| UNIPROT | Q16623 |
| Иммуноген | RPD035Hu01-Recombinant Syntaxin 1A, Brain (STX1A) |
Polyclonal Antibody to Syntaxin 1A, Brain (STX1A) (PAD035Hu01)
Реактивность подтвержденная:
человек
Источник (хозяин):
кролик
Валидировано для:
IHC
WB
Характеристики
Техническое описание
| Русское название | PAD035Hu01 Поликлональное антитело к STX1A (человек) <Cloud-Clone,Китай> |
| Каталожный номер | PAD035Hu01 |
| Название антигена | Syntaxin 1A, Brain (STX1A) |
| UNIPROT | Q16623 |
| Иммуноген | RPD035Hu01-Recombinant Syntaxin 1A, Brain (STX1A) |
| Английские синонимы | STX-1A, HPC-1, STX1, P35-1, Neuron-specific antigen HPC-1 |
Реактивность подтвержденная Нужна другая реактивность? |
человек |
| Реактивность предсказываемая | мышь, крыса, свинья |
| Источник (хозяин) | кролик |
| Клональность | поликлональное |
| Рекомбинантное | нет |
| Готовое к использованию | нет |
| Концентрация | 1 мг/мл |
| Конъюгат | По запросу: HRP, biotin, PerCP, PE, Cy3, FITC, Cy7, Cy5.5, PE-Cy5, PE-Cy7, PerCp-Cy5.5, APC, Cy5, PE-Cy3, PE-Cy5.5, APC-Cy7, Biotin-APC, FITC-Biotin, TRITC, APC-Cy5, AF488, AF594, AF405, AF555, AF700, AF647, AF750 |
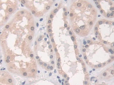
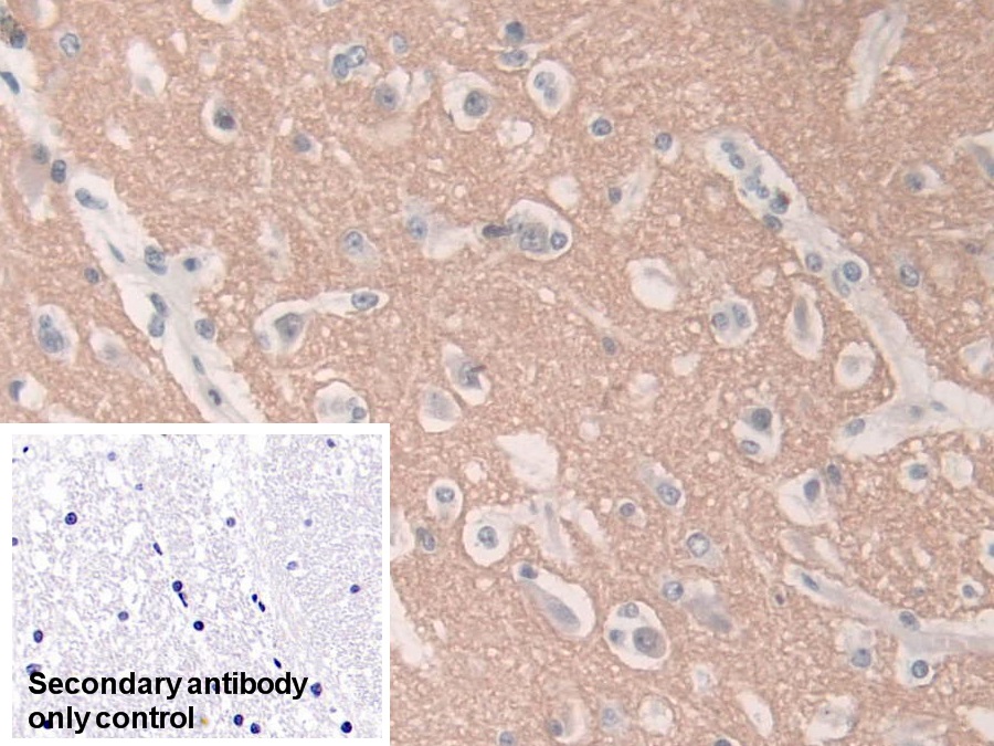
| Валидировано для | IHC WB Иммуногистохимия; Вестерн-блоттинг |
| Рекомендуемые разведения | WB: 0.5-2 мкг/мл; 1:500-2000; IHC: 5-20 мкг/мл; 1:50-200; ICC: 5-20 мкг/мл; 1:50-200; Оптимальное разведение определяется конечным потребителем |
| Метод очистки | Антигенспецифическая аффинная хроматография с последующей аффинной хроматографией с белком А |
| Состав буфера | 0.01M PBS, pH7.4, 0.05% Proclin-300, 50% глицерин |
| Условия доставки | термобокс с аккумуляторами холода |
| Условия хранения | Сразу после получения аликвотировать и хранить при -20ºС до 24 месяцев. Для частого использования хранить при +4ºС не более 2 недель. Избегать повторения циклов замерзания/оттаивания |
| Срок хранения | 24 месяца |
| Производитель | Cloud-Clone Corp. |
| Ссылка на страницу товара на сайте производителя | http://www.cloud-clone.com/products/PAD035Hu01.html |
|
Артикул
|
Наименование |
Производитель
|
|---|
|
Артикул
|
Наименование |
Производитель
|
|---|
|
Артикул
|
Наименование |
Производитель
|
|---|
|
Артикул
|
Наименование |
Производитель
|
|---|
Акции и предложения
Популярные продукты:
Anti-Human CKMB Antibody (R4D88) (RHC21102)
Источник (хозяин): мышь
Реактивность подтвержденная: человек
Валидировано для: CLIA, ELISA
Реактивность подтвержденная: человек
Валидировано для: CLIA, ELISA
Sheep Succinic Acid ELISA Kit (E14S0475)
Организм: овца
Rabbit Succinic Acid ELISA Kit (E04S0475)
Организм: кролик
Goat Lymphocyte Antigen 96 ELISA kit (E06L0307)
Организм: коза
Chicken Uromodulin ELISA kit (E12U0077)
Организм: курица

