| UNIPROT | P04179 |
| Иммуноген | RPB083Hu01-Recombinant Superoxide Dismutase 2, Mitochondrial (SOD2) |
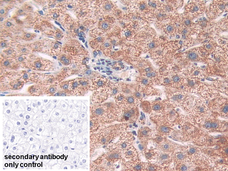
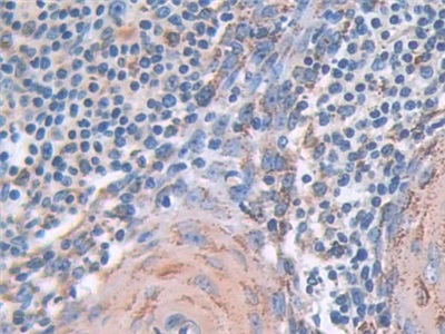
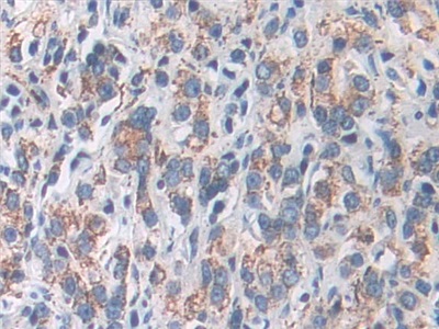
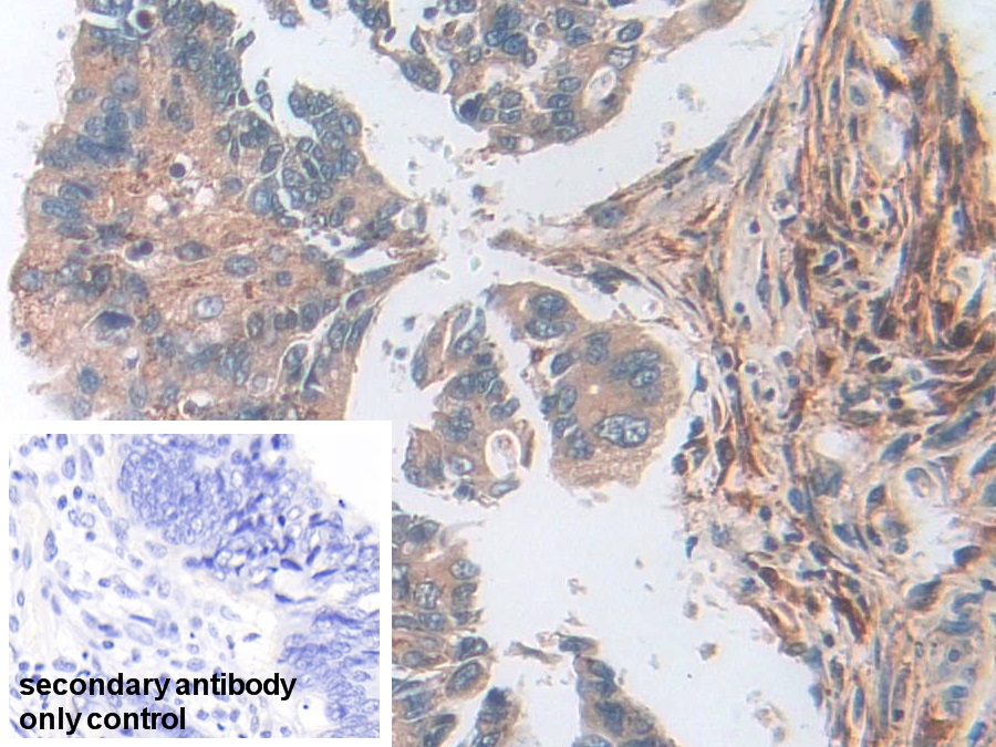
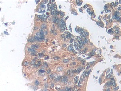
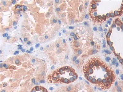
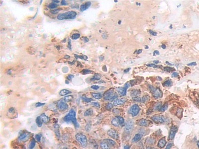
Polyclonal Antibody to Superoxide Dismutase 2, Mitochondrial (SOD2) (PAB083Hu01)
Реактивность подтвержденная:
человек
Источник (хозяин):
кролик
Валидировано для:
IHC
WB
Характеристики
Публикации
Техническое описание
| Русское название | PAB083Hu01 Поликлональное антитело к SOD2 (человек) <Cloud-Clone,Китай> |
| Каталожный номер | PAB083Hu01 |
| Название антигена | Superoxide Dismutase 2, Mitochondrial (SOD2) |
| UNIPROT | P04179 |
| Иммуноген | RPB083Hu01-Recombinant Superoxide Dismutase 2, Mitochondrial (SOD2) |
| Английские синонимы | IPO-B, MNSOD, Mn-SOD |
Реактивность подтвержденная Нужна другая реактивность? |
человек |
| Реактивность предсказываемая | свинья |
| Источник (хозяин) | кролик |
| Клональность | поликлональное |
| Рекомбинантное | нет |
| Готовое к использованию | нет |
| Концентрация | 0.5 мг/мл |
| Конъюгат | По запросу: HRP, biotin, PerCP, PE, Cy3, FITC, Cy7, Cy5.5, PE-Cy5, PE-Cy7, PerCp-Cy5.5, APC, Cy5, PE-Cy3, PE-Cy5.5, APC-Cy7, Biotin-APC, FITC-Biotin, TRITC, APC-Cy5, AF488, AF594, AF405, AF555, AF700, AF647, AF750 |
| Валидировано для | IHC WB Иммуногистохимия; Вестерн-блоттинг |
| Рекомендуемые разведения | WB: 0.01-3 мкг/мл; IHC: 5-20 мкг/мл; Оптимальное разведение определяется конечным потребителем |
| Метод очистки | Антигенспецифическая аффинная хроматография с последующей аффинной хроматографией с белком А |
| Состав буфера | 0.01M PBS, pH7.4, 0.05% Proclin-300, 50% глицерин |
| Условия доставки | термобокс с аккумуляторами холода |
