| UNIPROT | O89049 |
| Иммуноген | RPA703Ra01-Recombinant Thioredoxin Reductase 1 (TXNRD1) |
Polyclonal Antibody to Thioredoxin Reductase 1 (TXNRD1) (PAA703Ra01)
Реактивность подтвержденная:
крыса
Источник (хозяин):
кролик
Валидировано для:
IHC
WB
Характеристики
Техническое описание
| Русское название | PAA703Ra01 Поликлональное антитело к TXNRD1 (крыса) <Cloud-Clone,Китай> |
| Каталожный номер | PAA703Ra01 |
| Название антигена | Thioredoxin Reductase 1 (TrxR1) |
| UNIPROT | O89049 |
| Иммуноген | RPA703Ra01-Recombinant Thioredoxin Reductase 1 (TXNRD1) |
| Английские синонимы | TXNRD1, TR1, GRIM12, KDRF, TRXR-1, TXNR, Gene associated with retinoic and interferon-induced mortality 12 protein, KM-102-derived reductase-like factor |
Реактивность подтвержденная Нужна другая реактивность? |
крыса |
| Реактивность предсказываемая | мышь |
| Источник (хозяин) | кролик |
| Клональность | поликлональное |
| Рекомбинантное | нет |
| Готовое к использованию | нет |
| Концентрация | 500 мкг/мл |
| Конъюгат | По запросу: HRP, biotin, PerCP, PE, Cy3, FITC, Cy7, Cy5.5, PE-Cy5, PE-Cy7, PerCp-Cy5.5, APC, Cy5, PE-Cy3, PE-Cy5.5, APC-Cy7, Biotin-APC, FITC-Biotin, TRITC, APC-Cy5, AF488, AF594, AF405, AF555, AF700, AF647, AF750 |
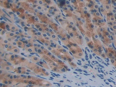
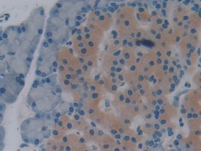
| Валидировано для | IHC WB Иммуногистохимия; Вестерн-блоттинг |
| Рекомендуемые разведения | WB: 0.5-2 мкг/мл; ICC (фиксация формалином): 5-20 мкг/мл; IHC (замороженные срезы): 5-20 мкг/мл; IHC (парафиновые срезы): 5-20 мкг/мл; ELISA: 0.05-2 мкг/мл; Оптимальное разведение определяется конечным потребителем |
| Метод очистки | Антигенспецифическая аффинная хроматография с последующей аффинной хроматографией с белком А |
| Состав буфера | 0.01M PBS, pH7.4, 0.05% Proclin-300, 50% глицерин |
| Условия доставки | термобокс с аккумуляторами холода |
| Условия хранения | Сразу после получения аликвотировать и хранить при -20ºС до 24 месяцев. Для частого использования хранить при +4ºС не более 2 недель. Избегать повторения циклов замерзания/оттаивания |
| Срок хранения | 24 месяца |
| Производитель | Cloud-Clone Corp. |
| Ссылка на страницу товара на сайте производителя | http://www.cloud-clone.com/products/PAA703Ra01.html |
|
Артикул
|
Наименование |
Производитель
|
|---|
|
Артикул
|
Наименование |
Производитель
|
|---|
|
Артикул
|
Наименование |
Производитель
|
|---|
|
Артикул
|
Наименование |
Производитель
|
|---|
Акции и предложения
Популярные продукты:
ELISA Kit DIY Materials for Retinoic Acid Receptor Alpha (RARa) (KSA976Hu01)
Организм: человек
Диапазон определения: 0.156-10 нг/мл
Чувствительность: 0.064 нг/мл
Диапазон определения: 0.156-10 нг/мл
Чувствительность: 0.064 нг/мл
Guinea Pig Secretagogin ELISA kit (E05S0807)
Организм: морская свинка
Sheep Catenin delta 2(CTNND2) ELISA kit (E14C2154)
Организм: овца
Canine Myogenin(MYOG) ELISA kit (E08M0424)
Организм: собака
Rabbit Thioredoxin reductase 1 ELISA kit (E04T0354)
Организм: кролик
Anti-CHGA Antibody (R3C21) (RHC82706)
Источник (хозяин): мышь
Реактивность подтвержденная: человек, мышь
Валидировано для: ELISA, WB
Реактивность подтвержденная: человек, мышь
Валидировано для: ELISA, WB

