| UNIPROT | Q9BZJ3 |
| Иммуноген | RPD782Hu01-Recombinant Tryptase Delta 1 (TPSd1) |
Polyclonal Antibody to Tryptase Delta 1 (TPSd1) (PAD782Hu01)
Реактивность подтвержденная:
человек
Источник (хозяин):
кролик
Валидировано для:
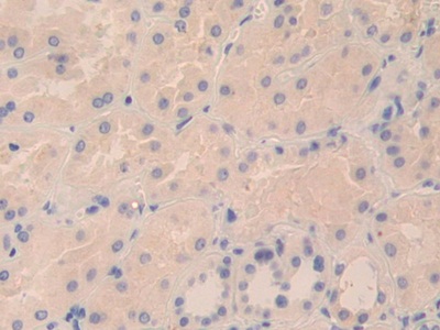
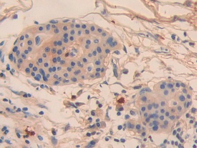
IHC
Характеристики
Техническое описание
| Русское название | PAD782Hu01 Поликлональное антитело к TPSd1 (человек) <Cloud-Clone,Китай> |
| Каталожный номер | PAD782Hu01 |
| Название антигена | Tryptase Delta 1 (TPSd1) |
| UNIPROT | Q9BZJ3 |
| Иммуноген | RPD782Hu01-Recombinant Tryptase Delta 1 (TPSd1) |
| Английские синонимы | MCP7L1, MMCP-7L, mMCP-7-like II, mMCP-7-like I, MMCP-7-LIKE-2, HmMCP-3-like tryptase III, Mast cell mMCP-7-like, Tryptase-3 |
Реактивность подтвержденная Нужна другая реактивность? |
человек |
| Источник (хозяин) | кролик |
| Клональность | поликлональное |
| Рекомбинантное | нет |
| Готовое к использованию | нет |
| Концентрация | 500 мкг/мл |
| Конъюгат | По запросу: HRP, biotin, PerCP, PE, Cy3, FITC, Cy7, Cy5.5, PE-Cy5, PE-Cy7, PerCp-Cy5.5, APC, Cy5, PE-Cy3, PE-Cy5.5, APC-Cy7, Biotin-APC, FITC-Biotin, TRITC, APC-Cy5, AF488, AF594, AF405, AF555, AF700, AF647, AF750 |
| Валидировано для | IHC Иммуногистохимия |
| Рекомендуемые разведения | WB: 0.2-2 мкг/мл; 1:250-2500; IHC: 5-20 мкг/мл; 1:25-100; ICC: 5-20 мкг/мл; 1:25-100; Оптимальное разведение определяется конечным потребителем |
| Метод очистки | Антигенспецифическая аффинная хроматография с последующей аффинной хроматографией с белком А |
| Состав буфера | 0.01M PBS, pH7.4, 0.05% Proclin-300, 50% глицерин |
| Условия доставки | термобокс с аккумуляторами холода |
| Условия хранения | Сразу после получения аликвотировать и хранить при -20ºС до 24 месяцев. Для частого использования хранить при +4ºС не более 2 недель. Избегать повторения циклов замерзания/оттаивания |
| Срок хранения | 24 месяца |
| Производитель | Cloud-Clone Corp. |
| Ссылка на страницу товара на сайте производителя | http://www.cloud-clone.com/products/PAD782Hu01.html |
Акции и предложения
Популярные продукты:
Rabbit Centromere Protein A ELISA kit (E04C0646)
Организм: кролик
Anti-GGGGS Linker Antibody (R4E06) (RGP16001)
Источник (хозяин): кролик
Реактивность подтвержденная: для всех
Валидировано для: ELISA, FCM, ICC, IF, IHC, WB
Реактивность подтвержденная: для всех
Валидировано для: ELISA, FCM, ICC, IF, IHC, WB
Monoclonal Antibody to Desmin (Des) (MAA373Hu28)
Источник (хозяин): мышь
Реактивность подтвержденная: человек
Валидировано для: WB
Реактивность подтвержденная: человек
Валидировано для: WB
Monoclonal Antibody to Desmin (Des) (MAA373Hu26)
Источник (хозяин): мышь
Реактивность подтвержденная: человек
Валидировано для: WB
Реактивность подтвержденная: человек
Валидировано для: WB
Monoclonal Antibody to Alkaline Phosphatase, Placental Like Protein 2 (ALPPL2) (MAJ649Hu25)
Источник (хозяин): мышь
Реактивность подтвержденная: человек
Валидировано для: WB
Реактивность подтвержденная: человек
Валидировано для: WB
Bovine Ventral anterior homeobox 1(VAX1) ELISA kit (E11V0068)
Организм: корова

