| UNIPROT | P09212 |
| Иммуноген | RPB960Rb01-Recombinant Superoxide Dismutase 1 (SOD1) |
Polyclonal Antibody to Superoxide Dismutase 1 (SOD1) (PAB960Rb51)
Реактивность подтвержденная:
кролик
Источник (хозяин):
морская свинка
Валидировано для:
IHC
WB
Характеристики
Техническое описание
| Русское название | PAB960Rb51 Поликлональное антитело к SOD1 (кролик) <Cloud-Clone,Китай> |
| Каталожный номер | PAB960Rb51 |
| Название антигена | Superoxide Dismutase 1, Soluble (SOD1) |
| UNIPROT | P09212 |
| Иммуноген | RPB960Rb01-Recombinant Superoxide Dismutase 1 (SOD1) |
| Английские синонимы | ALS, ALS1, IPOA, Amyotrophic Lateral Sclerosis 1,Adult, Superoxide dismutase [Cu-Zn] |
Реактивность подтвержденная Нужна другая реактивность? |
кролик |
| Источник (хозяин) | морская свинка |
| Клональность | поликлональное |
| Рекомбинантное | нет |
| Готовое к использованию | нет |
| Концентрация | 500 мкг/мл |
| Конъюгат | По запросу: HRP, biotin, PerCP, PE, Cy3, FITC, Cy7, Cy5.5, PE-Cy5, PE-Cy7, PerCp-Cy5.5, APC, Cy5, PE-Cy3, PE-Cy5.5, APC-Cy7, Biotin-APC, FITC-Biotin, TRITC, APC-Cy5, AF488, AF594, AF405, AF555, AF700, AF647, AF750 |
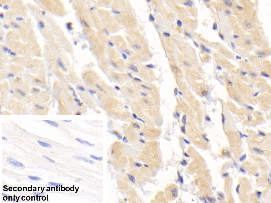
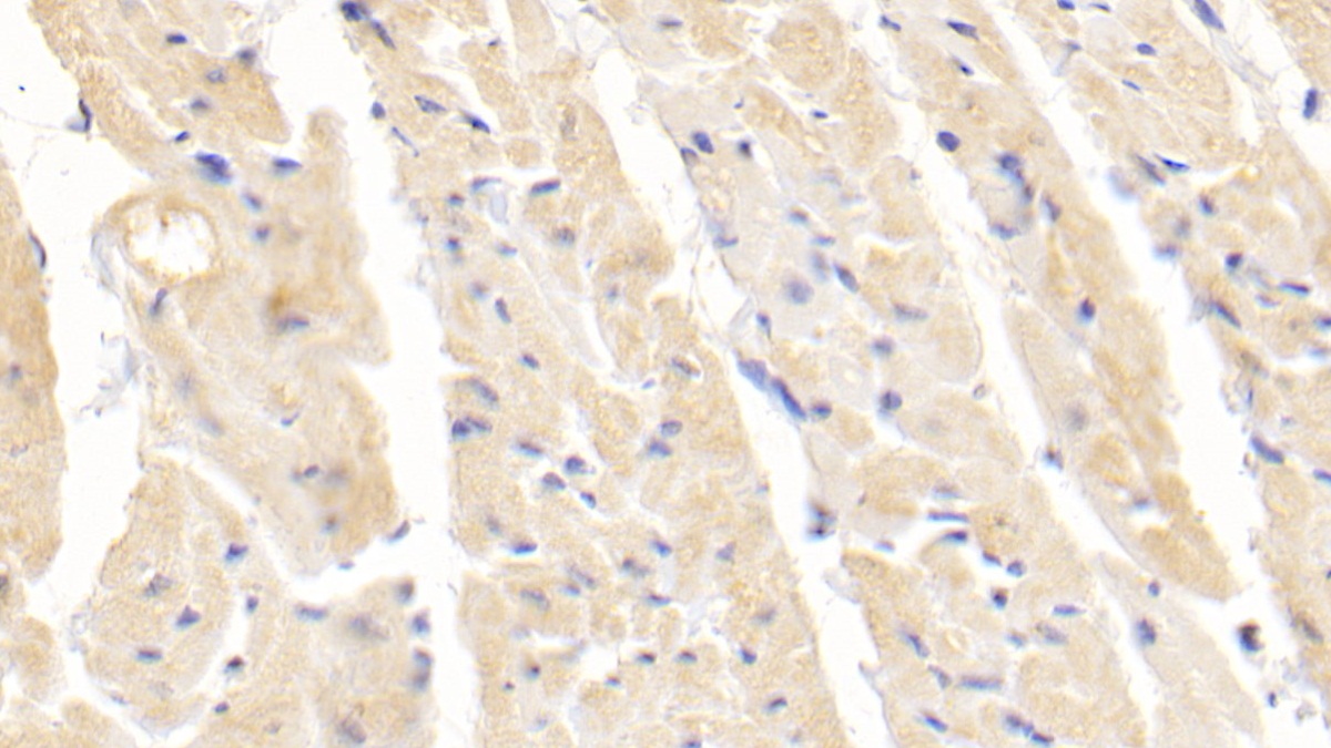
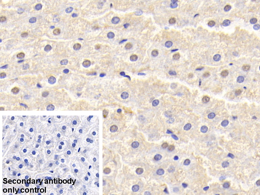
| Валидировано для | IHC WB Иммуногистохимия; Вестерн-блоттинг |
| Рекомендуемые разведения | WB: 0.5-2 мкг/мл; IHC: 5-20 мкг/мл; ICC: 5-20 мкг/мл; Оптимальное разведение определяется конечным потребителем |
| Метод очистки | Антигенспецифическая аффинная хроматография с последующей аффинной хроматографией с белком А |
| Состав буфера | 0.01M PBS, pH7.4, 0.05% Proclin-300, 50% глицерин |
| Условия доставки | термобокс с аккумуляторами холода |
