| UNIPROT | Q16635 |
| Иммуноген | RPE564Hu01-Recombinant Tafazzin (TAZ) |
Polyclonal Antibody to Tafazzin (TAZ) (PAE564Hu01)
Реактивность подтвержденная:
человек
Источник (хозяин):
кролик
Валидировано для:
IHC
WB
Характеристики
Техническое описание
| Русское название | PAE564Hu01 Поликлональное антитело к TAZ (человек) <Cloud-Clone,Китай> |
| Каталожный номер | PAE564Hu01 |
| Название антигена | Tafazzin (TAZ) |
| UNIPROT | Q16635 |
| Иммуноген | RPE564Hu01-Recombinant Tafazzin (TAZ) |
| Английские синонимы | CMD3A, EFE2, EFE, BTHS, XAP-2, G4.5, Barth syndrome, Endocardial Fibroelastosis 2, Cardiomyopathy,Dilated 3A(X-Linked) |
Реактивность подтвержденная Нужна другая реактивность? |
человек |
| Реактивность предсказываемая | мышь |
| Источник (хозяин) | кролик |
| Клональность | поликлональное |
| Рекомбинантное | нет |
| Готовое к использованию | нет |
| Концентрация | 0.5 мг/мл |
| Конъюгат | По запросу: HRP, biotin, PerCP, PE, Cy3, FITC, Cy7, Cy5.5, PE-Cy5, PE-Cy7, PerCp-Cy5.5, APC, Cy5, PE-Cy3, PE-Cy5.5, APC-Cy7, Biotin-APC, FITC-Biotin, TRITC, APC-Cy5, AF488, AF594, AF405, AF555, AF700, AF647, AF750 |
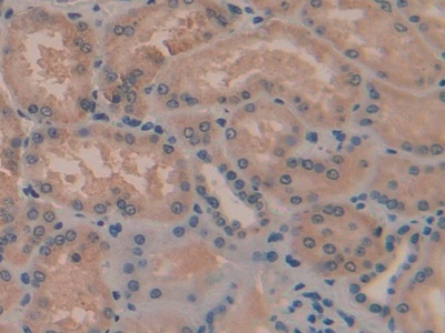
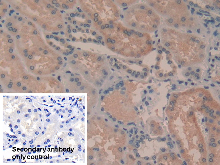
| Валидировано для | IHC WB Иммуногистохимия; Вестерн-блоттинг |
| Рекомендуемые разведения | WB: 0.01-2 мкг/мл; IHC: 5-20 мкг/мл; Оптимальное разведение определяется конечным потребителем |
| Метод очистки | Антигенспецифическая аффинная хроматография с последующей аффинной хроматографией с белком А |
| Состав буфера | 0.01M PBS, pH7.4, 0.05% Proclin-300, 50% глицерин |
| Условия доставки | термобокс с аккумуляторами холода |
| Условия хранения | Сразу после получения аликвотировать и хранить при -20ºС до 24 месяцев. Для частого использования хранить при +4ºС не более 2 недель. Избегать повторения циклов замерзания/оттаивания |
| Срок хранения | 24 месяца |
| Производитель | Cloud-Clone Corp. |
| Ссылка на страницу товара на сайте производителя | http://www.cloud-clone.com/products/PAE564Hu01.html |
|
Артикул
|
Наименование |
Производитель
|
|---|
|
Артикул
|
Наименование |
Производитель
|
|---|
|
Артикул
|
Наименование |
Производитель
|
|---|
|
Артикул
|
Наименование |
Производитель
|
|---|
|
Артикул
|
Наименование |
Производитель
|
|---|
Акции и предложения
Популярные продукты:
ELISA Kit DIY Materials for Monocyte Chemotactic Protein 1 (MCP1) (KSA087Po01)
Организм: свинья
Диапазон определения: 0.156-10 нг/мл
Чувствительность: 0.061 нг/мл
Диапазон определения: 0.156-10 нг/мл
Чувствительность: 0.061 нг/мл
ELISA Kit DIY Materials for Annexin A3 (ANXA3) (KSE786Hu01)
Организм: человек
Диапазон определения: 0.156-10 нг/мл
Чувствительность: 0.058 нг/мл
Диапазон определения: 0.156-10 нг/мл
Чувствительность: 0.058 нг/мл
ELISA Kit DIY Materials for Tissue Plasminogen Activator (tPA) (KSA525Hu01)
Организм: человек
Диапазон определения: 0.156-10 нг/мл
Чувствительность: 0.057 нг/мл
Диапазон определения: 0.156-10 нг/мл
Чувствительность: 0.057 нг/мл
Monkey Collectrin(TMEM27) ELISA kit (E09C2455)
Организм: обезьяна
Porcine Receptor for advanced glycatiom end products/Advanced Glycosylation End Product Specific Receptor ELISA kit (E07R0349)
Организм: свинья
Диапазон определения: 0.5-10 нг/мл
Чувствительность: 0.1 нг/мл
Диапазон определения: 0.5-10 нг/мл
Чувствительность: 0.1 нг/мл

