| UNIPROT | Q14515 |
| Иммуноген | RPM267Hu01-Recombinant SPARC Like Protein 1 (SPARCL1) |
Polyclonal Antibody to SPARC Like Protein 1 (SPARCL1) (PAM267Hu01)
Реактивность подтвержденная:
человек
Источник (хозяин):
кролик
Валидировано для:
IHC
WB
Характеристики
Техническое описание
| Русское название | PAM267Hu01 Поликлональное антитело к SPARCL1 (человек) <Cloud-Clone,Китай> |
| Каталожный номер | PAM267Hu01 |
| Название антигена | SPARC Like Protein 1 (SPARCL1) |
| UNIPROT | Q14515 |
| Иммуноген | RPM267Hu01-Recombinant SPARC Like Protein 1 (SPARCL1) |
| Английские синонимы | SC1, PIG33, Mast9, Hevin, High endothelial venule protein |
Реактивность подтвержденная Нужна другая реактивность? |
человек |
| Источник (хозяин) | кролик |
| Клональность | поликлональное |
| Рекомбинантное | нет |
| Готовое к использованию | нет |
| Концентрация | 0.5 мг/мл |
| Конъюгат | По запросу: HRP, biotin, PerCP, PE, Cy3, FITC, Cy7, Cy5.5, PE-Cy5, PE-Cy7, PerCp-Cy5.5, APC, Cy5, PE-Cy3, PE-Cy5.5, APC-Cy7, Biotin-APC, FITC-Biotin, TRITC, APC-Cy5, AF488, AF594, AF405, AF555, AF700, AF647, AF750 |
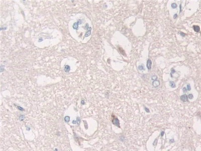
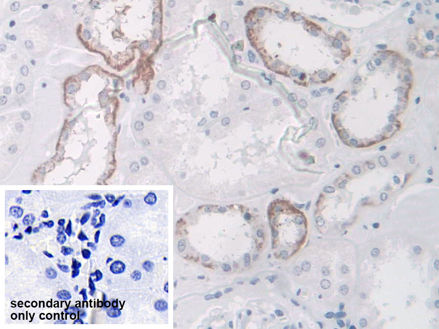
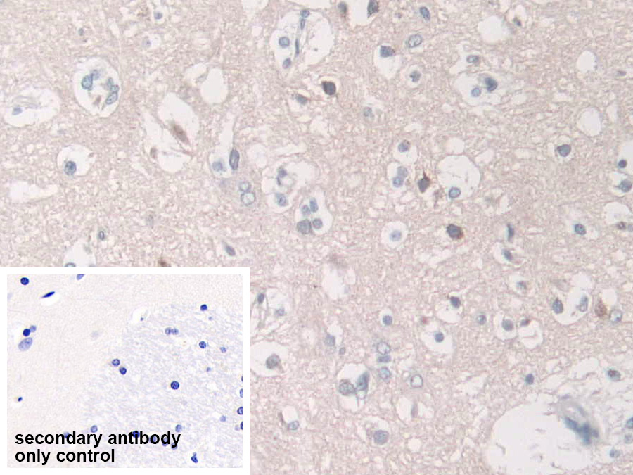
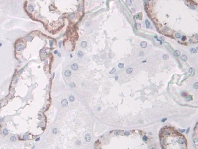
| Валидировано для | IHC WB Иммуногистохимия; Вестерн-блоттинг |
| Рекомендуемые разведения | WB: 0.01-2 мкг/мл; IHC: 5-20 мкг/мл; ICC: 5-20 мкг/мл; Оптимальное разведение определяется конечным потребителем |
| Метод очистки | Антигенспецифическая аффинная хроматография с последующей аффинной хроматографией с белком А |
| Состав буфера | PBS, pH7.4, 0.02% NaN3, 50% глицерин |
| Условия доставки | термобокс с аккумуляторами холода |
| Условия хранения | Сразу после получения аликвотировать и хранить при -20ºС до 24 месяцев. Для частого использования хранить при +4ºС не более 2 недель. Избегать повторения циклов замерзания/оттаивания |
| Срок хранения | 24 месяца |
| Производитель | Cloud-Clone Corp. |
| Ссылка на страницу товара на сайте производителя | http://www.cloud-clone.com/products/PAM267Hu01.html |
|
Артикул
|
Наименование |
Производитель
|
|---|
|
Артикул
|
Наименование |
Производитель
|
|---|
|
Артикул
|
Наименование |
Производитель
|
|---|
Акции и предложения
Популярные продукты:
Anti-Human SPARCL1 Polyclonal Antibody (PHG81201)
Источник (хозяин): кролик
Реактивность подтвержденная: человек
Валидировано для: ELISA, IHC, WB
Реактивность подтвержденная: человек
Валидировано для: ELISA, IHC, WB
Monoclonal Antibody to Mesothelin (MSLN) (MAH615Hu24)
Источник (хозяин): мышь
Реактивность подтвержденная: человек
Валидировано для: ICC, IF
Реактивность подтвержденная: человек
Валидировано для: ICC, IF
Human β crystallin A4(CRYBA4) ELISA kit (E01B0890)
Организм: человек
Диапазон определения: 250-5000 пг/мл
Чувствительность: 1 пг/мл
Диапазон определения: 250-5000 пг/мл
Чувствительность: 1 пг/мл
Canine Alpha Defensin 4 ELISA kit (E08A1839)
Организм: собака

