| UNIPROT | P02787 |
| Иммуноген | RPC036Hu01-Recombinant Transferrin (TF) |
Polyclonal Antibody to Transferrin (TF) (PAC036Hu01)
Реактивность подтвержденная:
человек
Источник (хозяин):
кролик
Валидировано для:
IHC
WB
Характеристики
Техническое описание
| Русское название | PAC036Hu01 Поликлональное антитело к трансферрину (человек) <Cloud-Clone,Китай> |
| Каталожный номер | PAC036Hu01 |
| Название антигена | Transferrin (TRF) |
| UNIPROT | P02787 |
| Иммуноген | RPC036Hu01-Recombinant Transferrin (TF) |
| Английские синонимы | TF, Siderophilin, Serotransferrin, Beta-1 metal-binding globulin |
Реактивность подтвержденная Нужна другая реактивность? |
человек |
| Реактивность предсказываемая | свинья |
| Источник (хозяин) | кролик |
| Клональность | поликлональное |
| Рекомбинантное | нет |
| Готовое к использованию | нет |
| Концентрация | 0.5 мг/мл |
| Конъюгат | По запросу: HRP, biotin, PerCP, PE, Cy3, FITC, Cy7, Cy5.5, PE-Cy5, PE-Cy7, PerCp-Cy5.5, APC, Cy5, PE-Cy3, PE-Cy5.5, APC-Cy7, Biotin-APC, FITC-Biotin, TRITC, APC-Cy5, AF488, AF594, AF405, AF555, AF700, AF647, AF750 |
