| UNIPROT | P60880 |
| Иммуноген | RPC955Hu01-Recombinant Synaptosomal Associated Protein 25kDa (SNAP25) |
Polyclonal Antibody to Synaptosomal Associated Protein 25kDa (SNAP25) (PAC955Hu01)
Реактивность подтвержденная:
человек
Источник (хозяин):
кролик
Валидировано для:
IHC
WB
Характеристики
Техническое описание
| Русское название | PAC955Hu01 Поликлональное антитело к SNAP25 (человек) <Cloud-Clone,Китай> |
| Каталожный номер | PAC955Hu01 |
| Название антигена | Synaptosomal Associated Protein 25kDa (SNAP25) |
| UNIPROT | P60880 |
| Иммуноген | RPC955Hu01-Recombinant Synaptosomal Associated Protein 25kDa (SNAP25) |
| Английские синонимы | RIC4, SEC9, SNAP, SUP, Super protein, Resistance To Inhibitors Of Cholinesterase 4 Homolog |
Реактивность подтвержденная Нужна другая реактивность? |
человек |
| Реактивность предсказываемая | мышь, крыса, свинья |
| Источник (хозяин) | кролик |
| Клональность | поликлональное |
| Рекомбинантное | нет |
| Готовое к использованию | нет |
| Концентрация | 0.6 мг/мл |
| Конъюгат | По запросу: HRP, biotin, PerCP, PE, Cy3, FITC, Cy7, Cy5.5, PE-Cy5, PE-Cy7, PerCp-Cy5.5, APC, Cy5, PE-Cy3, PE-Cy5.5, APC-Cy7, Biotin-APC, FITC-Biotin, TRITC, APC-Cy5, AF488, AF594, AF405, AF555, AF700, AF647, AF750 |
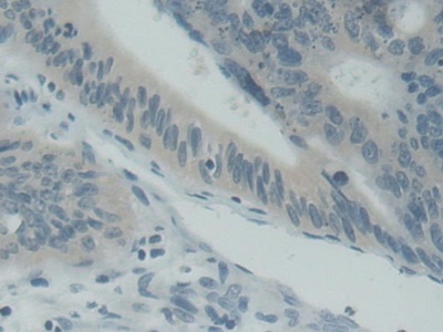
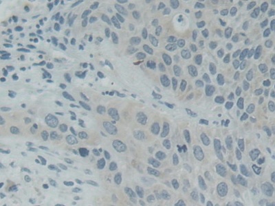
| Валидировано для | IHC WB Иммуногистохимия; Вестерн-блоттинг |
| Рекомендуемые разведения | WB: 0.5-3 мкг/мл; IHC: 5-30 мкг/мл; ICC: 5-30 мкг/мл; Оптимальное разведение определяется конечным потребителем |
| Метод очистки | Антигенспецифическая аффинная хроматография с последующей аффинной хроматографией с белком А |
| Состав буфера | 0.01M PBS, pH7.4, 0.05% Proclin-300, 50% глицерин |
| Условия доставки | термобокс с аккумуляторами холода |
| Условия хранения | Сразу после получения аликвотировать и хранить при -20ºС до 24 месяцев. Для частого использования хранить при +4ºС не более 2 недель. Избегать повторения циклов замерзания/оттаивания |
| Срок хранения | 24 месяца |
| Производитель | Cloud-Clone Corp. |
| Ссылка на страницу товара на сайте производителя | http://www.cloud-clone.com/products/PAC955Hu01.html |
|
Артикул
|
Наименование |
Производитель
|
|---|
|
Артикул
|
Наименование |
Производитель
|
|---|
|
Артикул
|
Наименование |
Производитель
|
|---|
Акции и предложения
Популярные продукты:
Chicken Glycosylated Ferritin ELISA kit (E12G0017)
Организм: курица
Canine Cystatin D(CST5) ELISA kit (E08C2124)
Организм: собака
Monkey Synapsin I ELISA kit (E09S0831)
Организм: обезьяна
Canine Methylglyoxal ELISA kit (E08M0040)
Организм: собака
Anti-NGL-1/LRRC4C Antibody (N49A/21) (RHN19002)
Источник (хозяин): мышь
Реактивность подтвержденная: для всех
Валидировано для: IHC, WB
Реактивность подтвержденная: для всех
Валидировано для: IHC, WB

