| UNIPROT | P05543 |
| Иммуноген | RPA305Hu01-Recombinant Thyroxine Binding Globulin (TBG) |
Polyclonal Antibody to Thyroxine Binding Globulin (TBG) (PAA305Hu01)
Реактивность подтвержденная:
человек
Источник (хозяин):
кролик
Валидировано для:
IHC
WB
Характеристики
Техническое описание
| Русское название | PAA305Hu01 Поликлональное антитело к TBG (человек) <Cloud-Clone,Китай> |
| Каталожный номер | PAA305Hu01 |
| Название антигена | Thyroxine Binding Globulin (TBG) |
| UNIPROT | P05543 |
| Иммуноген | RPA305Hu01-Recombinant Thyroxine Binding Globulin (TBG) |
| Английские синонимы | SERPINA7, Serpin Peptidase Inhibitor Clade A Member 7, T4-binding globulin |
Реактивность подтвержденная Нужна другая реактивность? |
человек |
| Реактивность предсказываемая | свинья |
| Источник (хозяин) | кролик |
| Клональность | поликлональное |
| Рекомбинантное | нет |
| Готовое к использованию | нет |
| Концентрация | 0.5 мг/мл |
| Конъюгат | По запросу: HRP, biotin, PerCP, PE, Cy3, FITC, Cy7, Cy5.5, PE-Cy5, PE-Cy7, PerCp-Cy5.5, APC, Cy5, PE-Cy3, PE-Cy5.5, APC-Cy7, Biotin-APC, FITC-Biotin, TRITC, APC-Cy5, AF488, AF594, AF405, AF555, AF700, AF647, AF750 |
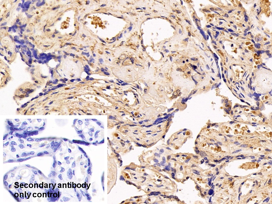
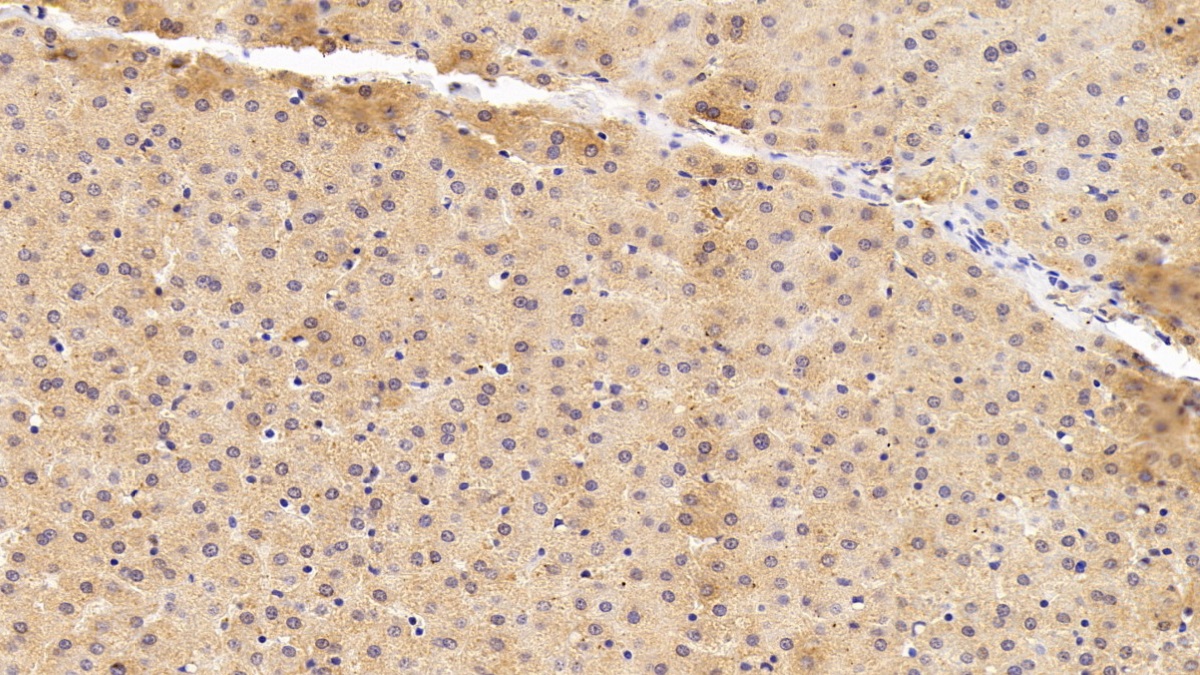
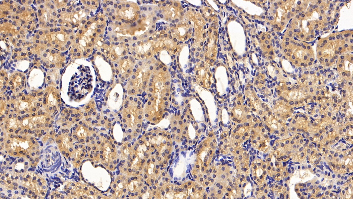
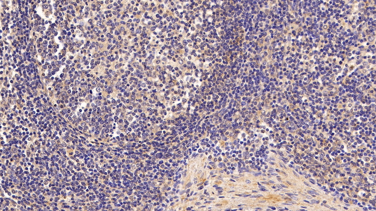
| Валидировано для | IHC WB Иммуногистохимия; Вестерн-блоттинг |
| Рекомендуемые разведения | WB: 0.01-5 мкг/мл; IHC: 5-20 мкг/мл; ICC: 5-20 мкг/мл; Оптимальное разведение определяется конечным потребителем |
| Метод очистки | Антигенспецифическая аффинная хроматография с последующей аффинной хроматографией с белком А |
