| UNIPROT | Q9ER39 |
| Иммуноген | RPG631Mu01-Recombinant Torsin 1A (TOR1A) |
Polyclonal Antibody to Torsin 1A (TOR1A) (PAG631Mu01)
Реактивность подтвержденная:
мышь
Источник (хозяин):
кролик
Валидировано для:
IHC
Характеристики
Техническое описание
| Русское название | PAG631Mu01 Поликлональное антитело к TOR1A (мышь) <Cloud-Clone,Китай> |
| Каталожный номер | PAG631Mu01 |
| Название антигена | Torsin 1A (TOR1A) |
| UNIPROT | Q9ER39 |
| Иммуноген | RPG631Mu01-Recombinant Torsin 1A (TOR1A) |
| Английские синонимы | DQ2, DYT1, TORA, Torsin A, Dystonia 1, Torsin ATPase-1A, Torsin family 1 member A |
Реактивность подтвержденная Нужна другая реактивность? |
мышь |
| Источник (хозяин) | кролик |
| Клональность | поликлональное |
| Рекомбинантное | нет |
| Готовое к использованию | нет |
| Концентрация | 0.35 мг/мл |
| Конъюгат | По запросу: HRP, biotin, PerCP, PE, Cy3, FITC, Cy7, Cy5.5, PE-Cy5, PE-Cy7, PerCp-Cy5.5, APC, Cy5, PE-Cy3, PE-Cy5.5, APC-Cy7, Biotin-APC, FITC-Biotin, TRITC, APC-Cy5, AF488, AF594, AF405, AF555, AF700, AF647, AF750 |
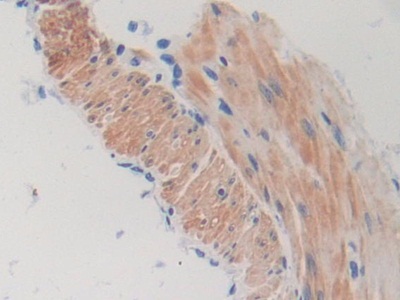
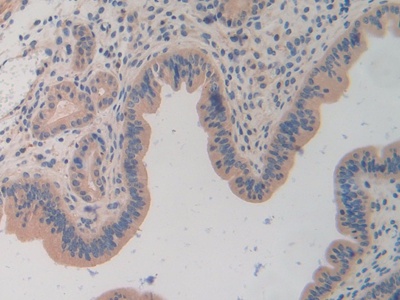
| Валидировано для | IHC Иммуногистохимия |
| Рекомендуемые разведения | WB: 0.5-2 мкг/мл; 1:170-700; IHC: 5-20 мкг/мл; 1:17-70; ICC: 5-20 мкг/мл; 1:17-70; Оптимальное разведение определяется конечным потребителем |
| Метод очистки | Антигенспецифическая аффинная хроматография с последующей аффинной хроматографией с белком А |
| Состав буфера | PBS, pH7.4, 0.02% NaN3, 50% глицерин |
| Условия доставки | термобокс с аккумуляторами холода |
| Условия хранения | Сразу после получения аликвотировать и хранить при -20ºС до 24 месяцев. Для частого использования хранить при +4ºС не более 2 недель. Избегать повторения циклов замерзания/оттаивания |
| Срок хранения | 24 месяца |
| Производитель | Cloud-Clone Corp. |
| Ссылка на страницу товара на сайте производителя | http://www.cloud-clone.com/products/PAG631Mu01.html |
|
Артикул
|
Наименование |
Производитель
|
|---|
|
Артикул
|
Наименование |
Производитель
|
|---|
Акции и предложения
Популярные продукты:
ASUN Mouse Monoclonal Antibody (BF9533)
Источник (хозяин): мышь
Реактивность подтвержденная: человек
Валидировано для: WB
Реактивность подтвержденная: человек
Валидировано для: WB
Anti-HIV-1 Envelope glycoprotein gp160 Antibody (SAb2345) (RVV03106)
Источник (хозяин): мышь
Реактивность подтвержденная: вирусы
Валидировано для: ELISA, FCM, IF, WB
Реактивность подтвержденная: вирусы
Валидировано для: ELISA, FCM, IF, WB
Anti-Serpin B3 (SERPINB3) Monoclonal Antibody (FAB372Hu02)
Источник (хозяин): мышь
Реактивность подтвержденная: человек
Валидировано для: FCM
Реактивность подтвержденная: человек
Валидировано для: FCM
Guinea Pig RAD52 motif containing protein 1(RDM1) ELISA kit (E05R0400)
Организм: морская свинка
Guinea Pig Nicotinamide N methyltransferase(NNMT) ELISA kit (E05N0553)
Организм: морская свинка

