| UNIPROT | P19332 |
| Иммуноген | RPB983Ra01-Recombinant Tau Protein (MAPT) |
Polyclonal Antibody to Tau Protein (MAPT) (PAB983Ra01)
Реактивность подтвержденная:
крыса
Источник (хозяин):
кролик
Валидировано для:
IHC
WB
Характеристики
Техническое описание
| Русское название | PAB983Ra01 Поликлональное антитело к MAPT (крыса) <Cloud-Clone,Китай> |
| Каталожный номер | PAB983Ra01 |
| Название антигена | Microtubule Associated Protein Tau (MAPt) |
| UNIPROT | P19332 |
| Иммуноген | RPB983Ra01-Recombinant Tau Protein (MAPT) |
| Английские синонимы | DDPAC, FTDP-17, MAPTL, MSTD, MTBT1, MTBT2, PPND, Neurofibrillary tangle protein, Tau Protein, Paired helical filament-tau, G Protein Beta1/Gamma2 Subunit-Interacting Factor 1 |
| Русские синонимы | МАР |
Реактивность подтвержденная Нужна другая реактивность? |
крыса |
| Реактивность предсказываемая | мышь |
| Источник (хозяин) | кролик |
| Клональность | поликлональное |
| Рекомбинантное | нет |
| Готовое к использованию | нет |
| Концентрация | 1 мг/мл |
| Конъюгат | По запросу: HRP, biotin, PerCP, PE, Cy3, FITC, Cy7, Cy5.5, PE-Cy5, PE-Cy7, PerCp-Cy5.5, APC, Cy5, PE-Cy3, PE-Cy5.5, APC-Cy7, Biotin-APC, FITC-Biotin, TRITC, APC-Cy5, AF488, AF594, AF405, AF555, AF700, AF647, AF750 |
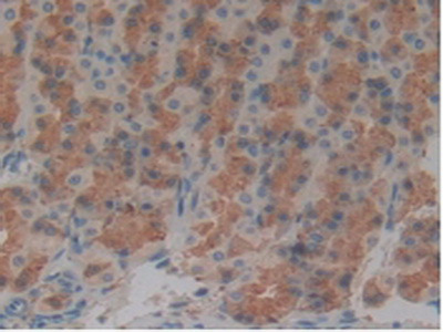
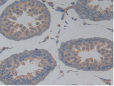
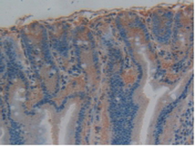
| Валидировано для | IHC WB Иммуногистохимия; Вестерн-блоттинг |
| Рекомендуемые разведения | WB: 0.5-2 мкг/мл; IHC: 5-20 мкг/мл; ICC: 5-20 мкг/мл; Оптимальное разведение определяется конечным потребителем |
| Метод очистки | Антигенспецифическая аффинная хроматография с последующей аффинной хроматографией с белком А |
| Состав буфера | PBS, pH7.4, 0.02% NaN3, 50% глицерин |
| Условия доставки | термобокс с аккумуляторами холода |
| Условия хранения | Сразу после получения аликвотировать и хранить при -20ºС до 24 месяцев. Для частого использования хранить при +4ºС не более 2 недель. Избегать повторения циклов замерзания/оттаивания |
| Срок хранения | 24 месяца |
| Производитель | Cloud-Clone Corp. |
| Ссылка на страницу товара на сайте производителя | http://www.cloud-clone.com/products/PAB983Ra01.html |
|
Артикул
|
Наименование |
Производитель
|
|---|
|
Артикул
|
Наименование |
Производитель
|
|---|
|
Артикул
|
Наименование |
Производитель
|
|---|
|
Артикул
|
Наименование |
Производитель
|
|---|
|
Артикул
|
Наименование |
Производитель
|
|---|
|
Артикул
|
Наименование |
Производитель
|
|---|
|
Артикул
|
Наименование |
Производитель
|
|---|
|
Артикул
|
Наименование |
Производитель
|
|---|
|
Артикул
|
Наименование |
Производитель
|
|---|
Акции и предложения
Популярные продукты:
Anti-Dexamethasone/DEX Monoclonal Antibody (1A482) (MGK61201)
Источник (хозяин): мышь
Реактивность подтвержденная: для всех
Валидировано для: ELISA
Реактивность подтвержденная: для всех
Валидировано для: ELISA
Anti-Cluster Of Differentiation 42b (CD42b) Monoclonal Antibody (FAB108Hu04)
Источник (хозяин): мышь
Реактивность подтвержденная: человек
Валидировано для: FCM
Реактивность подтвержденная: человек
Валидировано для: FCM
ELISA Kit DIY Materials for Hypoxia Inducible Factor 1 Alpha (HIF1a) (KSA798Ra01)
Организм: крыса
Диапазон определения: 0.156-10 нг/мл
Чувствительность: 0.060 нг/мл
Диапазон определения: 0.156-10 нг/мл
Чувствительность: 0.060 нг/мл
Monoclonal Antibody to Casein Alpha (CSN1) (MAJ333Bo26)
Источник (хозяин): мышь
Реактивность подтвержденная: корова
Валидировано для: WB
Реактивность подтвержденная: корова
Валидировано для: WB
Chicken Glycosylated Ferritin ELISA kit (E12G0017)
Организм: курица

