| UNIPROT | P33981 |
| Иммуноген | RPG991Hu01-Recombinant TTK Protein Kinase (TTK) |
Polyclonal Antibody to TTK Protein Kinase (TTK) (PAG991Hu01)
Реактивность подтвержденная:
человек
Источник (хозяин):
кролик
Валидировано для:
IHC
WB
Характеристики
Техническое описание
| Русское название | PAG991Hu01 Поликлональное антитело к TTK (человек) <Cloud-Clone,Китай> |
| Каталожный номер | PAG991Hu01 |
| Название антигена | TTK Protein Kinase (TTK) |
| UNIPROT | P33981 |
| Иммуноген | RPG991Hu01-Recombinant TTK Protein Kinase (TTK) |
| Английские синонимы | MPS1, MPS1L1, CT96, PYT, Cancer/Testis Antigen 96, Phosphotyrosine picked threonine-protein kinase, Dual specificity protein kinase TTK |
Реактивность подтвержденная Нужна другая реактивность? |
человек |
| Реактивность предсказываемая | мышь |
| Источник (хозяин) | кролик |
| Клональность | поликлональное |
| Рекомбинантное | нет |
| Готовое к использованию | нет |
| Концентрация | 0.5 мг/мл |
| Конъюгат | По запросу: HRP, biotin, PerCP, PE, Cy3, FITC, Cy7, Cy5.5, PE-Cy5, PE-Cy7, PerCp-Cy5.5, APC, Cy5, PE-Cy3, PE-Cy5.5, APC-Cy7, Biotin-APC, FITC-Biotin, TRITC, APC-Cy5, AF488, AF594, AF405, AF555, AF700, AF647, AF750 |
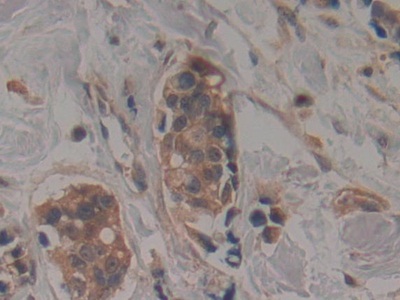
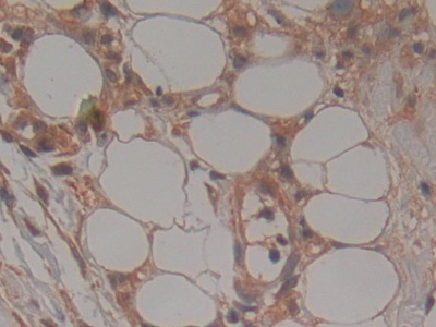
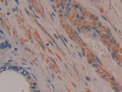
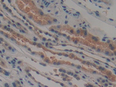
| Валидировано для | IHC WB Иммуногистохимия; Вестерн-блоттинг |
| Рекомендуемые разведения | WB: 0.01-2 мкг/мл; IHC: 5-20 мкг/мл; ICC: 5-20 мкг/мл; Оптимальное разведение определяется конечным потребителем |
| Метод очистки | Антигенспецифическая аффинная хроматография с последующей аффинной хроматографией с белком А |
| Состав буфера | 0.01M PBS, pH7.4, 0.05% Proclin-300, 50% глицерин |
| Условия доставки | термобокс с аккумуляторами холода |
| Условия хранения | Сразу после получения аликвотировать и хранить при -20ºС до 24 месяцев. Для частого использования хранить при +4ºС не более 2 недель. Избегать повторения циклов замерзания/оттаивания |
| Срок хранения | 24 месяца |
| Производитель | Cloud-Clone Corp. |
| Ссылка на страницу товара на сайте производителя | http://www.cloud-clone.com/products/PAG991Hu01.html |
|
Артикул
|
Наименование |
Производитель
|
|---|
|
Артикул
|
Наименование |
Производитель
|
|---|
|
Артикул
|
Наименование |
Производитель
|
|---|
|
Артикул
|
Наименование |
Производитель
|
|---|
Акции и предложения
Популярные продукты:
Anti-BECN1 Antibody (m1A02) (RHG80203)
Источник (хозяин): кролик
Реактивность подтвержденная: человек, мышь, крыса
Валидировано для: ELISA, IF, IHC, IP, WB
Реактивность подтвержденная: человек, мышь, крыса
Валидировано для: ELISA, IF, IHC, IP, WB
Guinea Pig LIM/homeobox protein Lhx6(LHX6) ELISA kit (E05L0105)
Организм: морская свинка
Canine F box only protein 11(FBXO11) ELISA kit (E08F0276)
Организм: собака
Mouse Elongation factor 1 gamma(EEF1G) ELISA kit (E03E0370)
Организм: мышь
Monkey Collectin 12(COLEC12) ELISA kit (E09C1927)
Организм: обезьяна

