| UNIPROT | O14656 |
| Иммуноген | RPG631Hu01-Recombinant Torsin 1A (TOR1A) |
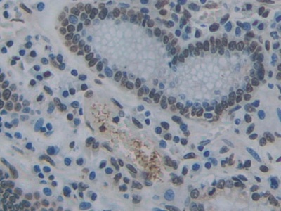
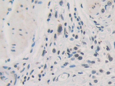
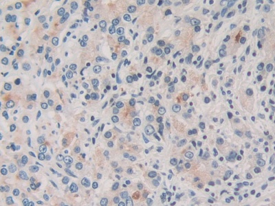
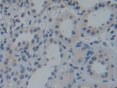
Polyclonal Antibody to Torsin 1A (TOR1A) (PAG631Hu01)
Реактивность подтвержденная:
человек
Источник (хозяин):
кролик
Валидировано для:
IHC
Характеристики
Техническое описание
| Русское название | PAG631Hu01 Поликлональное антитело к TOR1A (человек) <Cloud-Clone,Китай> |
| Каталожный номер | PAG631Hu01 |
| Название антигена | Torsin 1A (TOR1A) |
| UNIPROT | O14656 |
| Иммуноген | RPG631Hu01-Recombinant Torsin 1A (TOR1A) |
| Английские синонимы | DQ2, DYT1, TORA, Torsin A, Dystonia 1, Torsin ATPase-1A, Torsin family 1 member A |
Реактивность подтвержденная Нужна другая реактивность? |
человек |
| Источник (хозяин) | кролик |
| Клональность | поликлональное |
| Рекомбинантное | нет |
| Готовое к использованию | нет |
| Концентрация | 0.5 мг/мл |
| Конъюгат | По запросу: HRP, biotin, PerCP, PE, Cy3, FITC, Cy7, Cy5.5, PE-Cy5, PE-Cy7, PerCp-Cy5.5, APC, Cy5, PE-Cy3, PE-Cy5.5, APC-Cy7, Biotin-APC, FITC-Biotin, TRITC, APC-Cy5, AF488, AF594, AF405, AF555, AF700, AF647, AF750 |
| Валидировано для | IHC Иммуногистохимия |
| Рекомендуемые разведения | WB: 0.01-2 мкг/мл; IHC: 5-20 мкг/мл; ICC: 5-20 мкг/мл; Оптимальное разведение определяется конечным потребителем |
| Метод очистки | Антигенспецифическая аффинная хроматография с последующей аффинной хроматографией с белком А |
| Состав буфера | PBS, pH7.4, 0.02% NaN3, 50% глицерин |
| Условия доставки | термобокс с аккумуляторами холода |
| Условия хранения | Сразу после получения аликвотировать и хранить при -20ºС до 24 месяцев. Для частого использования хранить при +4ºС не более 2 недель. Избегать повторения циклов замерзания/оттаивания |
| Срок хранения | 24 месяца |
| Производитель | Cloud-Clone Corp. |
| Ссылка на страницу товара на сайте производителя | http://www.cloud-clone.com/products/PAG631Hu01.html |
|
Артикул
|
Наименование |
Производитель
|
|---|
|
Артикул
|
Наименование |
Производитель
|
|---|
|
Артикул
|
Наименование |
Производитель
|
|---|
Акции и предложения
Популярные продукты:
Recombinant Cluster Of Differentiation 109 (CD109) (RPB458Ra01)
Источник (хозяин): E.coli
Организм: крыса
Фрагмент: Ile719-Arg965
Теги: N-концевой His-Tag
Биоактивность: нет
Организм: крыса
Фрагмент: Ile719-Arg965
Теги: N-концевой His-Tag
Биоактивность: нет
RHOF Mouse Monoclonal Antibody (BF8105)
Источник (хозяин): мышь
Реактивность подтвержденная: человек, мышь, крыса
Валидировано для: WB
Реактивность подтвержденная: человек, мышь, крыса
Валидировано для: WB
Anti-Human EPHA2 Antibody (SHM16) (FHD82420)
Источник (хозяин): мышь
Реактивность подтвержденная: человек
Валидировано для: ELISA, FCM
Реактивность подтвержденная: человек
Валидировано для: ELISA, FCM
Anti-Human CD3 Antibody (R4D86) (RHC27705)
Источник (хозяин): кролик
Реактивность подтвержденная: человек
Валидировано для: IHC
Реактивность подтвержденная: человек
Валидировано для: IHC
Anti-6*His Tag (HHHHHH) Antibody (SAb2346) (RGK07908)
Источник (хозяин): человек
Реактивность подтвержденная: для всех
Валидировано для: ELISA, WB
Реактивность подтвержденная: для всех
Валидировано для: ELISA, WB
ELISA Kit DIY Materials for Interferon Beta (IFNb) (KSA222Ca01)
Организм: собака
Диапазон определения: 15.6-1000 пг/мл
Чувствительность: 6.0 пг/мл
Диапазон определения: 15.6-1000 пг/мл
Чувствительность: 6.0 пг/мл

