| UNIPROT | Q99L88 |
| Иммуноген | RPC862Mu01-Recombinant Syntrophin Beta 1 (SNTb1) |
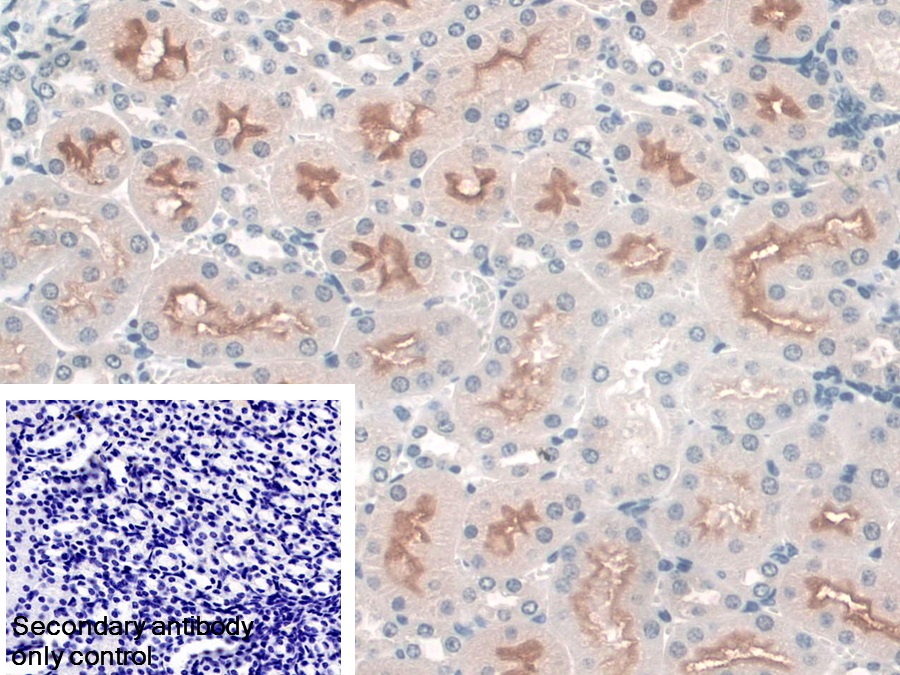
Polyclonal Antibody to Syntrophin Beta 1 (SNTb1) (PAC862Mu01)
Реактивность подтвержденная:
мышь
Источник (хозяин):
кролик
Валидировано для:
IHC
WB
Характеристики
Техническое описание
| Русское название | PAC862Mu01 Поликлональное антитело к SNTb1 (мышь) <Cloud-Clone,Китай> |
| Каталожный номер | PAC862Mu01 |
| Название антигена | Syntrophin Beta 1 (SNTb1) |
| UNIPROT | Q99L88 |
| Иммуноген | RPC862Mu01-Recombinant Syntrophin Beta 1 (SNTb1) |
| Английские синонимы | SNT-B1, A1B, 59-DAP, BSYN2, DAPA1B, SNT2, SNT2B1, TIP43, Dystrophin-Associated Protein A1,59kDa,Basic Component 1, Syntrophin-2, Tax interaction protein 43 |
Реактивность подтвержденная Нужна другая реактивность? |
мышь |
| Реактивность предсказываемая | человек |
| Источник (хозяин) | кролик |
| Клональность | поликлональное |
| Рекомбинантное | нет |
| Готовое к использованию | нет |
| Концентрация | 0.5 мг/мл |
| Конъюгат | По запросу: HRP, biotin, PerCP, PE, Cy3, FITC, Cy7, Cy5.5, PE-Cy5, PE-Cy7, PerCp-Cy5.5, APC, Cy5, PE-Cy3, PE-Cy5.5, APC-Cy7, Biotin-APC, FITC-Biotin, TRITC, APC-Cy5, AF488, AF594, AF405, AF555, AF700, AF647, AF750 |
| Валидировано для | IHC WB Иммуногистохимия; Вестерн-блоттинг |
| Рекомендуемые разведения | WB: 0.01-2 мкг/мл; IHC: 5-20 мкг/мл; Оптимальное разведение определяется конечным потребителем |
| Метод очистки | Антигенспецифическая аффинная хроматография с последующей аффинной хроматографией с белком А |
| Состав буфера | 0.01M PBS, pH7.4, 0.05% Proclin-300, 50% глицерин |
| Условия доставки | термобокс с аккумуляторами холода |
| Условия хранения | Сразу после получения аликвотировать и хранить при -20ºС до 24 месяцев. Для частого использования хранить при +4ºС не более 2 недель. Избегать повторения циклов замерзания/оттаивания |
| Срок хранения | 24 месяца |
| Производитель | Cloud-Clone Corp. |
| Ссылка на страницу товара на сайте производителя | http://www.cloud-clone.com/products/PAC862Mu01.html |
|
Артикул
|
Наименование |
Производитель
|
|---|
Акции и предложения
Популярные продукты:
Monkey Astrotactin 2(ASTN2) ELISA kit (E09A1734)
Организм: обезьяна
Bovine B cell CLL/lymphoma 9 protein(BCL9) ELISA kit (E11B0775)
Организм: корова
KRIBIOLISA Batoclimab ELISA (KBI1173)
Организм: человек
Диапазон определения: 0 - 2000 нг/мл
Чувствительность: 15 нг/мл
Диапазон определения: 0 - 2000 нг/мл
Чувствительность: 15 нг/мл
Anti-Mouse OSTN Polyclonal Antibody (PMF42801)
Источник (хозяин): кролик
Реактивность подтвержденная: мышь
Валидировано для: ELISA, IHC, WB
Реактивность подтвержденная: мышь
Валидировано для: ELISA, IHC, WB
Anti-SOX9 Polyclonal Antibody (PHE57601)
Источник (хозяин): кролик
Реактивность подтвержденная: человек, мышь, крыса
Валидировано для: ELISA, IHC, WB
Реактивность подтвержденная: человек, мышь, крыса
Валидировано для: ELISA, IHC, WB
Anti-QPCT Polyclonal Antibody (PHH36401)
Источник (хозяин): кролик
Реактивность подтвержденная: человек, мышь, крыса
Валидировано для: ELISA, IHC, WB
Реактивность подтвержденная: человек, мышь, крыса
Валидировано для: ELISA, IHC, WB

