| UNIPROT | P62326 |
| Иммуноген | RPB609Bo01-Recombinant Thymosin Beta 4 (TMSB4X) |
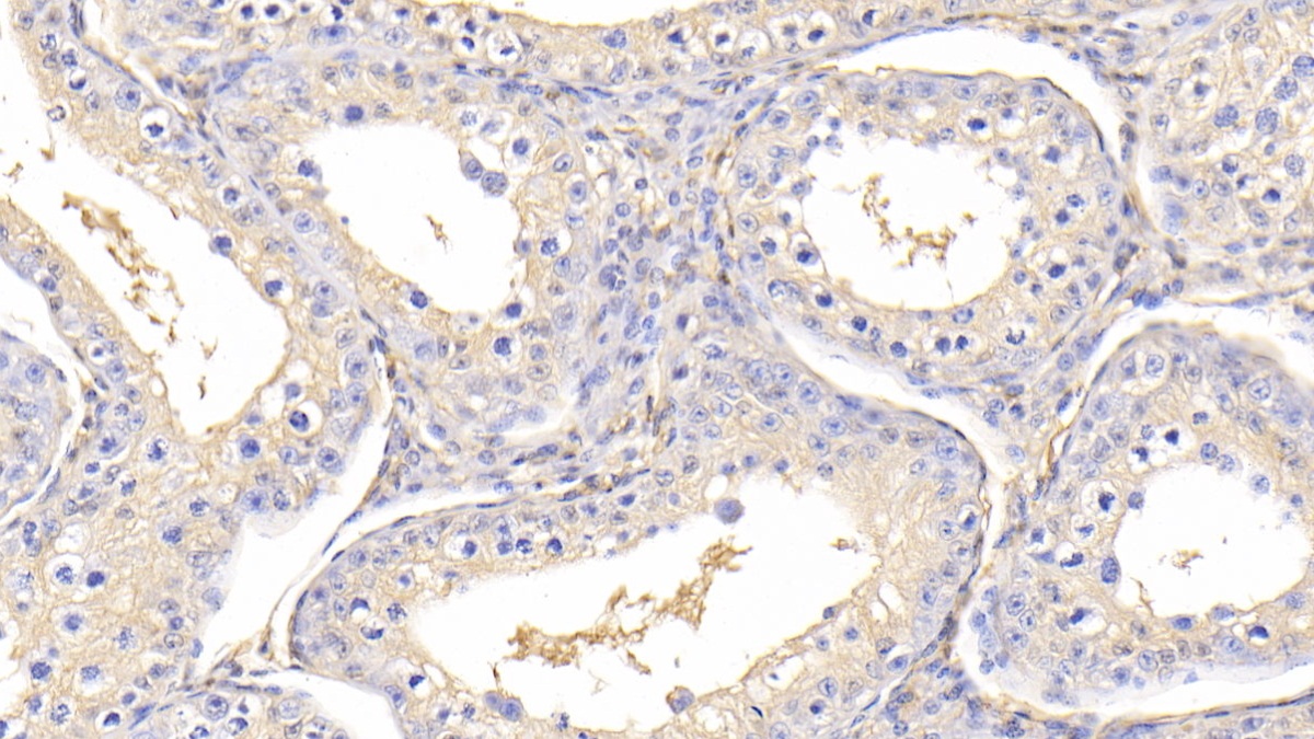
Polyclonal Antibody to Thymosin Beta 4 (TMSB4X) (PAB609Bo01)
Реактивность подтвержденная:
корова
Источник (хозяин):
кролик
Валидировано для:
IHC
Характеристики
Техническое описание
| Русское название | PAB609Bo01 Поликлональное антитело к TMSB4X (корова) <Cloud-Clone,Китай> |
| Каталожный номер | PAB609Bo01 |
| Название антигена | Thymosin Beta 4 (Tb4) |
| UNIPROT | P62326 |
| Иммуноген | RPB609Bo01-Recombinant Thymosin Beta 4 (TMSB4X) |
| Английские синонимы | TMSB4X, FX, PTMB4, TB4X, TMSB4, Thymosin,Beta 4,X-Linked, TB-500, Seraspenide, Hematopoietic system regulatory peptide |
Реактивность подтвержденная Нужна другая реактивность? |
корова |
| Реактивность предсказываемая | человек |
| Источник (хозяин) | кролик |
| Клональность | поликлональное |
| Рекомбинантное | нет |
| Готовое к использованию | нет |
| Концентрация | 0.5 мг/мл |
| Конъюгат | По запросу: HRP, biotin, PerCP, PE, Cy3, FITC, Cy7, Cy5.5, PE-Cy5, PE-Cy7, PerCp-Cy5.5, APC, Cy5, PE-Cy3, PE-Cy5.5, APC-Cy7, Biotin-APC, FITC-Biotin, TRITC, APC-Cy5, AF488, AF594, AF405, AF555, AF700, AF647, AF750 |
| Валидировано для | IHC Иммуногистохимия |
| Рекомендуемые разведения | WB: 0.5-2 мкг/мл; IHC: 5-20 мкг/мл; ICC: 5-20 мкг/мл; Оптимальное разведение определяется конечным потребителем |
| Метод очистки | Антигенспецифическая аффинная хроматография с последующей аффинной хроматографией с белком А |
| Состав буфера | PBS, pH7.4, 0.02% NaN3, 50% глицерин |
| Условия доставки | термобокс с аккумуляторами холода |
| Условия хранения | Сразу после получения аликвотировать и хранить при -20ºС до 24 месяцев. Для частого использования хранить при +4ºС не более 2 недель. Избегать повторения циклов замерзания/оттаивания |
| Срок хранения | 24 месяца |
| Производитель | Cloud-Clone Corp. |
| Ссылка на страницу товара на сайте производителя | http://www.cloud-clone.com/products/PAB609Bo01.html |
|
Артикул
|
Наименование |
Производитель
|
|---|
|
Артикул
|
Наименование |
Производитель
|
|---|
|
Артикул
|
Наименование |
Производитель
|
|---|
|
Артикул
|
Наименование |
Производитель
|
|---|
|
Артикул
|
Наименование |
Производитель
|
|---|
|
Артикул
|
Наименование |
Производитель
|
|---|
Акции и предложения
Популярные продукты:
ELISA Kit for Ninjurin 1 (NINJ1) (SEH541Hu)
Организм: человек
Диапазон определения: 0.156-10 нг/мл
Чувствительность: 0.055 нг/мл
Диапазон определения: 0.156-10 нг/мл
Чувствительность: 0.055 нг/мл
Rabbit 3 ketoacyl CoA thiolase, mitochondrial ELISA kit (E04A2144)
Организм: кролик
Rabbit Cathepsin F(CTSF) ELISA kit (E04C2164)
Организм: кролик
Guinea Pig Chordin(CHRD) ELISA kit (E05C1699)
Организм: морская свинка
Bovine Thymosin β 4 ELISA kit (E11T0385)
Организм: корова
Guinea Pig Thymosin β 4 ELISA kit (E05T0385)
Организм: морская свинка