| Условия хранения | Сразу после получения аликвотировать и хранить при -20ºС до 24 месяцев. Для частого использования хранить при +4ºС не более 2 недель. Избегать повторения циклов замерзания/оттаивания |
| Срок хранения | 24 месяца |
| Производитель | Cloud-Clone Corp. |
| Ссылка на страницу товара на сайте производителя | http://www.cloud-clone.com/products/PAB960Rb51.html |
|
Артикул
|
Наименование |
Производитель
|
|---|
|
Артикул
|
Наименование |
Производитель
|
|---|
|
Артикул
|
Наименование |
Производитель
|
|---|
|
Артикул
|
Наименование |
Производитель
|
|---|
|
Артикул
|
Наименование |
Производитель
|
|---|
|
Артикул
|
Наименование |
Производитель
|
|---|
|
Артикул
|
Наименование |
Производитель
|
|---|
|
Артикул
|
Наименование |
Производитель
|
|---|
|
Артикул
|
Наименование |
Производитель
|
|---|
|
Артикул
|
Наименование |
Производитель
|
|---|
|
Артикул
|
Наименование |
Производитель
|
|---|
|
Артикул
|
Наименование |
Производитель
|
|---|
|
Артикул
|
Наименование |
Производитель
|
|---|
Акции и предложения
Популярные продукты:
Anti-β-agonists/β2-AR Monoclonal Antibody (1A463) (MGN56510)
Источник (хозяин): мышь
Реактивность подтвержденная: для всех
Валидировано для: ELISA
Реактивность подтвержденная: для всех
Валидировано для: ELISA
Anti-Stromal Cell Derived Factor 4 (SDF4) Polyclonal Antibody (FAA722Hu01)
Источник (хозяин): кролик
Реактивность подтвержденная: человек
Валидировано для: FCM
Реактивность подтвержденная: человек
Валидировано для: FCM
Human Calcium/calmodulin dependent protein kinase type 1B(PNCK) ELISA kit (E01C2394)
Организм: человек
Диапазон определения: 5-100 нг/мл
Чувствительность: 1 нг/мл
Диапазон определения: 5-100 нг/мл
Чувствительность: 1 нг/мл
Rat Melanocortin receptor 4(MC4R) ELISA kit (E02M0386)
Организм: крыса

