| UNIPROT | P52840 |
| Иммуноген | RPB268Mu01-Recombinant Sulfotransferase 1A1 (SULT1A1) |
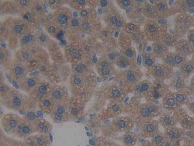
Polyclonal Antibody to Sulfotransferase 1A1 (SULT1A1) (PAB268Mu01)
Реактивность подтвержденная:
мышь
Источник (хозяин):
кролик
Валидировано для:
IHC
WB
Характеристики
Техническое описание
| Русское название | PAB268Mu01 Поликлональное антитело к SULT1A1 (мышь) <Cloud-Clone,Китай> |
| Каталожный номер | PAB268Mu01 |
| Название антигена | Phenol Sulfotransferase (PST) |
| UNIPROT | P52840 |
| Иммуноген | RPB268Mu01-Recombinant Sulfotransferase 1A1 (SULT1A1) |
| Английские синонимы | SULT1A1, HAST1/HAST2, ST1A3, STP1, TSPST1, Sulfotransferase 1A1, Aryl sulfotransferase 1, Phenol sulfotransferase 1, Thermostable phenol sulfotransferase |
Реактивность подтвержденная Нужна другая реактивность? |
мышь |
| Реактивность предсказываемая | крыса |
| Источник (хозяин) | кролик |
| Клональность | поликлональное |
| Рекомбинантное | нет |
| Готовое к использованию | нет |
| Концентрация | 0.5 мг/мл |
| Конъюгат | По запросу: HRP, biotin, PerCP, PE, Cy3, FITC, Cy7, Cy5.5, PE-Cy5, PE-Cy7, PerCp-Cy5.5, APC, Cy5, PE-Cy3, PE-Cy5.5, APC-Cy7, Biotin-APC, FITC-Biotin, TRITC, APC-Cy5, AF488, AF594, AF405, AF555, AF700, AF647, AF750 |
| Валидировано для | IHC WB Иммуногистохимия; Вестерн-блоттинг |
| Рекомендуемые разведения | WB: 0.01-5 мкг/мл; IHC: 5-20 мкг/мл; ICC: 5-20 мкг/мл; Оптимальное разведение определяется конечным потребителем |
| Метод очистки | Антигенспецифическая аффинная хроматография с последующей аффинной хроматографией с белком А |
| Состав буфера | PBS, pH7.4, 0.02% NaN3, 50% глицерин |
| Условия доставки | термобокс с аккумуляторами холода |
| Условия хранения | Сразу после получения аликвотировать и хранить при -20ºС до 24 месяцев. Для частого использования хранить при +4ºС не более 2 недель. Избегать повторения циклов замерзания/оттаивания |
| Срок хранения | 24 месяца |
| Производитель | Cloud-Clone Corp. |
| Ссылка на страницу товара на сайте производителя | http://www.cloud-clone.com/products/PAB268Mu01.html |
|
Артикул
|
Наименование |
Производитель
|
|---|
|
Артикул
|
Наименование |
Производитель
|
|---|
|
Артикул
|
Наименование |
Производитель
|
|---|
|
Артикул
|
Наименование |
Производитель
|
|---|
Акции и предложения
Популярные продукты:
Anti-SULT1A1 Antibody (R3M26) (RHE75201)
Источник (хозяин): мышь
Реактивность подтвержденная: человек
Валидировано для: IHC
Реактивность подтвержденная: человек
Валидировано для: IHC
Anti-HMPV F/F protein Antibody (Fs0377) (RVV22907)
Источник (хозяин): человек
Реактивность подтвержденная: вирусы
Валидировано для: ELISA, NEUT
Реактивность подтвержденная: вирусы
Валидировано для: ELISA, NEUT
ELISA Kit for Mucin 3 (MUC3) (SEB031Mu)
Организм: мышь
Диапазон определения: 0.625-40 нг/мл
Чувствительность: 9.04 пг/мл
Диапазон определения: 0.625-40 нг/мл
Чувствительность: 9.04 пг/мл
Sheep Caskin 2(CASKIN2) ELISA kit (E14C1390)
Организм: овца
Chicken Cystatin 11(CST11) ELISA kit (E12C2120)
Организм: курица

