| UNIPROT | Q62737 |
| Иммуноген | RPB049Ra01-Recombinant Trefoil Factor 1 (TFF1) |
Polyclonal Antibody to Trefoil Factor 1 (TFF1) (PAB049Ra01)
Реактивность подтвержденная:
крыса
Источник (хозяин):
кролик
Валидировано для:
IHC
WB
Характеристики
Техническое описание
| Русское название | PAB049Ra01 Поликлональное антитело к TFF1 (крыса) <Cloud-Clone,Китай> |
| Каталожный номер | PAB049Ra01 |
| Название антигена | Trefoil Factor 1 (TFF1) |
| UNIPROT | Q62737 |
| Иммуноген | RPB049Ra01-Recombinant Trefoil Factor 1 (TFF1) |
| Английские синонимы | BCEI, HP1.A, HPS2, PS2, PNR2, Breast Cancer,Estrogen-Inducible Sequence Expressed In, Breast cancer estrogen-inducible protein, Polypeptide P1.A |
Реактивность подтвержденная Нужна другая реактивность? |
крыса |
| Источник (хозяин) | кролик |
| Клональность | поликлональное |
| Рекомбинантное | нет |
| Готовое к использованию | нет |
| Концентрация | 500 мкг/мл |
| Конъюгат | По запросу: HRP, biotin, PerCP, PE, Cy3, FITC, Cy7, Cy5.5, PE-Cy5, PE-Cy7, PerCp-Cy5.5, APC, Cy5, PE-Cy3, PE-Cy5.5, APC-Cy7, Biotin-APC, FITC-Biotin, TRITC, APC-Cy5, AF488, AF594, AF405, AF555, AF700, AF647, AF750 |
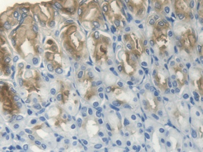
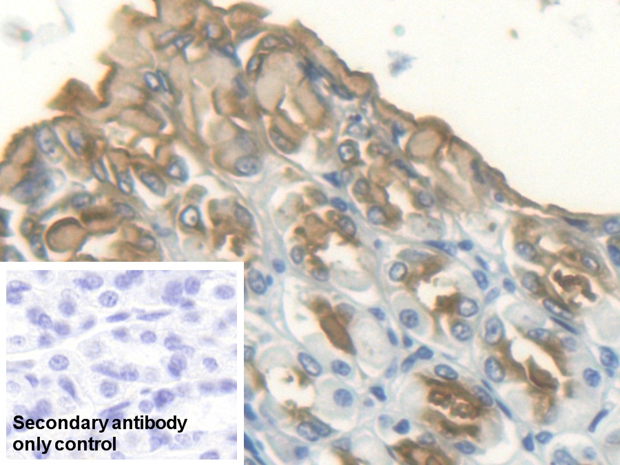
| Валидировано для | IHC WB Иммуногистохимия; Вестерн-блоттинг |
| Рекомендуемые разведения | WB: 0.5-2 мкг/мл; ICC (фиксация формалином): 5-20 мкг/мл; IHC (замороженные срезы): 5-20 мкг/мл; IHC (парафиновые срезы): 5-20 мкг/мл; ELISA: 0.05-2 мкг/мл; Оптимальное разведение определяется конечным потребителем |
| Метод очистки | Антигенспецифическая аффинная хроматография с последующей аффинной хроматографией с белком А |
| Состав буфера | 0.01M PBS, pH7.4, 0.05% Proclin-300, 50% глицерин |
| Условия доставки | термобокс с аккумуляторами холода |
| Условия хранения | Сразу после получения аликвотировать и хранить при -20ºС до 24 месяцев. Для частого использования хранить при +4ºС не более 2 недель. Избегать повторения циклов замерзания/оттаивания |
| Срок хранения | 24 месяца |
| Производитель | Cloud-Clone Corp. |
| Ссылка на страницу товара на сайте производителя | http://www.cloud-clone.com/products/PAB049Ra01.html |
|
Артикул
|
Наименование |
Производитель
|
|---|
|
Артикул
|
Наименование |
Производитель
|
|---|
|
Артикул
|
Наименование |
Производитель
|
|---|
|
Артикул
|
Наименование |
Производитель
|
|---|
|
Артикул
|
Наименование |
Производитель
|
|---|
|
Артикул
|
Наименование |
Производитель
|
|---|
Акции и предложения
Популярные продукты:
ELISA Kit DIY Materials for Trefoil Factor 1 (TFF1) (KSB049Hu01)
Организм: человек
Диапазон определения: 0.156-10 нг/мл
Чувствительность: 0.056 нг/мл
Диапазон определения: 0.156-10 нг/мл
Чувствительность: 0.056 нг/мл
Polyclonal Antibody to Interleukin 6 (IL6) (PAA079Hu02)
Источник (хозяин): кролик
Реактивность подтвержденная: человек
Валидировано для: WB
Реактивность подтвержденная: человек
Валидировано для: WB
ELISA Kit for Thromboxane A2 (TXA2) (CEB396Ge)
Организм: для всех
Диапазон определения: 12.35-1,000 пг/мл
Чувствительность: 1.15 нг/мл
Диапазон определения: 12.35-1,000 пг/мл
Чувствительность: 1.15 нг/мл
Guinea Pig Argininosuccinate lyase(ASL) ELISA kit (E05A1722)
Организм: морская свинка
Sheep Secreted phosphoprotein 24(SPP2) ELISA kit (E14S0398)
Организм: овца
Bovine Cytochrome P450 3A5(CYP3A5) ELISA kit (E11C2249)
Организм: корова

