| UNIPROT | Q921I1 |
| Иммуноген | RPC036Mu01-Recombinant Transferrin (TF) |
Polyclonal Antibody to Transferrin (TF) (PAC036Mu01)
Реактивность подтвержденная:
мышь
Источник (хозяин):
кролик
Валидировано для:
IHC
WB
Характеристики
Техническое описание
| Русское название | PAC036Mu01 Поликлональное антитело к трансферрину (мышь) <Cloud-Clone,Китай> |
| Каталожный номер | PAC036Mu01 |
| Название антигена | Transferrin (TRF) |
| UNIPROT | Q921I1 |
| Иммуноген | RPC036Mu01-Recombinant Transferrin (TF) |
| Английские синонимы | TF, Siderophilin, Serotransferrin, Beta-1 metal-binding globulin |
Реактивность подтвержденная Нужна другая реактивность? |
мышь |
| Реактивность предсказываемая | хомяк |
| Источник (хозяин) | кролик |
| Клональность | поликлональное |
| Рекомбинантное | нет |
| Готовое к использованию | нет |
| Концентрация | 0.5 мг/мл |
| Конъюгат | По запросу: HRP, biotin, PerCP, PE, Cy3, FITC, Cy7, Cy5.5, PE-Cy5, PE-Cy7, PerCp-Cy5.5, APC, Cy5, PE-Cy3, PE-Cy5.5, APC-Cy7, Biotin-APC, FITC-Biotin, TRITC, APC-Cy5, AF488, AF594, AF405, AF555, AF700, AF647, AF750 |
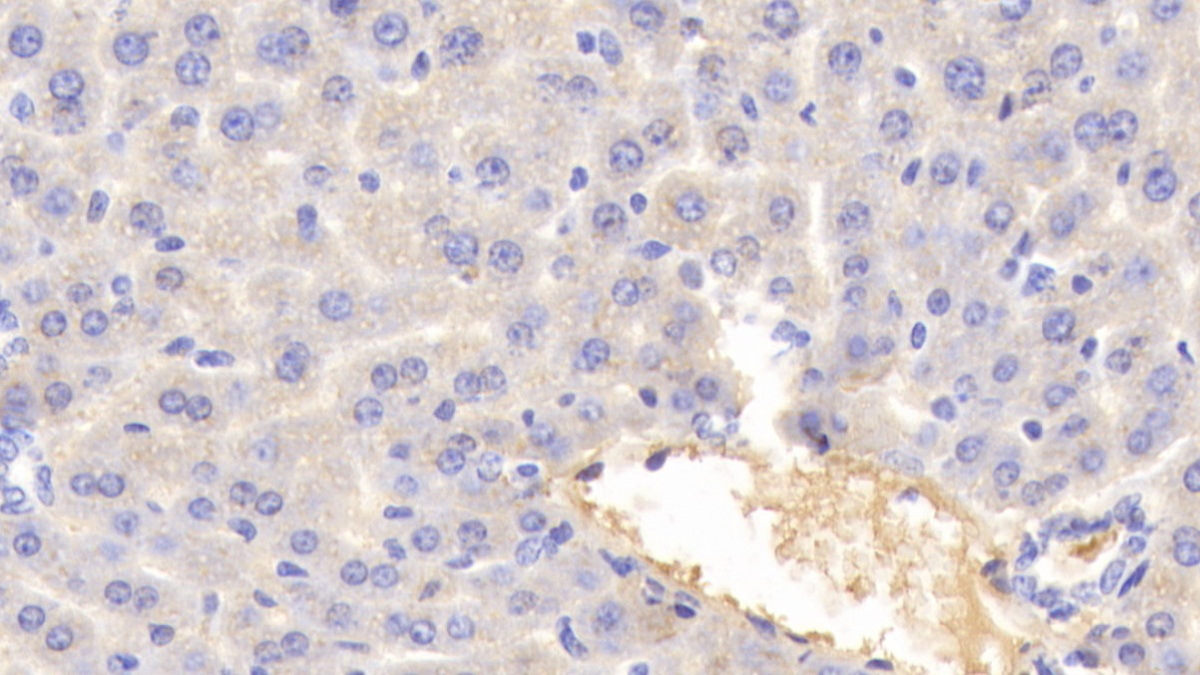
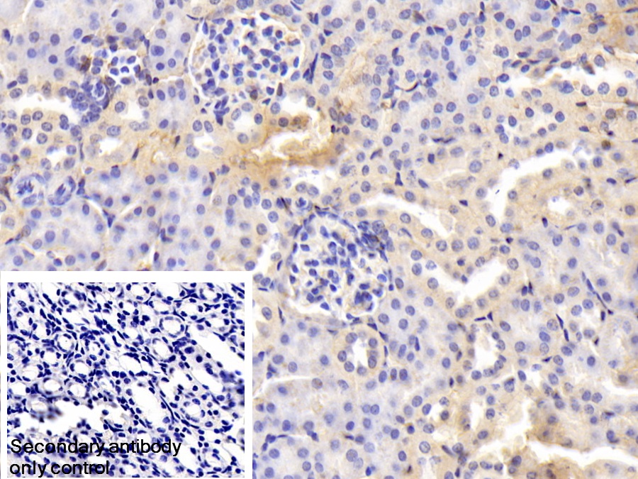
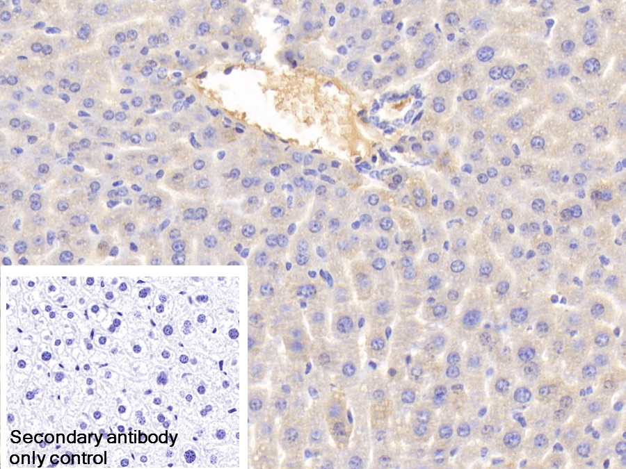
| Валидировано для | IHC WB Иммуногистохимия; Вестерн-блоттинг |
| Рекомендуемые разведения | WB: 0.2-2 мкг/мл; IHC: 5-20 мкг/мл; ICC: 5-20 мкг/мл; Оптимальное разведение определяется конечным потребителем |
| Метод очистки | Антигенспецифическая аффинная хроматография с последующей аффинной хроматографией с белком А |
| Состав буфера | PBS, pH7.4, 0.02% NaN3, 50% глицерин |
| Условия доставки | термобокс с аккумуляторами холода |
| Условия хранения | Сразу после получения аликвотировать и хранить при -20ºС до 24 месяцев. Для частого использования хранить при +4ºС не более 2 недель. Избегать повторения циклов замерзания/оттаивания |
