| UNIPROT | Q09030 |
| Иммуноген | RPA748Ra01-Recombinant Trefoil Factor 2 (TFF2) |
Polyclonal Antibody to Trefoil Factor 2 (TFF2) (PAA748Ra01)
Реактивность подтвержденная:
крыса
Источник (хозяин):
кролик
Валидировано для:
IHC
WB
Характеристики
Техническое описание
| Русское название | PAA748Ra01 Поликлональное антитело к TFF2 (крыса) <Cloud-Clone,Китай> |
| Каталожный номер | PAA748Ra01 |
| Название антигена | Trefoil Factor 2 (TFF2) |
| UNIPROT | Q09030 |
| Иммуноген | RPA748Ra01-Recombinant Trefoil Factor 2 (TFF2) |
| Английские синонимы | SML1, SP, Spasmolytic Protein 1, Spasmolysin, Spasmolytic polypeptide |
Реактивность подтвержденная Нужна другая реактивность? |
крыса |
| Реактивность предсказываемая | человек, мышь |
| Источник (хозяин) | кролик |
| Клональность | поликлональное |
| Рекомбинантное | нет |
| Готовое к использованию | нет |
| Концентрация | 0.5 мг/мл |
| Конъюгат | По запросу: HRP, biotin, PerCP, PE, Cy3, FITC, Cy7, Cy5.5, PE-Cy5, PE-Cy7, PerCp-Cy5.5, APC, Cy5, PE-Cy3, PE-Cy5.5, APC-Cy7, Biotin-APC, FITC-Biotin, TRITC, APC-Cy5, AF488, AF594, AF405, AF555, AF700, AF647, AF750 |
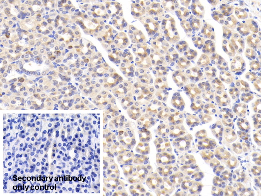
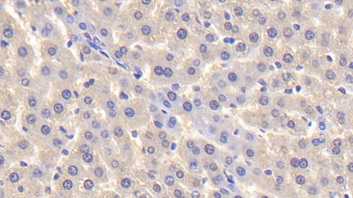
| Валидировано для | IHC WB Иммуногистохимия; Вестерн-блоттинг |
| Рекомендуемые разведения | WB: 0.2-2 мкг/мл; 1:250-2500; IHC: 5-20 мкг/мл; 1:25-100; ICC: 5-20 мкг/мл; 1:25-100; Оптимальное разведение определяется конечным потребителем |
| Метод очистки | Антигенспецифическая аффинная хроматография с последующей аффинной хроматографией с белком А |
| Состав буфера | 0.01M PBS, pH7.4, 0.05% Proclin-300, 50% глицерин |
| Условия доставки | термобокс с аккумуляторами холода |
| Условия хранения | Сразу после получения аликвотировать и хранить при -20ºС до 24 месяцев. Для частого использования хранить при +4ºС не более 2 недель. Избегать повторения циклов замерзания/оттаивания |
| Срок хранения | 24 месяца |
| Производитель | Cloud-Clone Corp. |
| Ссылка на страницу товара на сайте производителя | http://www.cloud-clone.com/products/PAA748Ra01.html |
|
Артикул
|
Наименование |
Производитель
|
|---|
|
Артикул
|
Наименование |
Производитель
|
|---|
|
Артикул
|
Наименование |
Производитель
|
|---|
|
Артикул
|
Наименование |
Производитель
|
|---|
|
Артикул
|
Наименование |
Производитель
|
|---|
Акции и предложения
Популярные продукты:
ELISA Kit for Solute Carrier Family 7, Member 11 (SLC7A11) (SEE410Hu)
Организм: человек
Диапазон определения: 0.156-10 нг/мл
Чувствительность: 0.057 нг/мл
Диапазон определения: 0.156-10 нг/мл
Чувствительность: 0.057 нг/мл
Porcine Endoplasmic reticulum aminopeptidase 1 ELISA kit (E07E0515)
Организм: свинья
Chicken Teratocarcinoma Derived Growth Factor 1 ELISA kit (E12T0106)
Организм: курица
Canine Teratocarcinoma Derived Growth Factor 1 ELISA kit (E08T0106)
Организм: собака
Rabbit Teratocarcinoma Derived Growth Factor 1 ELISA kit (E04T0106)
Организм: кролик