| Состав буфера | 0.01M PBS, pH7.4, 0.05% Proclin-300, 50% глицерин |
| Условия доставки | термобокс с аккумуляторами холода |
| Условия хранения | Сразу после получения аликвотировать и хранить при -20ºС до 24 месяцев. Для частого использования хранить при +4ºС не более 2 недель. Избегать повторения циклов замерзания/оттаивания |
| Срок хранения | 24 месяца |
| Производитель | Cloud-Clone Corp. |
| Ссылка на страницу товара на сайте производителя | http://www.cloud-clone.com/products/PAA305Hu01.html |
|
Артикул
|
Наименование |
Производитель
|
|---|
|
Артикул
|
Наименование |
Производитель
|
|---|
|
Артикул
|
Наименование |
Производитель
|
|---|
|
Артикул
|
Наименование |
Производитель
|
|---|
Акции и предложения
Популярные продукты:
Anti-Channel Catfish IgM Antibody (R4E15) (RWJ93207)
Источник (хозяин): мышь
Реактивность подтвержденная: рыба
Валидировано для: ELISA, FCM, WB
Реактивность подтвержденная: рыба
Валидировано для: ELISA, FCM, WB
Sheep Complement Component 2 ELISA kit (E14C0359)
Организм: овца
Bovine Thyroxine Binding Globulin ELISA kit (E11T0095)
Организм: корова
Guinea Pig Thyroxine Binding Globulin ELISA kit (E05T0095)
Организм: морская свинка
Диапазон определения: 1-25 нг/мл
Чувствительность: 0.1 нг/мл
Диапазон определения: 1-25 нг/мл
Чувствительность: 0.1 нг/мл
Recombinant Human SFTPC Protein, N-GST (YHC90001)
Источник (хозяин): E.coli
Организм: человек
Фрагмент: Phe24-Ile197
Теги: N-GST
Биоактивность: нет
Организм: человек
Фрагмент: Phe24-Ile197
Теги: N-GST
Биоактивность: нет
HSV-1/HHV-1 gC ELISA Kit (KVV40901)
Организм: вирусы
Диапазон определения: 1.56 - 100 нг/мл
Чувствительность: 0.65 нг/мл
Диапазон определения: 1.56 - 100 нг/мл
Чувствительность: 0.65 нг/мл

