| UNIPROT | Q92797 |
| Иммуноген | RPC882Hu01-Recombinant Symplekin (SYMPK) |
Polyclonal Antibody to Symplekin (SYMPK) (PAC882Hu01)
Реактивность подтвержденная:
человек
Источник (хозяин):
кролик
Валидировано для:
IHC
WB
Характеристики
Техническое описание
| Русское название | PAC882Hu01 Поликлональное антитело к SYMPK (человек) <Cloud-Clone,Китай> |
| Каталожный номер | PAC882Hu01 |
| Название антигена | Symplekin (SYMPK) |
| UNIPROT | Q92797 |
| Иммуноген | RPC882Hu01-Recombinant Symplekin (SYMPK) |
| Английские синонимы | SPK, SYM |
Реактивность подтвержденная Нужна другая реактивность? |
человек |
| Источник (хозяин) | кролик |
| Клональность | поликлональное |
| Рекомбинантное | нет |
| Готовое к использованию | нет |
| Концентрация | 0.5 мг/мл |
| Конъюгат | По запросу: HRP, biotin, PerCP, PE, Cy3, FITC, Cy7, Cy5.5, PE-Cy5, PE-Cy7, PerCp-Cy5.5, APC, Cy5, PE-Cy3, PE-Cy5.5, APC-Cy7, Biotin-APC, FITC-Biotin, TRITC, APC-Cy5, AF488, AF594, AF405, AF555, AF700, AF647, AF750 |
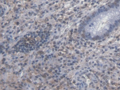
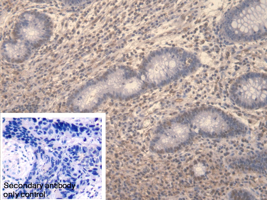
| Валидировано для | IHC WB Иммуногистохимия; Вестерн-блоттинг |
| Рекомендуемые разведения | WB: 0.01-2 мкг/мл; IHC: 5-20 мкг/мл; ICC: 5-20 мкг/мл; Оптимальное разведение определяется конечным потребителем |
| Метод очистки | Антигенспецифическая аффинная хроматография с последующей аффинной хроматографией с белком А |
| Состав буфера | 0.01M PBS, pH7.4, 0.05% Proclin-300, 50% глицерин |
| Условия доставки | термобокс с аккумуляторами холода |
| Условия хранения | Сразу после получения аликвотировать и хранить при -20ºС до 24 месяцев. Для частого использования хранить при +4ºС не более 2 недель. Избегать повторения циклов замерзания/оттаивания |
| Срок хранения | 24 месяца |
| Производитель | Cloud-Clone Corp. |
| Ссылка на страницу товара на сайте производителя | http://www.cloud-clone.com/products/PAC882Hu01.html |
|
Артикул
|
Наименование |
Производитель
|
|---|
Акции и предложения
Популярные продукты:
Normal Rabbit IgG Isotype Control Antibody (FTB96420)
Источник (хозяин): кролик
Валидировано для: CTRL, FCM
Валидировано для: CTRL, FCM
Anti-Brolucizumab Polyclonal Antibody (PAD12603)
Источник (хозяин): кролик
Валидировано для: ELISA
Валидировано для: ELISA
Anti-Human ASPM Polyclonal Antibody (PHN43201)
Источник (хозяин): кролик
Реактивность подтвержденная: человек
Валидировано для: ELISA, IHC, WB
Реактивность подтвержденная: человек
Валидировано для: ELISA, IHC, WB
Anti-Human GSDMD Polyclonal Antibody (PHF23901)
Источник (хозяин): кролик
Реактивность подтвержденная: человек
Валидировано для: ELISA, IHC, WB
Реактивность подтвержденная: человек
Валидировано для: ELISA, IHC, WB
HRP-conjugated GAPDH Monoclonal Antibody (AN00296HP)
Источник (хозяин): мышь
Реактивность подтвержденная: человек, мышь
Валидировано для: WB
Реактивность подтвержденная: человек, мышь
Валидировано для: WB
Anti-Human IFNG/IFN-gamma Antibody (SAA0414), FITC (FHB95411)
Источник (хозяин): мышь
Реактивность подтвержденная: человек
Валидировано для: ELISA, FCM
Реактивность подтвержденная: человек
Валидировано для: ELISA, FCM

