| UNIPROT | Q9H190 |
| Иммуноген | RPD171Hu01-Recombinant Syntenin 2 (ST2) |
Polyclonal Antibody to Syntenin 2 (ST2) (PAD171Hu01)
Реактивность подтвержденная:
человек
Источник (хозяин):
кролик
Валидировано для:
IHC
WB
Характеристики
Техническое описание
| Русское название | PAD171Hu01 Поликлональное антитело к ST2 (человек) <Cloud-Clone,Китай> |
| Каталожный номер | PAD171Hu01 |
| Название антигена | Syntenin 2 (ST2) |
| UNIPROT | Q9H190 |
| Иммуноген | RPD171Hu01-Recombinant Syntenin 2 (ST2) |
| Английские синонимы | SDCBP2, SITAC18, Syndecan Binding Protein 2 |
Реактивность подтвержденная Нужна другая реактивность? |
человек |
| Реактивность предсказываемая | мышь |
| Источник (хозяин) | кролик |
| Клональность | поликлональное |
| Рекомбинантное | нет |
| Готовое к использованию | нет |
| Концентрация | 0.5 мг/мл |
| Конъюгат | По запросу: HRP, biotin, PerCP, PE, Cy3, FITC, Cy7, Cy5.5, PE-Cy5, PE-Cy7, PerCp-Cy5.5, APC, Cy5, PE-Cy3, PE-Cy5.5, APC-Cy7, Biotin-APC, FITC-Biotin, TRITC, APC-Cy5, AF488, AF594, AF405, AF555, AF700, AF647, AF750 |
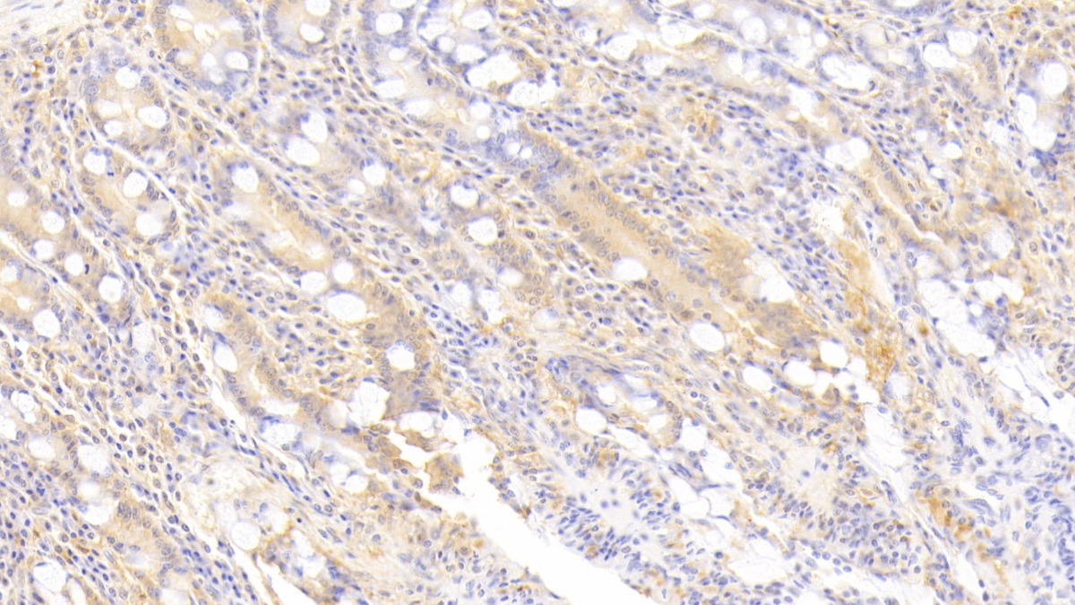
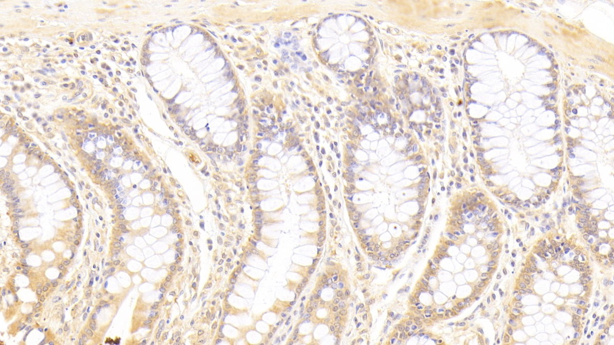
| Валидировано для | IHC WB Иммуногистохимия; Вестерн-блоттинг |
| Рекомендуемые разведения | WB: 0.01-5 мкг/мл; IHC: 5-20 мкг/мл; IF: 5-30 мкг/мл; Оптимальное разведение определяется конечным потребителем |
| Метод очистки | Антигенспецифическая аффинная хроматография с последующей аффинной хроматографией с белком А |
| Состав буфера | 0.01M PBS, pH7.4, 0.05% Proclin-300, 50% глицерин |
| Условия доставки | термобокс с аккумуляторами холода |
| Условия хранения | Сразу после получения аликвотировать и хранить при -20ºС до 24 месяцев. Для частого использования хранить при +4ºС не более 2 недель. Избегать повторения циклов замерзания/оттаивания |
| Срок хранения | 24 месяца |
| Производитель | Cloud-Clone Corp. |
| Ссылка на страницу товара на сайте производителя | http://www.cloud-clone.com/products/PAD171Hu01.html |
|
Артикул
|
Наименование |
Производитель
|
|---|
Акции и предложения
Популярные продукты:
Monoclonal Antibody to Extracellular Signal Regulated Kinase 2 (ERK2) (MAA930Hu27)
Источник (хозяин): мышь
Реактивность подтвержденная: человек
Валидировано для: WB
Реактивность подтвержденная: человек
Валидировано для: WB
Human Centrosomal protein of 290 kDa ELISA kit (E01C1618)
Организм: человек
Porcine Interferon alpha-2 ELISA kit (E07I0811)
Организм: свинья
Anti-Ara h 2 Human IgE Antibody (38B7) (RZZ03705)
Источник (хозяин): человек
Реактивность подтвержденная: растения
Валидировано для: ELISA
Реактивность подтвержденная: растения
Валидировано для: ELISA
PE/Cyanine7 Anti-Human CD183/CXCR3 Antibody[G025H7] (FCE3028)
Источник (хозяин): мышь
Реактивность подтвержденная: человек
Валидировано для: FCM
Реактивность подтвержденная: человек
Валидировано для: FCM

