| UNIPROT | P59533 |
| Иммуноген | CPF811Hu21-OVA Conjugated Taste Receptor Type 2 Member 38 (TAS2R38) |
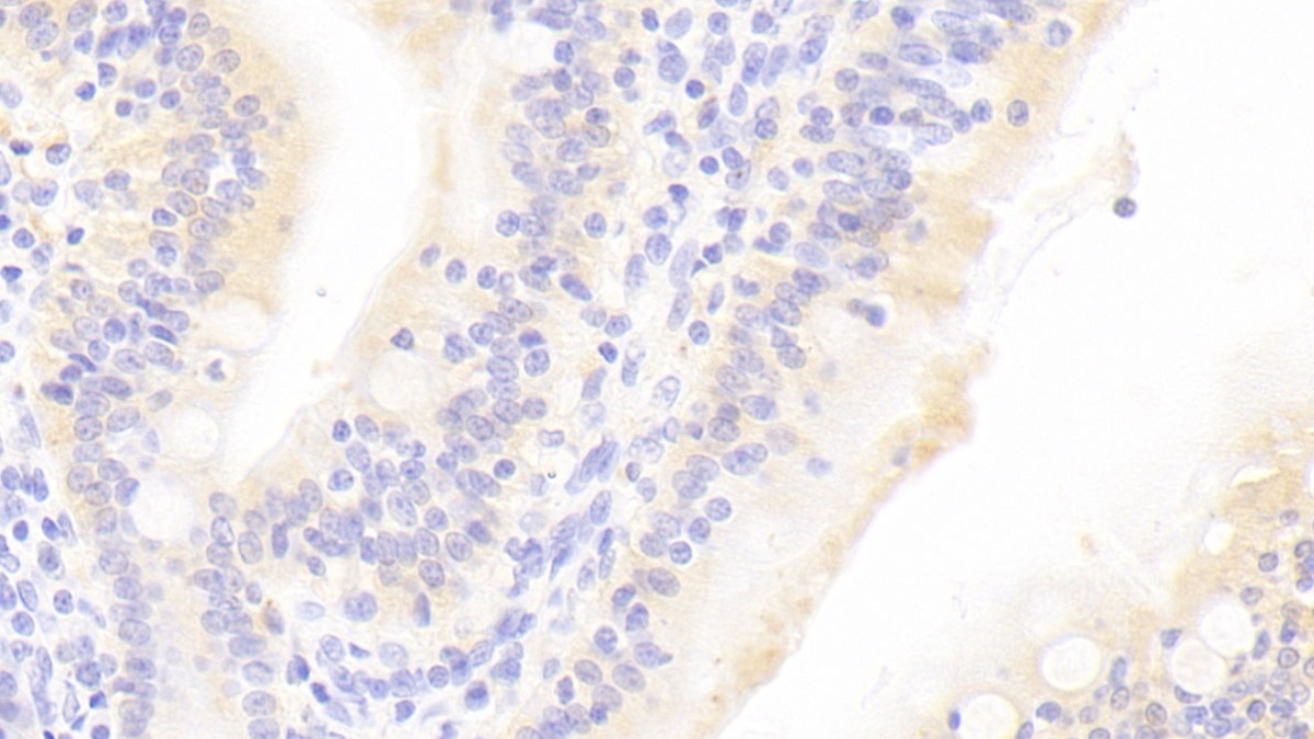
Polyclonal Antibody to Taste Receptor Type 2 Member 38 (TAS2R38) (PAF811Hu01)
Реактивность подтвержденная:
человек
Источник (хозяин):
кролик
Валидировано для:
IHC
Характеристики
Техническое описание
| Русское название | PAF811Hu01 Поликлональное антитело к TAS2R38 (человек) <Cloud-Clone,Китай> |
| Каталожный номер | PAF811Hu01 |
| Название антигена | Taste Receptor Type 2 Member 38 (TAS2R38) |
| UNIPROT | P59533 |
| Иммуноген | CPF811Hu21-OVA Conjugated Taste Receptor Type 2 Member 38 (TAS2R38) |
| Английские синонимы | PTC, T2R61, Phenylthiocarbamide Tasting, PTC bitter taste receptor |
Реактивность подтвержденная Нужна другая реактивность? |
человек |
| Реактивность предсказываемая | свинья |
| Источник (хозяин) | кролик |
| Клональность | поликлональное |
| Рекомбинантное | нет |
| Готовое к использованию | нет |
| Концентрация | 500 мкг/мл |
| Конъюгат | По запросу: HRP, biotin, PerCP, PE, Cy3, FITC, Cy7, Cy5.5, PE-Cy5, PE-Cy7, PerCp-Cy5.5, APC, Cy5, PE-Cy3, PE-Cy5.5, APC-Cy7, Biotin-APC, FITC-Biotin, TRITC, APC-Cy5, AF488, AF594, AF405, AF555, AF700, AF647, AF750 |
| Валидировано для | IHC Иммуногистохимия |
| Рекомендуемые разведения | WB: 0.2-2 мкг/мл; 1:250-2500; IHC: 5-20 мкг/мл; 1:25-100; ICC: 5-20 мкг/мл; 1:25-100; Оптимальное разведение определяется конечным потребителем |
| Метод очистки | Антигенспецифическая аффинная хроматография с последующей аффинной хроматографией с белком А |
| Состав буфера | 0.01M PBS, pH7.4, 0.05% Proclin-300, 50% глицерин |
| Условия доставки | термобокс с аккумуляторами холода |
| Условия хранения | Сразу после получения аликвотировать и хранить при -20ºС до 24 месяцев. Для частого использования хранить при +4ºС не более 2 недель. Избегать повторения циклов замерзания/оттаивания |
| Срок хранения | 24 месяца |
| Производитель | Cloud-Clone Corp. |
| Ссылка на страницу товара на сайте производителя | http://www.cloud-clone.com/products/PAF811Hu01.html |
|
Артикул
|
Наименование |
Производитель
|
|---|
|
Артикул
|
Наименование |
Производитель
|
|---|
Акции и предложения
Популярные продукты:
Orforglipron ELISA Kit (KDE40104)
Организм: человек
Диапазон определения: 78.125-5000 нг/мл
Чувствительность: 33.12 нг/мл
Диапазон определения: 78.125-5000 нг/мл
Чувствительность: 33.12 нг/мл
Guinea Pig Canalicular multispecific organic anion transporter 2(ABCC3) ELISA kit (E05C1179)
Организм: морская свинка
Porcine Carnitine ELISA kit (E07C0054)
Организм: свинья
Goat Vasoactive intestinal peptide ELISA kit (E06V0037)
Организм: коза
Mouse Cortisone ELISA kit (E03C0900)
Организм: мышь
Recombinant Human CXCL14/BRAK/MIP-2G Protein, N-GST (YHB72401)
Источник (хозяин): E.coli
Организм: человек
Фрагмент: Ser35-Glu111
Теги: N-GST
Биоактивность: нет
Организм: человек
Фрагмент: Ser35-Glu111
Теги: N-GST
Биоактивность: нет