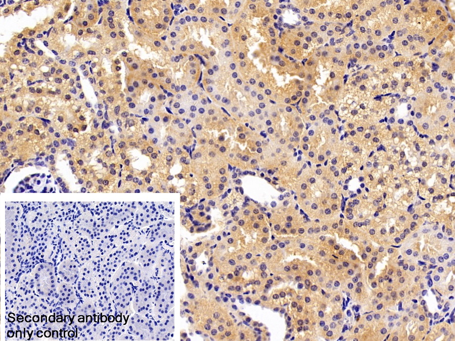
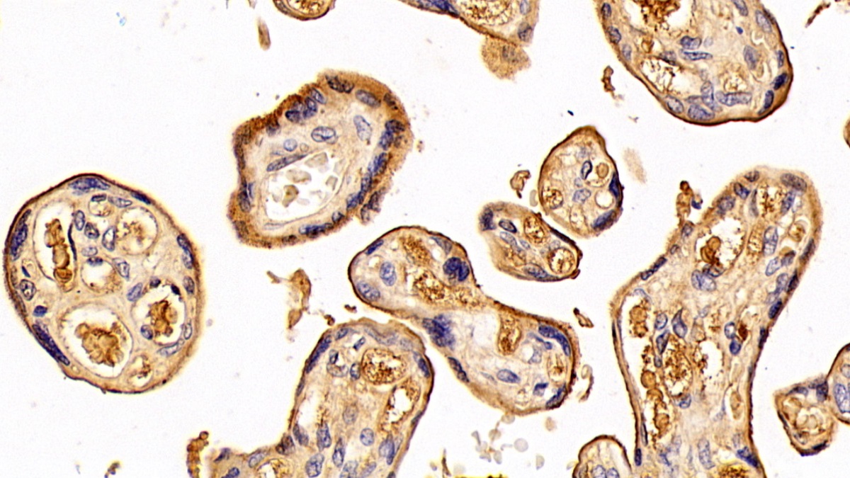
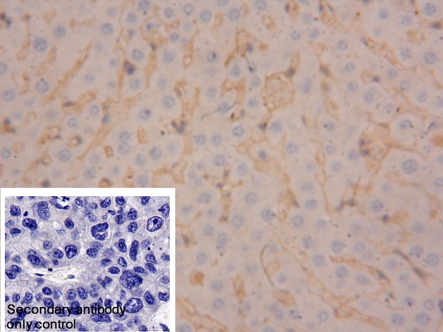
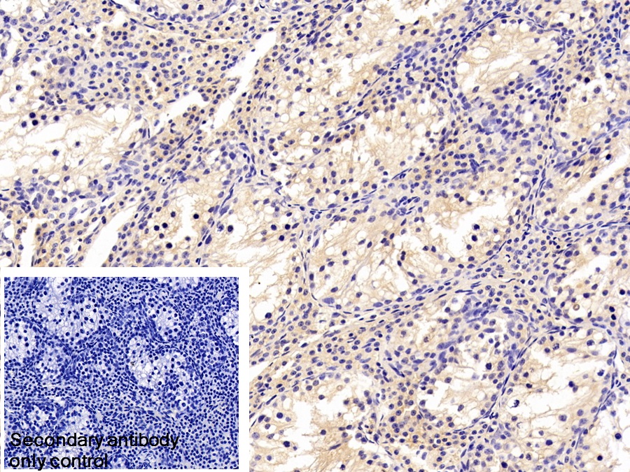
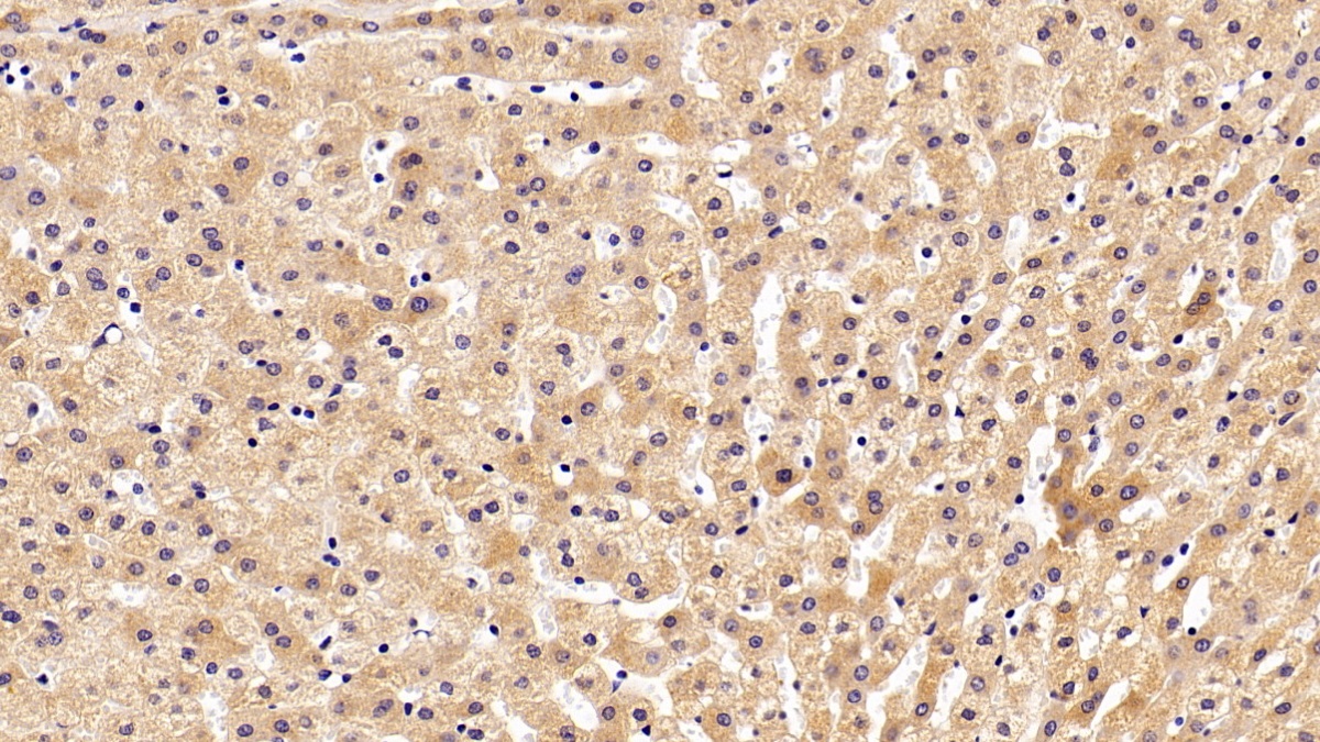
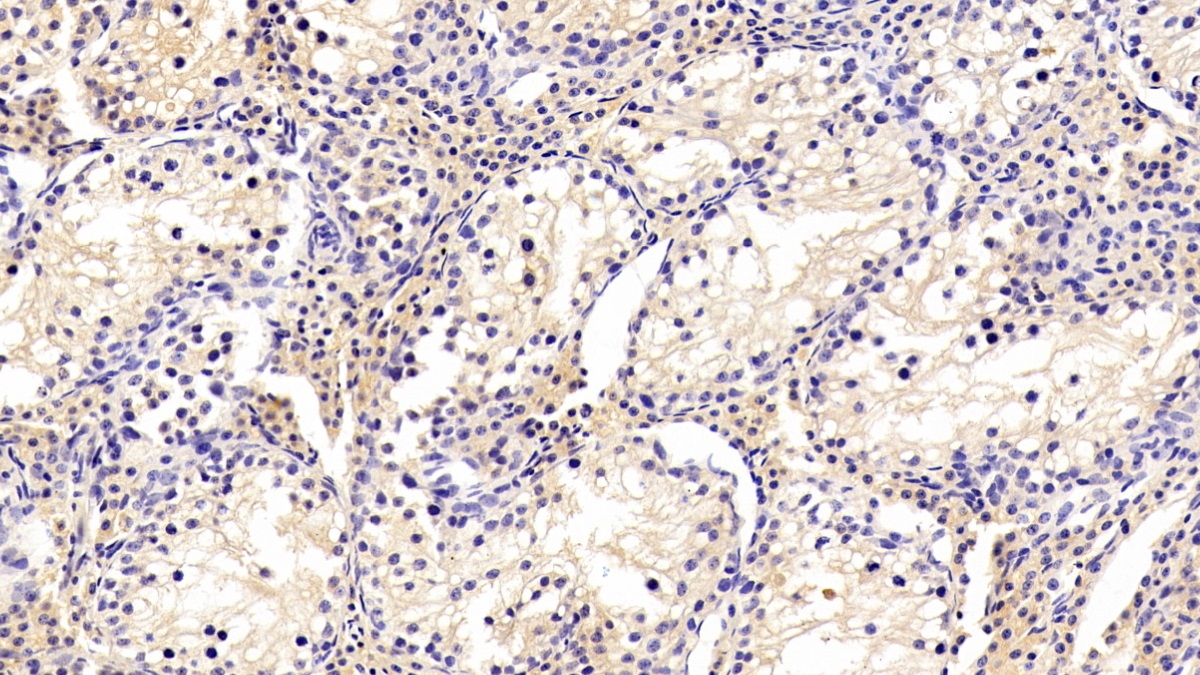
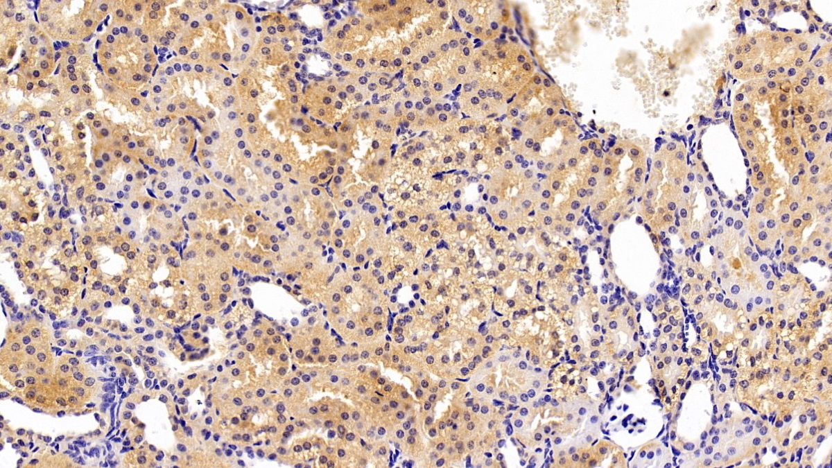
| Валидировано для | IHC WB Иммуногистохимия; Вестерн-блоттинг |
| Рекомендуемые разведения | WB: 0.01-2 мкг/мл; IHC: 5-20 мкг/мл; ICC: 5-20 мкг/мл; Оптимальное разведение определяется конечным потребителем |
| Метод очистки | Антигенспецифическая аффинная хроматография с последующей аффинной хроматографией с белком А |
| Состав буфера | PBS, pH7.4, 0.02% NaN3, 50% глицерин |
| Условия доставки | термобокс с аккумуляторами холода |
| Условия хранения | Сразу после получения аликвотировать и хранить при -20ºС до 24 месяцев. Для частого использования хранить при +4ºС не более 2 недель. Избегать повторения циклов замерзания/оттаивания |
