| UNIPROT | P51580 |
| Иммуноген | RPC821Hu01-Recombinant Thiopurine Methyltransferase (TPMT) |
Polyclonal Antibody to Thiopurine Methyltransferase (TPMT) (PAC821Hu01)
Реактивность подтвержденная:
человек
Источник (хозяин):
кролик
Валидировано для:
IHC
WB
Характеристики
Техническое описание
| Русское название | PAC821Hu01 Поликлональное антитело к TPMT (человек) <Cloud-Clone,Китай> |
| Каталожный номер | PAC821Hu01 |
| Название антигена | Thiopurine Methyltransferase (TPMT) |
| UNIPROT | P51580 |
| Иммуноген | RPC821Hu01-Recombinant Thiopurine Methyltransferase (TPMT) |
| Английские синонимы | Thiopurine S Methyltransferase |
Реактивность подтвержденная Нужна другая реактивность? |
человек |
| Реактивность предсказываемая | мышь |
| Источник (хозяин) | кролик |
| Клональность | поликлональное |
| Рекомбинантное | нет |
| Готовое к использованию | нет |
| Концентрация | 500 мкг/мл |
| Конъюгат | По запросу: HRP, biotin, PerCP, PE, Cy3, FITC, Cy7, Cy5.5, PE-Cy5, PE-Cy7, PerCp-Cy5.5, APC, Cy5, PE-Cy3, PE-Cy5.5, APC-Cy7, Biotin-APC, FITC-Biotin, TRITC, APC-Cy5, AF488, AF594, AF405, AF555, AF700, AF647, AF750 |
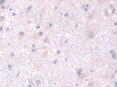
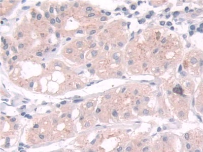
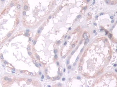
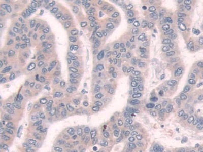
| Валидировано для | IHC WB Иммуногистохимия; Вестерн-блоттинг |
| Рекомендуемые разведения | WB: 0.5-2 мкг/мл; IHC: 5-20 мкг/мл; ICC: 5-20 мкг/мл; Оптимальное разведение определяется конечным потребителем |
| Метод очистки | Антигенспецифическая аффинная хроматография с последующей аффинной хроматографией с белком А |
| Состав буфера | 0.01M PBS, pH7.4, 0.05% Proclin-300, 50% глицерин |
| Условия доставки | термобокс с аккумуляторами холода |
| Условия хранения | Сразу после получения аликвотировать и хранить при -20ºС до 24 месяцев. Для частого использования хранить при +4ºС не более 2 недель. Избегать повторения циклов замерзания/оттаивания |
| Срок хранения | 24 месяца |
| Производитель | Cloud-Clone Corp. |
| Ссылка на страницу товара на сайте производителя | http://www.cloud-clone.com/products/PAC821Hu01.html |
|
Артикул
|
Наименование |
Производитель
|
|---|
|
Артикул
|
Наименование |
Производитель
|
|---|
|
Артикул
|
Наименование |
Производитель
|
|---|
Акции и предложения
Популярные продукты:
Anti-MIEN1 Polyclonal Antibody (PHP14501)
Источник (хозяин): кролик
Реактивность подтвержденная: человек, мышь
Валидировано для: ELISA, WB
Реактивность подтвержденная: человек, мышь
Валидировано для: ELISA, WB
Chicken Adapter molecule crk(CRK) ELISA kit (E12A1816)
Организм: курица
Recombinant Human MAG Protein(Fc Tag) (PDMH100220)
Источник (хозяин): клетки млекопитающих
Организм: человек
Фрагмент: Gly20-Pro516
Теги: C-Fc
Биоактивность: нет
Организм: человек
Фрагмент: Gly20-Pro516
Теги: C-Fc
Биоактивность: нет
TPMT Polyclonal Antibody (E-AB-60140)
Источник (хозяин): кролик
Реактивность подтвержденная: человек
Валидировано для: WB
Реактивность подтвержденная: человек
Валидировано для: WB
PANK1 Antibody (DF16096)
Источник (хозяин): кролик
Реактивность подтвержденная: человек, мышь
Валидировано для: IHC, IF, ICC
Реактивность подтвержденная: человек, мышь
Валидировано для: IHC, IF, ICC

