| UNIPROT | P23381 |
| Иммуноген | RPB748Hu01-Recombinant Tryptophanyl tRNA Synthetase (WARS) |
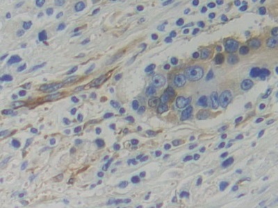
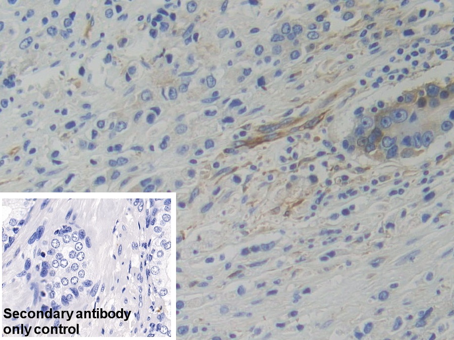
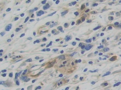
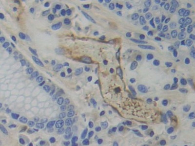
Polyclonal Antibody to Tryptophanyl tRNA Synthetase (WARS) (PAB748Hu01)
Реактивность подтвержденная:
человек
Источник (хозяин):
кролик
Валидировано для:
IHC
WB
Характеристики
Техническое описание
| Русское название | PAB748Hu01 Поликлональное антитело к WARS (человек) <Cloud-Clone,Китай> |
| Каталожный номер | PAB748Hu01 |
| Название антигена | Tryptophanyl tRNA Synthetase (WARS) |
| UNIPROT | P23381 |
| Иммуноген | RPB748Hu01-Recombinant Tryptophanyl tRNA Synthetase (WARS) |
| Английские синонимы | GAMMA-2, IFI53, IFP53, WRS, TrpRS, hWRS, Tryptophan tRNA Ligase 1,Cytoplasmic, Interferon-induced protein 53, Tryptophanyl-tRNA synthetase |
Реактивность подтвержденная Нужна другая реактивность? |
человек |
| Реактивность предсказываемая | мышь |
| Источник (хозяин) | кролик |
| Клональность | поликлональное |
| Рекомбинантное | нет |
| Готовое к использованию | нет |
| Концентрация | 0.5 мг/мл |
| Конъюгат | По запросу: HRP, biotin, PerCP, PE, Cy3, FITC, Cy7, Cy5.5, PE-Cy5, PE-Cy7, PerCp-Cy5.5, APC, Cy5, PE-Cy3, PE-Cy5.5, APC-Cy7, Biotin-APC, FITC-Biotin, TRITC, APC-Cy5, AF488, AF594, AF405, AF555, AF700, AF647, AF750 |
| Валидировано для | IHC WB Иммуногистохимия; Вестерн-блоттинг |
| Рекомендуемые разведения | WB: 0.5-2 мкг/мл; 1:100-400; IHC: 5-20 мкг/мл; 1:10-40; ICC: 5-20 мкг/мл; 1:10-40; Оптимальное разведение определяется конечным потребителем |
| Метод очистки | Антигенспецифическая аффинная хроматография с последующей аффинной хроматографией с белком А |
| Состав буфера | 0.01M PBS, pH7.4, 0.05% Proclin-300, 50% глицерин |
| Условия доставки | термобокс с аккумуляторами холода |
| Условия хранения | Сразу после получения аликвотировать и хранить при -20ºС до 24 месяцев. Для частого использования хранить при +4ºС не более 2 недель. Избегать повторения циклов замерзания/оттаивания |
| Срок хранения | 24 месяца |
| Производитель | Cloud-Clone Corp. |
| Ссылка на страницу товара на сайте производителя | http://www.cloud-clone.com/products/PAB748Hu01.html |
|
Артикул
|
Наименование |
Производитель
|
|---|
|
Артикул
|
Наименование |
Производитель
|
|---|
|
Артикул
|
Наименование |
Производитель
|
|---|
|
Артикул
|
Наименование |
Производитель
|
|---|
|
Артикул
|
Наименование |
Производитель
|
|---|
Акции и предложения
Популярные продукты:
Mouse Total Adiponectin ELISA kit (E03A0125)
Организм: мышь
Диапазон определения: 1-25 нг/мл
Чувствительность: 0.1 нг/мл
Диапазон определения: 1-25 нг/мл
Чувствительность: 0.1 нг/мл
Anti-PDCoV NSP10/GFL Polyclonal Antibody (PVV43506)
Источник (хозяин): кролик
Реактивность подтвержденная: вирусы
Валидировано для: ELISA, IHC, WB
Реактивность подтвержденная: вирусы
Валидировано для: ELISA, IHC, WB
Anti-JEV NS5 Polyclonal Antibody (PVV43201)
Источник (хозяин): кролик
Реактивность подтвержденная: вирусы
Валидировано для: ELISA, IHC, WB
Реактивность подтвержденная: вирусы
Валидировано для: ELISA, IHC, WB
Anti-Human SEPTIN6 Polyclonal Antibody (PHG71901)
Источник (хозяин): кролик
Реактивность подтвержденная: человек
Валидировано для: ELISA, IHC, WB
Реактивность подтвержденная: человек
Валидировано для: ELISA, IHC, WB
Recombinant Human TRAPPC9 Protein, N-His (YHK67501)
Источник (хозяин): E.coli
Организм: человек
Фрагмент: Phe367-Lys500
Теги: N-His
Биоактивность: нет
Организм: человек
Фрагмент: Phe367-Lys500
Теги: N-His
Биоактивность: нет

