| UNIPROT | P35441 |
| Иммуноген | RPA611Mu02-Recombinant Thrombospondin 1 (THBS1) |
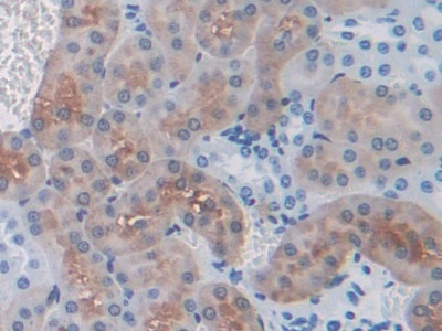
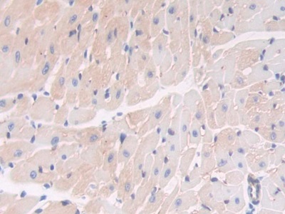
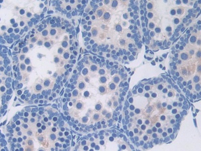
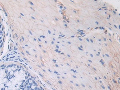
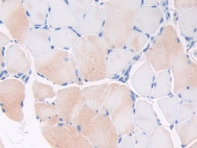
Polyclonal Antibody to Thrombospondin 1 (THBS1) (PAA611Mu02)
Реактивность подтвержденная:
мышь
Источник (хозяин):
кролик
Валидировано для:
IHC
WB
Характеристики
Техническое описание
| Русское название | PAA611Mu02 Поликлональное антитело к THBS1 (мышь) <Cloud-Clone,Китай> |
| Каталожный номер | PAA611Mu02 |
| Название антигена | Thrombospondin 1 (THBS1) |
| UNIPROT | P35441 |
| Иммуноген | RPA611Mu02-Recombinant Thrombospondin 1 (THBS1) |
| Английские синонимы | TSP1, Thrombospondin-1p180 |
Реактивность подтвержденная Нужна другая реактивность? |
мышь |
| Реактивность предсказываемая | человек |
| Источник (хозяин) | кролик |
| Клональность | поликлональное |
| Рекомбинантное | нет |
| Готовое к использованию | нет |
| Концентрация | 500 мкг/мл |
| Конъюгат | По запросу: HRP, biotin, PerCP, PE, Cy3, FITC, Cy7, Cy5.5, PE-Cy5, PE-Cy7, PerCp-Cy5.5, APC, Cy5, PE-Cy3, PE-Cy5.5, APC-Cy7, Biotin-APC, FITC-Biotin, TRITC, APC-Cy5, AF488, AF594, AF405, AF555, AF700, AF647, AF750 |
| Валидировано для | IHC WB Иммуногистохимия; Вестерн-блоттинг |
| Рекомендуемые разведения | WB: 0.5-3 мкг/мл; IHC: 5-30 мкг/мл; ICC: 5-30 мкг/мл; Оптимальное разведение определяется конечным потребителем |
| Метод очистки | Антигенспецифическая аффинная хроматография с последующей аффинной хроматографией с белком А |
| Состав буфера | 0.01M PBS, pH7.4, 0.05% Proclin-300, 50% глицерин |
| Условия доставки | термобокс с аккумуляторами холода |
| Условия хранения | Сразу после получения аликвотировать и хранить при -20ºС до 24 месяцев. Для частого использования хранить при +4ºС не более 2 недель. Избегать повторения циклов замерзания/оттаивания |
| Срок хранения | 24 месяца |
| Производитель | Cloud-Clone Corp. |
| Ссылка на страницу товара на сайте производителя | http://www.cloud-clone.com/products/PAA611Mu02.html |
|
Артикул
|
Наименование |
Производитель
|
|---|
|
Артикул
|
Наименование |
Производитель
|
|---|
|
Артикул
|
Наименование |
Производитель
|
|---|
|
Артикул
|
Наименование |
Производитель
|
|---|
|
Артикул
|
Наименование |
Производитель
|
|---|
|
Артикул
|
Наименование |
Производитель
|
|---|
Акции и предложения
Популярные продукты:
ATPG Mouse Monoclonal Antibody (BF8056)
Источник (хозяин): мышь
Реактивность подтвержденная: человек, мышь, крыса
Валидировано для: ICC, IF, IHC, WB
Реактивность подтвержденная: человек, мышь, крыса
Валидировано для: ICC, IF, IHC, WB
TOM40 Mouse Monoclonal Antibody (BF8850)
Источник (хозяин): мышь
Реактивность подтвержденная: человек, мышь
Валидировано для: WB
Реактивность подтвержденная: человек, мышь
Валидировано для: WB
ILKAP Mouse Monoclonal Antibody (BF9335)
Источник (хозяин): мышь
Реактивность подтвержденная: человек, крыса
Валидировано для: WB
Реактивность подтвержденная: человек, крыса
Валидировано для: WB
RPL8 Mouse Monoclonal Antibody (BF8744)
Источник (хозяин): мышь
Реактивность подтвержденная: человек, мышь, крыса
Валидировано для: WB
Реактивность подтвержденная: человек, мышь, крыса
Валидировано для: WB
DGKI Mouse Monoclonal Antibody (BF8978)
Источник (хозяин): мышь
Реактивность подтвержденная: человек
Валидировано для: WB
Реактивность подтвержденная: человек
Валидировано для: WB
AR Mouse Monoclonal Antibody (BF8142)
Источник (хозяин): мышь
Реактивность подтвержденная: человек, мышь
Валидировано для: IHC, WB
Реактивность подтвержденная: человек, мышь
Валидировано для: IHC, WB

