименование |
Производитель
|
|---|
|
Артикул
|
Наименование |
Производитель
|
|---|
|
Артикул
|
Наименование |
Производитель
|
|---|
Акции и предложения
Популярные продукты:
Anti-Puromycin Sensitive Aminopeptidase (PSA) Polyclonal Antibody (FAE206Hu01)
Источник (хозяин): кролик
Реактивность подтвержденная: человек
Валидировано для: FCM
Реактивность подтвержденная: человек
Валидировано для: FCM
Rat Carbohyde sulfotransferase 10(CHST10) ELISA kit (E02C1704)
Организм: крыса
Rat Mannose Phosphate Isomerase ELISA kit (E02M0021)
Организм: крыса
Biotin Anti-Mouse H-2 Antibody[M1/42] (E-AB-F1216B)
Источник (хозяин): крыса
Реактивность подтвержденная: мышь
Валидировано для: FCM
Реактивность подтвержденная: мышь
Валидировано для: FCM
Monoclonal Antibody to Major Basic Protein (MBP) (MAB650Hu24)
Источник (хозяин): мышь
Реактивность подтвержденная: человек
Валидировано для: IHC
Реактивность подтвержденная: человек
Валидировано для: IHC
Monoclonal Antibody to Protein Disulfide Isomerase (PDI) (MAB061Hu22)
Источник (хозяин): мышь
Реактивность подтвержденная: человек
Валидировано для: ICC, IHC, IP, WB
Реактивность подтвержденная: человек
Валидировано для: ICC, IHC, IP, WB