| Срок хранения | 24 месяца |
| Производитель | Cloud-Clone Corp. |
| Ссылка на страницу товара на сайте производителя | http://www.cloud-clone.com/products/PAC036Hu01.html |
|
Артикул
|
Наименование |
Производитель
|
|---|
|
Артикул
|
Наименование |
Производитель
|
|---|
|
Артикул
|
Наименование |
Производитель
|
|---|
|
Артикул
|
Наименование |
Производитель
|
|---|
|
Артикул
|
Наименование |
Производитель
|
|---|
|
Артикул
|
Наименование |
Производитель
|
|---|
|
Артикул
|
Наименование |
Производитель
|
|---|
|
Артикул
|
Наименование |
Производитель
|
|---|
|
Артикул
|
Наименование |
Производитель
|
|---|
|
Артикул
|
Наименование |
Производитель
|
|---|
|
Артикул
|
Наименование |
Производитель
|
|---|
|
Артикул
|
Наименование |
Производитель
|
|---|
Акции и предложения
Популярные продукты:
Anti-HPV33 Major capsid protein L1 Antibody (5D4) (RVV19503)
Источник (хозяин): мышь
Реактивность подтвержденная: вирусы
Валидировано для: ELISA, NEUT
Реактивность подтвержденная: вирусы
