| UNIPROT | Q9UP52 |
| Иммуноген | RPA262Hu01-Recombinant Transferrin Receptor 2 (TFR2) |
Polyclonal Antibody to Transferrin Receptor 2 (TFR2) (PAA262Hu01)
Реактивность подтвержденная:
человек
Источник (хозяин):
кролик
Валидировано для:
IHC
WB
Характеристики
Техническое описание
| Русское название | PAA262Hu01 Поликлональное антитело к TFR2 (человек) <Cloud-Clone,Китай> |
| Каталожный номер | PAA262Hu01 |
| Название антигена | Transferrin Receptor 2 (TFR2) |
| UNIPROT | Q9UP52 |
| Иммуноген | RPA262Hu01-Recombinant Transferrin Receptor 2 (TFR2) |
| Английские синонимы | HFE3, TFRC2 |
Реактивность подтвержденная Нужна другая реактивность? |
человек |
| Реактивность предсказываемая | мышь |
| Источник (хозяин) | кролик |
| Клональность | поликлональное |
| Рекомбинантное | нет |
| Готовое к использованию | нет |
| Концентрация | 500 мкг/мл |
| Конъюгат | По запросу: HRP, biotin, PerCP, PE, Cy3, FITC, Cy7, Cy5.5, PE-Cy5, PE-Cy7, PerCp-Cy5.5, APC, Cy5, PE-Cy3, PE-Cy5.5, APC-Cy7, Biotin-APC, FITC-Biotin, TRITC, APC-Cy5, AF488, AF594, AF405, AF555, AF700, AF647, AF750 |
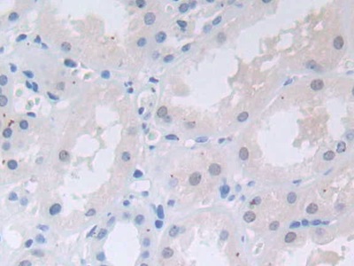
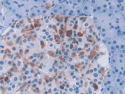
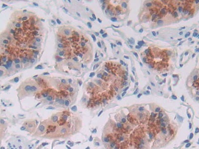
| Валидировано для | IHC WB Иммуногистохимия; Вестерн-блоттинг |
| Рекомендуемые разведения | WB: 0.5-5 мкг/мл; IHC: 5-20 мкг/мл; ICC: 5-20 мкг/мл; Оптимальное разведение определяется конечным потребителем |
| Метод очистки | Антигенспецифическая аффинная хроматография с последующей аффинной хроматографией с белком А |
| Состав буфера | PBS, pH7.4, 0.02% NaN3, 50% глицерин |
| Условия доставки | термобокс с аккумуляторами холода |
| Условия хранения | Сразу после получения аликвотировать и хранить при -20ºС до 24 месяцев. Для частого использования хранить при +4ºС не более 2 недель. Избегать повторения циклов замерзания/оттаивания |
| Срок хранения | 24 месяца |
| Производитель | Cloud-Clone Corp. |
| Ссылка на страницу товара на сайте производителя | http://www.cloud-clone.com/products/PAA262Hu01.html |
|
Артикул
|
Наименование |
Производитель
|
|---|
|
Артикул
|
Наименование |
Производитель
|
|---|
|
Артикул
|
Наименование |
Производитель
|
|---|
|
Артикул
|
Наименование |
Производитель
|
|---|
|
Артикул
|
Наименование |
Производитель
|
|---|
|
Артикул
|
Наименование |
Производитель
|
|---|
|
Артикул
|
Наименование |
Производитель
|
|---|
Акции и предложения
Популярные продукты:
Monkey Cystatin 11(CST11) ELISA kit (E09C2120)
Организм: обезьяна
Chicken Orexin A ELISA kit (E12O0321)
Организм: курица
Goat Orexin A ELISA kit (E06O0321)
Организм: коза
Placental Alkaline Phosphatase Recombinant Rabbit mAb (ARM2864)
Источник (хозяин): кролик
Реактивность подтвержденная: человек
Валидировано для: IHC, WB, IF, ICC
Реактивность подтвержденная: человек
Валидировано для: IHC, WB, IF, ICC
ELISA Kit for Pyruvate Dehydrogenase Kinase Isozyme 3 (PDK3) (SED463Hu)
Организм: человек
Диапазон определения: 0.78-50 нг/мл
Чувствительность: 0.057 нг/мл
Диапазон определения: 0.78-50 нг/мл
Чувствительность: 0.057 нг/мл
Canine Caskin 1(CASKIN1) ELISA kit (E08C1389)
Организм: собака