| Срок хранения | 24 месяца |
| Производитель | Cloud-Clone Corp. |
| Ссылка на страницу товара на сайте производителя | http://www.cloud-clone.com/products/PAC036Mu01.html |
|
Артикул
|
Наименование |
Производитель
|
|---|
|
Артикул
|
Наименование |
Производитель
|
|---|
|
Артикул
|
Наименование |
Производитель
|
|---|
|
Артикул
|
Наименование |
Производитель
|
|---|
|
Артикул
|
Наименование |
Производитель
|
|---|
|
Артикул
|
Наименование |
Производитель
|
|---|
|
Артикул
|
Наименование |
Производитель
|
|---|
|
Артикул
|
Наименование |
Производитель
|
|---|
|
Артикул
|
Наименование |
Производитель
|
|---|
|
Артикул
|
Наименование |
Производитель
|
|---|
|
Артикул
|
Наименование |
Производитель
|
|---|
|
Артикул
|
Наименование |
Производитель
|
|---|
Акции и предложения
Популярные продукты:
Sheep N acetylneuraminate lyase(NPL) ELISA kit (E14N0555)
Организм: овца
Rat Alcohol dehydrogenase 6(ADH6) ELISA kit (E02A1270)
Организм: крыса
Rat CC Chemokine Receptor 2,CCR2 ELISA kit (E02C1454)
Организм: крыса
Bovine Procollagen Type I C Terminal Propeptide ELISA kit (E11P0015)
Организм: корова
Диапазон определения: 50-1000 нг/мл
Чувствительность: 1 нг/мл
Диапазон определения: 50-1000 нг/мл
Чувствительность: 1 нг/мл
Recombinant Human BRCA1 Protein (His Tag) (PDEH100689)
Источник (хозяин): E.coli
Организм: человек
Фрагмент: Ser1610-Tyr1863
Теги: N-His
Биоактивность: нет
Организм: человек
Фрагмент: Ser1610-Tyr1863
Теги: N-His
Биоактивность: нет
Recombinant Human CCD5L Protein (His Tag) (PKSH031429)
Источник (хозяин): HEK293
Организм: человек
Фрагмент: Met 1-Gly 347
Теги: C-His
Биоактивность: нет
Организм: человек
Фрагмент: Met 1-Gly 347
Теги: C-His
Биоактивность: нет

