| Иммуноген | SPA393Hu01-Synthetic Substance P (SP) |
Polyclonal Antibody to Substance P (SP) (PAA393Hu01)
Реактивность подтвержденная:
человек
Источник (хозяин):
кролик
Валидировано для:
IHC
Характеристики
Техническое описание
| Русское название | PAA393Hu01 Поликлональное антитело к субстанции P (человек) <Cloud-Clone,Китай> |
| Каталожный номер | PAA393Hu01 |
| Название антигена | Substance P (SP) |
| Иммуноген | SPA393Hu01-Synthetic Substance P (SP) |
| Русские синонимы | Вещество Р, болевая субстанция P |
Реактивность подтвержденная Нужна другая реактивность? |
человек |
| Источник (хозяин) | кролик |
| Клональность | поликлональное |
| Рекомбинантное | нет |
| Готовое к использованию | нет |
| Концентрация | 500 мкг/мл |
| Конъюгат | По запросу: HRP, biotin, PerCP, PE, Cy3, FITC, Cy7, Cy5.5, PE-Cy5, PE-Cy7, PerCp-Cy5.5, APC, Cy5, PE-Cy3, PE-Cy5.5, APC-Cy7, Biotin-APC, FITC-Biotin, TRITC, APC-Cy5, AF488, AF594, AF405, AF555, AF700, AF647, AF750 |
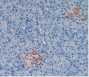
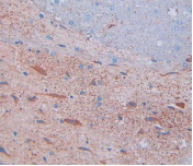
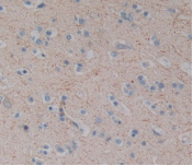
| Валидировано для | IHC Иммуногистохимия |
| Рекомендуемые разведения | WB: 0.5-2 мкг/мл; IHC: 5-20 мкг/мл; ICC: 5-20 мкг/мл; Оптимальное разведение определяется конечным потребителем |
| Метод очистки | Антигенспецифическая аффинная хроматография с последующей аффинной хроматографией с белком А |
| Состав буфера | PBS, pH7.4, 0.02% NaN3, 50% глицерин |
| Условия доставки | термобокс с аккумуляторами холода |
| Условия хранения | Сразу после получения аликвотировать и хранить при -20ºС до 24 месяцев. Для частого использования хранить при +4ºС не более 2 недель. Избегать повторения циклов замерзания/оттаивания |
| Срок хранения | 24 месяца |
| Производитель | Cloud-Clone Corp. |
| Ссылка на страницу товара на сайте производителя | http://www.cloud-clone.com/products/PAA393Hu01.html |
|
Артикул
|
Наименование |
Производитель
|
|---|
Акции и предложения
Популярные продукты:
KCNQ1 Mouse Monoclonal Antibody (BF9395)
Источник (хозяин): мышь
Реактивность подтвержденная: человек, мышь
Валидировано для: WB
Реактивность подтвержденная: человек, мышь
Валидировано для: WB
ELISA Kit DIY Materials for Fibulin 3 (FBLN3) (KSF422Ra01)
Организм: крыса
Диапазон определения: 0.78-50 нг/мл
Чувствительность: 0.30 нг/мл
Диапазон определения: 0.78-50 нг/мл
Чувствительность: 0.30 нг/мл
ELISA Kit DIY Materials for Tight Junction Protein 2 (TJP2) (KSF167Hu01)
Организм: человек
Диапазон определения: 0.312-20 нг/мл
Чувствительность: 0.124 нг/мл
Диапазон определения: 0.312-20 нг/мл
Чувствительность: 0.124 нг/мл
Sheep P2Y purinoceptor 2(P2RY2) ELISA kit (E14P0819)
Организм: овца

