| UNIPROT | Q07654 |
| Иммуноген | RPB656Hu01-Recombinant Trefoil Factor 3 (TFF3) |
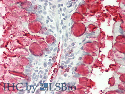
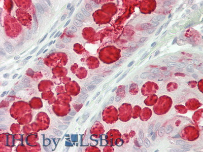
Polyclonal Antibody to Trefoil Factor 3 (TFF3) (PAB656Hu01)
Реактивность подтвержденная:
человек
Источник (хозяин):
кролик
Валидировано для:
IHC
Характеристики
Техническое описание
| Русское название | PAB656Hu01 Поликлональное антитело к TFF3 (человек) <Cloud-Clone,Китай> |
| Каталожный номер | PAB656Hu01 |
| Название антигена | Trefoil Factor 3, Intestinal (TFF3) |
| UNIPROT | Q07654 |
| Иммуноген | RPB656Hu01-Recombinant Trefoil Factor 3 (TFF3) |
| Английские синонимы | HITF, ITF3, TFI, HP1.B |
Реактивность подтвержденная Нужна другая реактивность? |
человек |
| Источник (хозяин) | кролик |
| Клональность | поликлональное |
| Рекомбинантное | нет |
| Готовое к использованию | нет |
| Концентрация | 0.72 мг/мл |
| Конъюгат | По запросу: HRP, biotin, PerCP, PE, Cy3, FITC, Cy7, Cy5.5, PE-Cy5, PE-Cy7, PerCp-Cy5.5, APC, Cy5, PE-Cy3, PE-Cy5.5, APC-Cy7, Biotin-APC, FITC-Biotin, TRITC, APC-Cy5, AF488, AF594, AF405, AF555, AF700, AF647, AF750 |
| Валидировано для | IHC Иммуногистохимия |
| Рекомендуемые разведения | WB: 0.5-2 мкг/мл; 1:350-1400; IHC: 5-20 мкг/мл; 1:35-140; ICC: 5-20 мкг/мл; 1:35-140; Оптимальное разведение определяется конечным потребителем |
| Метод очистки | Антигенспецифическая аффинная хроматография с последующей аффинной хроматографией с белком А |
| Состав буфера | 0.01M PBS, pH7.4, 0.05% Proclin-300, 50% глицерин |
| Условия доставки | термобокс с аккумуляторами холода |
| Условия хранения | Сразу после получения аликвотировать и хранить при -20ºС до 24 месяцев. Для частого использования хранить при +4ºС не более 2 недель. Избегать повторения циклов замерзания/оттаивания |
| Срок хранения | 24 месяца |
| Производитель | Cloud-Clone Corp. |
| Ссылка на страницу товара на сайте производителя | http://www.cloud-clone.com/products/PAB656Hu01.html |
|
Артикул
|
Наименование |
Производитель
|
|---|
|
Артикул
|
Наименование |
Производитель
|
|---|
|
Артикул
|
Наименование |
Производитель
|
|---|
|
Артикул
|
Наименование |
Производитель
|
|---|
|
Артикул
|
Наименование |
Производитель
|
|---|
|
Артикул
|
Наименование |
Производитель
|
|---|
|
Артикул
|
Наименование |
Производитель
|
|---|
Акции и предложения
Популярные продукты:
Recombinant Human LPO Protein, N-His (YHD49901)
Источник (хозяин): E.coli
Организм: человек
Фрагмент: Val283-Asn712
Теги: N-His
Биоактивность: нет
Организм: человек
Фрагмент: Val283-Asn712
Теги: N-His
Биоактивность: нет
Recombinant Human HRNR Protein, N-His (YHJ17701)
Источник (хозяин): E.coli
Организм: человек
Фрагмент: Glu2685-Gln2850
Теги: N-His
Биоактивность: нет
Организм: человек
Фрагмент: Glu2685-Gln2850
Теги: N-His
Биоактивность: нет
Anti-Human ACTB/β-actin/Beta Actin Nanobody (SAA1234) (RHF37502)
Источник (хозяин): альпака
Реактивность подтвержденная: человек
Валидировано для: ELISA, IP, WB
Реактивность подтвержденная: человек
Валидировано для: ELISA, IP, WB
Anti-MTA1 Antibody (R3S36) (RHG48901)
Источник (хозяин): мышь
Реактивность подтвержденная: человек
Валидировано для: ELISA, FCM, WB
Реактивность подтвержденная: человек
Валидировано для: ELISA, FCM, WB
Anti-HES5 Antibody (R2N07) (RHK76201)
Источник (хозяин): кролик
Реактивность подтвержденная: человек, мышь, крыса
Валидировано для: IHC, IP, WB
Реактивность подтвержденная: человек, мышь, крыса
Валидировано для: IHC, IP, WB
Anti-Phospho-RAD17 (S656) Antibody (R1F84) (RHB36502)
Источник (хозяин): кролик
Реактивность подтвержденная: человек
Валидировано для: IF, IHC, WB
Реактивность подтвержденная: человек
Валидировано для: IF, IHC, WB

