| UNIPROT | Q8BG60 |
| Иммуноген | RPB162Mu01-Recombinant Thioredoxin-interacting Protein (TXNIP) |
Polyclonal Antibody to Thioredoxin-interacting Protein (TXNIP) (PAB162Mu01)
Реактивность подтвержденная:
мышь
Источник (хозяин):
кролик
Валидировано для:
IHC
WB
Характеристики
Публикации
Техническое описание
| Русское название | PAB162Mu01 Поликлональное антитело к TXNIP (мышь) <Cloud-Clone,Китай> |
| Каталожный номер | PAB162Mu01 |
| Название антигена | Thioredoxin Binding Protein 2 (TBP2) |
| UNIPROT | Q8BG60 |
| Иммуноген | RPB162Mu01-Recombinant Thioredoxin-interacting Protein (TXNIP) |
| Английские синонимы | TXNIP, HHCPA78, THIF, VDUP1, Thioredoxin Interacting Protein, Vitamin D3-Upregulated Protein 1, Upregulated By 1,25-Dihydroxyvitamin D-3 |
Реактивность подтвержденная Нужна другая реактивность? |
мышь |
| Источник (хозяин) | кролик |
| Клональность | поликлональное |
| Рекомбинантное | нет |
| Готовое к использованию | нет |
| Концентрация | 0.26 мг/мл |
| Конъюгат | По запросу: HRP, biotin, PerCP, PE, Cy3, FITC, Cy7, Cy5.5, PE-Cy5, PE-Cy7, PerCp-Cy5.5, APC, Cy5, PE-Cy3, PE-Cy5.5, APC-Cy7, Biotin-APC, FITC-Biotin, TRITC, APC-Cy5, AF488, AF594, AF405, AF555, AF700, AF647, AF750 |
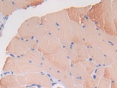
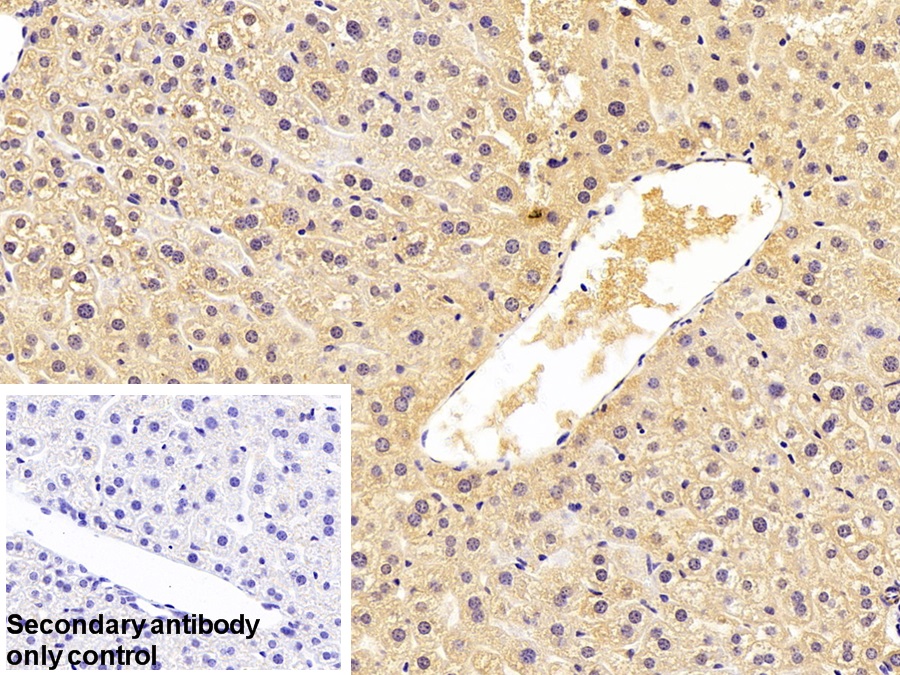
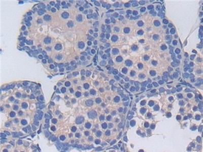
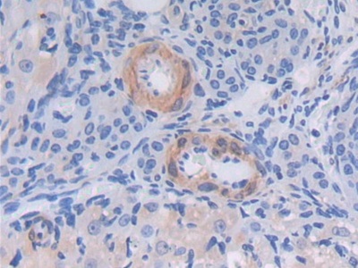
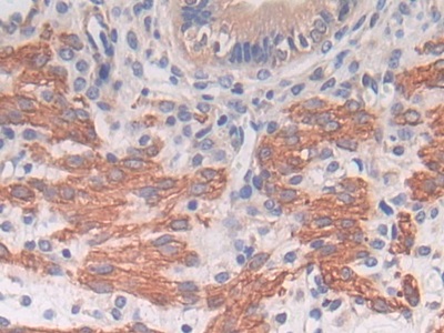
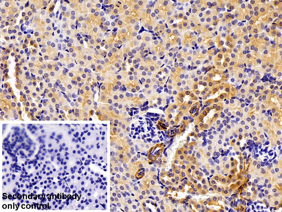
| Валидировано для | IHC WB Иммуногистохимия; Вестерн-блоттинг |
| Рекомендуемые разведения | WB: 0.5-2 мкг/мл; IHC: 5-20 мкг/мл; ICC: 5-20 мкг/мл; Оптимальное разведение определяется конечным потребителем |
| Метод очистки | Антигенспецифическая аффинная хроматография с последующей аффинной хроматографией с белком А |
| Состав буфера | 0.01M PBS, pH7.4, 0.05% Proclin-300, 50% глицерин |
| Условия доставки | термобокс с аккумуляторами холода |
| Условия хранения | Сразу после получения аликвотировать и хранить при -20ºС до 24 месяцев. Для частого использования хранить при +4ºС не более 2 недель. Избегать повторения циклов замерзания/оттаивания |
| Срок хранения | 24 месяца |
| Производитель | Cloud-Clone Corp. |
| Ссылка на страницу товара на сайте производителя | http://www.cloud-clone.com/products/PAB162Mu01.html |
|
Артикул
|
Наименование |
Производитель
|
|---|
|
Артикул
|
Наименование |
Производитель
|
|---|
|
Артикул
|
Наименование |
Производитель
|
|---|
Акции и предложения
Популярные продукты:
Guinea Pig Caspase 6 ELISA kit (E05C0099)
Организм: морская свинка
Bovine Caspase 10 ELISA kit (E11C0546)
Организм: корова
PDP2 Antibody (DF2227)
Источник (хозяин): кролик
Реактивность подтвержденная: человек, мышь, крыса
Валидировано для: IHC, WB
Реактивность подтвержденная: человек, мышь, крыса
Валидировано для: IHC, WB
Anti-Mouse IL-12 p40 Antibody (Fs0379) (FMD84010)
Источник (хозяин): крыса
Реактивность подтвержденная: мышь
Валидировано для: ELISA, FCM
Реактивность подтвержденная: мышь
Валидировано для: ELISA, FCM

