| UNIPROT | P07996 |
| Иммуноген | RPA611Hu01-Recombinant Thrombospondin 1 (THBS1) |
Polyclonal Antibody to Thrombospondin 1 (THBS1) (PAA611Hu01)
Реактивность подтвержденная:
человек
Источник (хозяин):
кролик
Валидировано для:
IHC
WB
Характеристики
Техническое описание
| Русское название | PAA611Hu01 Поликлональное антитело к THBS1 (человек) <Cloud-Clone,Китай> |
| Каталожный номер | PAA611Hu01 |
| Название антигена | Thrombospondin 1 (THBS1) |
| UNIPROT | P07996 |
| Иммуноген | RPA611Hu01-Recombinant Thrombospondin 1 (THBS1) |
| Английские синонимы | TSP1, Thrombospondin-1p180 |
Реактивность подтвержденная Нужна другая реактивность? |
человек |
| Реактивность предсказываемая | мышь, крыса |
| Источник (хозяин) | кролик |
| Клональность | поликлональное |
| Рекомбинантное | нет |
| Готовое к использованию | нет |
| Концентрация | 0.5 мг/мл |
| Конъюгат | По запросу: HRP, biotin, PerCP, PE, Cy3, FITC, Cy7, Cy5.5, PE-Cy5, PE-Cy7, PerCp-Cy5.5, APC, Cy5, PE-Cy3, PE-Cy5.5, APC-Cy7, Biotin-APC, FITC-Biotin, TRITC, APC-Cy5, AF488, AF594, AF405, AF555, AF700, AF647, AF750 |
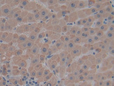
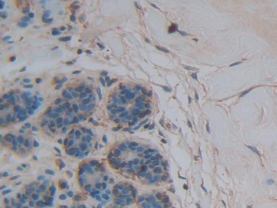
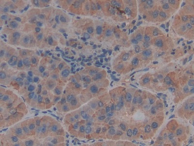
| Валидировано для | IHC WB Иммуногистохимия; Вестерн-блоттинг |
| Рекомендуемые разведения | WB: 0.01-3 мкг/мл; IHC: 5-30 мкг/мл; ICC: 5-30 мкг/мл; Оптимальное разведение определяется конечным потребителем |
| Метод очистки | Антигенспецифическая аффинная хроматография с последующей аффинной хроматографией с белком А |
| Состав буфера | PBS, pH7.4, 0.02% NaN3, 50% глицерин |
| Условия доставки | термобокс с аккумуляторами холода |
| Условия хранения | Сразу после получения аликвотировать и хранить при -20ºС до 24 месяцев. Для частого использования хранить при +4ºС не более 2 недель. Избегать повторения циклов замерзания/оттаивания |
| Срок хранения | 24 месяца |
| Производитель | Cloud-Clone Corp. |
| Ссылка на страницу товара на сайте производителя | http://www.cloud-clone.com/products/PAA611Hu01.html |
|
Артикул
|
Наименование |
Производитель
|
|---|
|
Артикул
|
Наименование |
Производитель
|
|---|
|
Артикул
|
Наименование |
Производитель
|
|---|
|
Артикул
|
Наименование |
Производитель
|
|---|
|
Артикул
|
Наименование |
Производитель
|
|---|
|
Артикул
|
Наименование |
Производитель
|
|---|
Акции и предложения
Популярные продукты:
Chicken Thrombospondin 1(THBS1) ELISA kit (E12T0686)
Организм: курица
Anti-Human DNAJB2 Polyclonal Antibody (PHD67501)
Источник (хозяин): кролик
Реактивность подтвержденная: человек
Валидировано для: ELISA, IHC, WB
Реактивность подтвержденная: человек
Валидировано для: ELISA, IHC, WB
Recombinant Human IL11 Protein, N-His-SUMO (YHD42202)
Источник (хозяин): E.coli
Организм: человек
Фрагмент: Asp34-Leu199
Теги: N-His-SUMO
Биоактивность: нет
Организм: человек
Фрагмент: Asp34-Leu199
Теги: N-His-SUMO
Биоактивность: нет
Recombinant Human BANF1 Protein, N-His (YHB23901)
Источник (хозяин): E.coli
Организм: человек
Фрагмент: Thr2-Leu89
Теги: N-His
Биоактивность: нет
Организм: человек
Фрагмент: Thr2-Leu89
Теги: N-His
Биоактивность: нет
Anti-THBS1 Antibody (R3A50) (RHC29402)
Источник (хозяин): мышь
Реактивность подтвержденная: человек
Валидировано для: ELISA, FCM
Реактивность подтвержденная: человек
Валидировано для: ELISA, FCM

