| UNIPROT | P61939 |
| Иммуноген | RPA305Mu01-Recombinant Thyroxine Binding Globulin (TBG) |
Polyclonal Antibody to Thyroxine Binding Globulin (TBG) (PAA305Mu01)
Реактивность подтвержденная:
мышь
Источник (хозяин):
кролик
Валидировано для:
IHC
WB
Характеристики
Техническое описание
| Русское название | PAA305Mu01 Поликлональное антитело к TBG (мышь) <Cloud-Clone,Китай> |
| Каталожный номер | PAA305Mu01 |
| Название антигена | Thyroxine Binding Globulin (TBG) |
| UNIPROT | P61939 |
| Иммуноген | RPA305Mu01-Recombinant Thyroxine Binding Globulin (TBG) |
| Английские синонимы | SERPINA7, Serpin Peptidase Inhibitor Clade A Member 7, T4-binding globulin |
Реактивность подтвержденная Нужна другая реактивность? |
мышь |
| Реактивность предсказываемая | человек, крыса |
| Источник (хозяин) | кролик |
| Клональность | поликлональное |
| Рекомбинантное | нет |
| Готовое к использованию | нет |
| Концентрация | 500 мкг/мл |
| Конъюгат | По запросу: HRP, biotin, PerCP, PE, Cy3, FITC, Cy7, Cy5.5, PE-Cy5, PE-Cy7, PerCp-Cy5.5, APC, Cy5, PE-Cy3, PE-Cy5.5, APC-Cy7, Biotin-APC, FITC-Biotin, TRITC, APC-Cy5, AF488, AF594, AF405, AF555, AF700, AF647, AF750 |
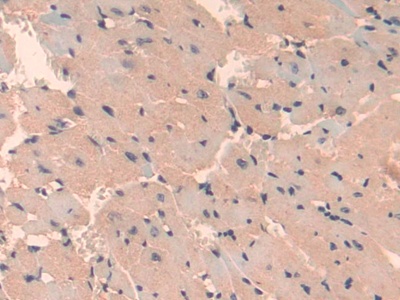
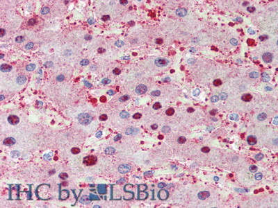
| Валидировано для | IHC WB Иммуногистохимия; Вестерн-блоттинг |
| Рекомендуемые разведения | WB: 0.5-2 мкг/мл; IHC: 5-20 мкг/мл; ICC: 5-20 мкг/мл; Оптимальное разведение определяется конечным потребителем |
| Метод очистки | Антигенспецифическая аффинная хроматография с последующей аффинной хроматографией с белком А |
| Состав буфера | 0.01M PBS, pH7.4, 0.05% Proclin-300, 50% глицерин |
| Условия доставки | термобокс с аккумуляторами холода |
| Условия хранения | Сразу после получения аликвотировать и хранить при -20ºС до 24 месяцев. Для частого использования хранить при +4ºС не более 2 недель. Избегать повторения циклов замерзания/оттаивания |
| Срок хранения | 24 месяца |
| Производитель | Cloud-Clone Corp. |
| Ссылка на страницу товара на сайте производителя | http://www.cloud-clone.com/products/PAA305Mu01.html |
|
Артикул
|
Наименование |
Производитель
|
|---|
|
Артикул
|
Наименование |
Производитель
|
|---|
|
Артикул
|
Наименование |
Производитель
|
|---|
|
Артикул
|
Наименование |
Производитель
|
|---|
Акции и предложения
Популярные продукты:
Anti-PRRSV NP/Nucleoprotein Antibody (Nb1) (RVV31201)
Источник (хозяин): мышь
Реактивность подтвержденная: вирусы
Валидировано для: ELISA
Реактивность подтвержденная: вирусы
Валидировано для: ELISA
Anti-Neisseria gonorrhoeae cppB Monoclonal Antibody (1A075) (MXX02502)
Источник (хозяин): мышь
Реактивность подтвержденная: бактерии
Валидировано для: ELISA, IHC, WB
Реактивность подтвержденная: бактерии
Валидировано для: ELISA, IHC, WB
Anti-Glycosaminoglycans/GAGs Antibody (SAA2198), APC (FGN53813)
Источник (хозяин): мышь
Валидировано для: ELISA, FCM
Валидировано для: ELISA, FCM
Biotin-Linked Polyclonal Antibody to Sirtuin 2 (SIRT2) (LAA430Ra71)
Источник (хозяин): кролик
Реактивность подтвержденная: крыса
Валидировано для: WB
Реактивность подтвержденная: крыса
Валидировано для: WB
Biotin-Linked Polyclonal Antibody to Sirtuin 1 (SIRT1) (LAE912Mu71)
Источник (хозяин): кролик
Реактивность подтвержденная: мышь
Валидировано для: WB
Реактивность подтвержденная: мышь
Валидировано для: WB
Biotin-Linked Polyclonal Antibody to Lysine Specific Demethylase 4C (KDM4C) (LAG809Hu71)
Источник (хозяин): кролик
Реактивность подтвержденная: человек
Валидировано для: IHC, WB
Реактивность подтвержденная: человек
Валидировано для: IHC, WB