Валидировано для: ELISA, NEUT
ELISA Kit DIY Materials for Myoglobin (MYO) (KSA480Bo01)
Организм: корова
Диапазон определения: 0.312-20 нг/мл
Чувствительность: 0.116 нг/мл
Диапазон определения: 0.312-20 нг/мл
Чувствительность: 0.116 нг/мл
ELISA Kit DIY Materials for Specificity Protein 1 (Sp1) (KSM264Hu01)
Организм: человек
Диапазон определения: 0.156-10 нг/мл
Чувствительность: 0.064 нг/мл
Диапазон определения: 0.156-10 нг/мл
Чувствительность: 0.064 нг/мл
Polyclonal Antibody to Hemagglutinin (HA) (PAX160Ge01)
Источник (хозяин): кролик
Реактивность подтвержденная: для всех
Валидировано для: ICC, IHC, WB
Реактивность подтвержденная: для всех
Валидировано для: ICC, IHC, WB
ELISA Kit for Myeloid/Lymphoid Or Mixed Lineage Leukemia 2 (MLL2) (SEL737Hu)
Организм: человек
Диапазон определения: 0.156-10 нг/мл
Чувствительность: 0.055 нг/мл
Диапазон определения: 0.156-10 нг/мл
Чувствительность: 0.055 нг/мл
Rat DNA mismatch repair protein Msh3 ELISA kit (E02M1070)
Организм: крыса

