| UNIPROT | O00161 |
| Иммуноген | RPC858Hu01-Recombinant Synaptosomal Associated Protein 23kDa (SNAP23) |
Polyclonal Antibody to Synaptosomal Associated Protein 23kDa (SNAP23) (PAC858Hu01)
Реактивность подтвержденная:
человек
Источник (хозяин):
кролик
Валидировано для:
IHC
WB
Характеристики
Техническое описание
| Русское название | PAC858Hu01 Поликлональное антитело к SNAP23 (человек) <Cloud-Clone,Китай> |
| Каталожный номер | PAC858Hu01 |
| Название антигена | Synaptosomal Associated Protein 23kDa (SNAP23) |
| UNIPROT | O00161 |
| Иммуноген | RPC858Hu01-Recombinant Synaptosomal Associated Protein 23kDa (SNAP23) |
| Английские синонимы | SNAP23A, SNAP23B, Vesicle-membrane fusion protein SNAP-23 |
Реактивность подтвержденная Нужна другая реактивность? |
человек |
| Реактивность предсказываемая | мышь, крыса |
| Источник (хозяин) | кролик |
| Клональность | поликлональное |
| Рекомбинантное | нет |
| Готовое к использованию | нет |
| Концентрация | 0.5 мг/мл |
| Конъюгат | По запросу: HRP, biotin, PerCP, PE, Cy3, FITC, Cy7, Cy5.5, PE-Cy5, PE-Cy7, PerCp-Cy5.5, APC, Cy5, PE-Cy3, PE-Cy5.5, APC-Cy7, Biotin-APC, FITC-Biotin, TRITC, APC-Cy5, AF488, AF594, AF405, AF555, AF700, AF647, AF750 |
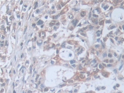
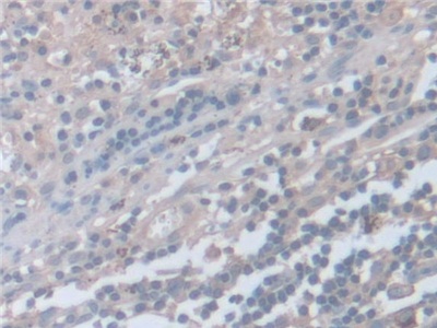
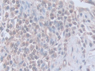
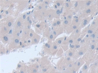
| Валидировано для | IHC WB Иммуногистохимия; Вестерн-блоттинг |
| Рекомендуемые разведения | WB: 0.01-2 мкг/мл; IHC: 5-20 мкг/мл; ICC: 5-20 мкг/мл; Оптимальное разведение определяется конечным потребителем |
| Метод очистки | Антигенспецифическая аффинная хроматография с последующей аффинной хроматографией с белком А |
| Состав буфера | 0.01M PBS, pH7.4, 0.05% Proclin-300, 50% глицерин |
| Условия доставки | термобокс с аккумуляторами холода |
| Условия хранения | Сразу после получения аликвотировать и хранить при -20ºС до 24 месяцев. Для частого использования хранить при +4ºС не более 2 недель. Избегать повторения циклов замерзания/оттаивания |
| Срок хранения | 24 месяца |
| Производитель | Cloud-Clone Corp. |
| Ссылка на страницу товара на сайте производителя | http://www.cloud-clone.com/products/PAC858Hu01.html |
|
Артикул
|
Наименование |
Производитель
|
|---|
|
Артикул
|
Наименование |
Производитель
|
|---|
|
Артикул
|
Наименование |
Производитель
|
|---|
Акции и предложения
Популярные продукты:
Anti-Glycogen Phosphorylase, Liver (PYGL) Polyclonal Antibody (FAA849Hu01)
Источник (хозяин): кролик
Реактивность подтвержденная: человек
Валидировано для: FCM
Реактивность подтвержденная: человек
Валидировано для: FCM
Biotin-Linked Polyclonal Antibody to Estrogen Receptor Alpha (ERa) (LAB050Hu71)
Источник (хозяин): кролик
Реактивность подтвержденная: человек
Валидировано для: ICC, IHC, WB
Реактивность подтвержденная: человек
Валидировано для: ICC, IHC, WB
Anti-Pregnancy Associated Plasma Protein A (PAPPA) Monoclonal Antibody (FAA800Hu04)
Источник (хозяин): мышь
Реактивность подтвержденная: человек
Валидировано для: FCM
Реактивность подтвержденная: человек
Валидировано для: FCM
Monoclonal Antibody to Amiloride Binding Protein 1 (ABP1) (MAA656Ra27)
Источник (хозяин): мышь
Реактивность подтвержденная: крыса
Валидировано для: WB
Реактивность подтвержденная: крыса
Валидировано для: WB
Monoclonal Antibody to Nitric Oxide Synthase 2, Inducible (NOS2) (MAA837Hu27)
Источник (хозяин): мышь
Реактивность подтвержденная: человек
Валидировано для: ICC, IF
Реактивность подтвержденная: человек
Валидировано для: ICC, IF
Monkey Gentamicin (GTM) ELISA kit (E09G0015)
Организм: обезьяна

