| UNIPROT | P21107 |
| Иммуноген | RPD449Mu01-Recombinant Tropomyosin 3 (TPM3) |
Polyclonal Antibody to Tropomyosin 3 (TPM3) (PAD449Mu01)
Реактивность подтвержденная:
мышь
Источник (хозяин):
кролик
Валидировано для:
IHC
WB
Характеристики
Техническое описание
| Русское название | PAD449Mu01 Поликлональное антитело к TPM3 (мышь) <Cloud-Clone,Китай> |
| Каталожный номер | PAD449Mu01 |
| Название антигена | Tropomyosin 3 (TPM3) |
| UNIPROT | P21107 |
| Иммуноген | RPD449Mu01-Recombinant Tropomyosin 3 (TPM3) |
| Английские синонимы | NEM1, TRK, OK/SW-cl.5, TM-5, TM3, TM30, TM30nm, TPMsk3, Hscp30, Gamma-tropomyosin |
Реактивность подтвержденная Нужна другая реактивность? |
мышь |
| Источник (хозяин) | кролик |
| Клональность | поликлональное |
| Рекомбинантное | нет |
| Готовое к использованию | нет |
| Концентрация | 500 мкг/мл |
| Конъюгат | По запросу: HRP, biotin, PerCP, PE, Cy3, FITC, Cy7, Cy5.5, PE-Cy5, PE-Cy7, PerCp-Cy5.5, APC, Cy5, PE-Cy3, PE-Cy5.5, APC-Cy7, Biotin-APC, FITC-Biotin, TRITC, APC-Cy5, AF488, AF594, AF405, AF555, AF700, AF647, AF750 |
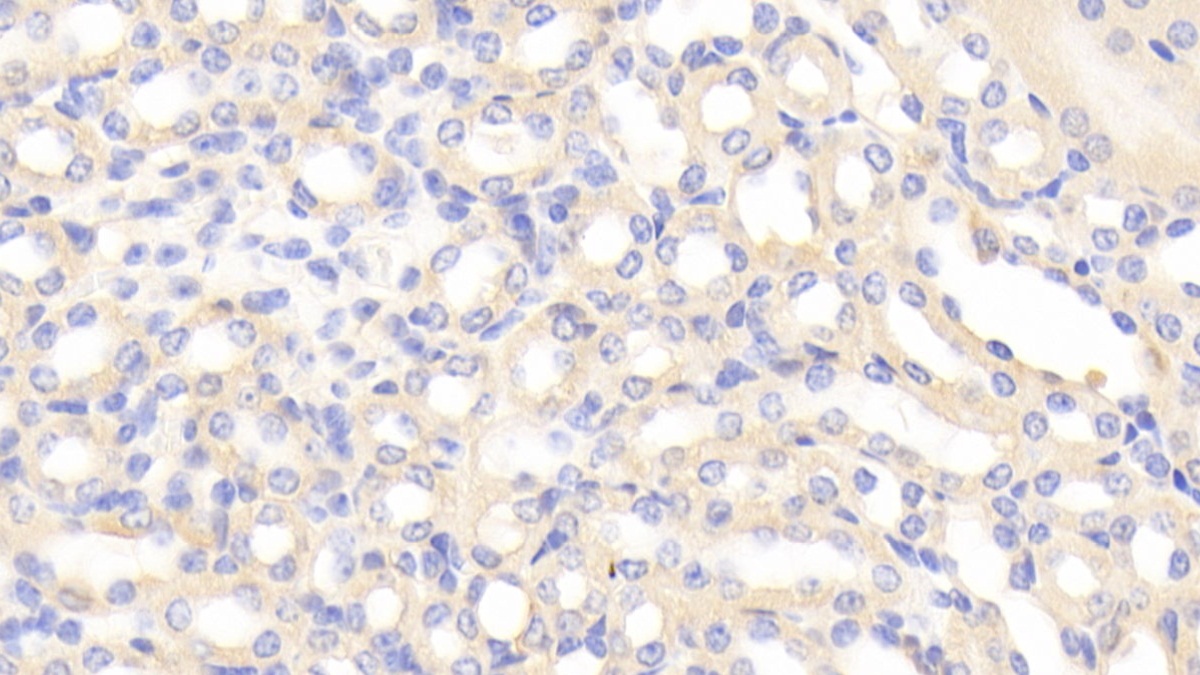
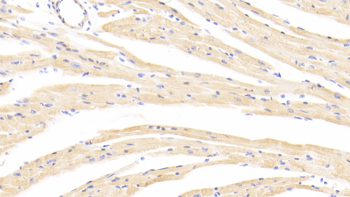
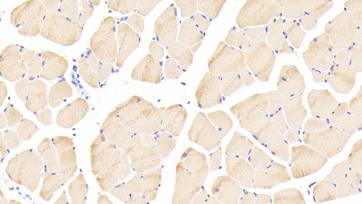
| Валидировано для | IHC WB Иммуногистохимия; Вестерн-блоттинг |
| Рекомендуемые разведения | WB: 0.5-2 мкг/мл; IHC: 5-20 мкг/мл; ICC: 5-20 мкг/мл; Оптимальное разведение определяется конечным потребителем |
| Метод очистки | Антигенспецифическая аффинная хроматография с последующей аффинной хроматографией с белком А |
| Состав буфера | 0.01M PBS, pH7.4, 0.05% Proclin-300, 50% глицерин |
| Условия доставки | термобокс с аккумуляторами холода |
| Условия хранения | Сразу после получения аликвотировать и хранить при -20ºС до 24 месяцев. Для частого использования хранить при +4ºС не более 2 недель. Избегать повторения циклов замерзания/оттаивания |
| Срок хранения | 24 месяца |
| Производитель | Cloud-Clone Corp. |
| Ссылка на страницу товара на сайте производителя | http://www.cloud-clone.com/products/PAD449Mu01.html |
|
Артикул
|
Наименование |
Производитель
|
|---|
|
Артикул
|
Наименование |
Производитель
|
|---|
Акции и предложения
Популярные продукты:
ELISA Kit DIY Materials for Cytochrome C Oxidase Subunit II (COX2) (KSD284Ra01)
Организм: крыса
Диапазон определения: 0.312-20 нг/мл
Чувствительность: 0.124 нг/мл
Диапазон определения: 0.312-20 нг/мл
Чувствительность: 0.124 нг/мл
Porcine Palmdelphin ELISA kit (E07P0827)
Организм: свинья
Bovine Cadherin 20(CDH20) ELISA kit (E11C1541)
Организм: корова
Rabbit Annexin A10(ANXA10) ELISA kit (E04A1542)
Организм: кролик