| Условия хранения | Сразу после получения аликвотировать и хранить при -20ºС до 24 месяцев. Для частого использования хранить при +4ºС не более 2 недель. Избегать повторения циклов замерзания/оттаивания |
| Срок хранения | 24 месяца |
| Производитель | Cloud-Clone Corp. |
| Ссылка на страницу товара на сайте производителя | http://www.cloud-clone.com/products/PAB083Hu01.html |
|
Артикул
|
Наименование |
Производитель
|
|---|
|
Артикул
|
Наименование |
Производитель
|
|---|
|
Артикул
|
Наименование |
Производитель
|
|---|
|
Артикул
|
Наименование |
Производитель
|
|---|
Акции и предложения
Популярные продукты:
Recombinant Human KIAA0895L Protein, N-His (YHN43901)
Источник (хозяин): E.coli
Организм: человек
Фрагмент: Ala117-Asp471
Теги: N-His
Биоактивность: нет
Организм: человек
Фрагмент: Ala117-Asp471
Теги: N-His
Биоактивность: нет
Recombinant Human CD179b/IGLL1 Protein, N-His (YHD13001)
Источник (хозяин): E.coli
Организм: человек
Фрагмент: Leu29-Ser201
Теги: N-His
Биоактивность: нет
Организм: человек
Фрагмент: Leu29-Ser201
Теги: N-His
Биоактивность: нет
Anti-TSNAX Antibody (R4A52) (RHN87202)
Источник (хозяин): мышь
Реактивность подтвержденная: человек
Валидировано для: IHC, IP
Реактивность подтвержденная: человек
Валидировано для: IHC, IP
Anti-EHMT2 Antibody (R3Z17) (RHK57202)
Источник (хозяин): мышь
Реактивность подтвержденная: человек
Валидировано для: ELISA, FCM
Реактивность подтвержденная: человек
Валидировано для: ELISA, FCM
Monoclonal Antibody to Prolylcarboxypeptidase (PRCP) (MAB253Ra21)
Источник (хозяин): мышь
Реактивность подтвержденная: крыса
Валидировано для: ICC, IHC, IP, WB
Реактивность подтвержденная: крыса
Валидировано для: ICC, IHC, IP, WB
Polyclonal Antibody to Superoxide Dismutase 2, Mitochondrial (SOD2) (PAB083Hu01)
Источник (хозяин): кролик
Реактивность подтвержденная: человек
Валидировано для: IHC, WB
Реактивность подтвержденная: человек
Валидировано для: IHC, WB

