| UNIPROT | A2AQ07 |
| Иммуноген | RPE707Mu01-Recombinant Tubulin Beta 1 (TUBb1) |
Polyclonal Antibody to Tubulin Beta 1 (TUBb1) (PAE707Mu01)
Реактивность подтвержденная:
мышь
Источник (хозяин):
кролик
Валидировано для:
IHC
Характеристики
Публикации
Техническое описание
| Русское название | PAE707Mu01 Поликлональное антитело к TUBb1 (мышь) <Cloud-Clone,Китай> |
| Каталожный номер | PAE707Mu01 |
| Название антигена | Tubulin Beta 1 (TUBb1) |
| UNIPROT | A2AQ07 |
| Иммуноген | RPE707Mu01-Recombinant Tubulin Beta 1 (TUBb1) |
Реактивность подтвержденная Нужна другая реактивность? |
мышь |
| Источник (хозяин) | кролик |
| Клональность | поликлональное |
| Рекомбинантное | нет |
| Готовое к использованию | нет |
| Концентрация | 0.5 мг/мл |
| Конъюгат | По запросу: HRP, biotin, PerCP, PE, Cy3, FITC, Cy7, Cy5.5, PE-Cy5, PE-Cy7, PerCp-Cy5.5, APC, Cy5, PE-Cy3, PE-Cy5.5, APC-Cy7, Biotin-APC, FITC-Biotin, TRITC, APC-Cy5, AF488, AF594, AF405, AF555, AF700, AF647, AF750 |
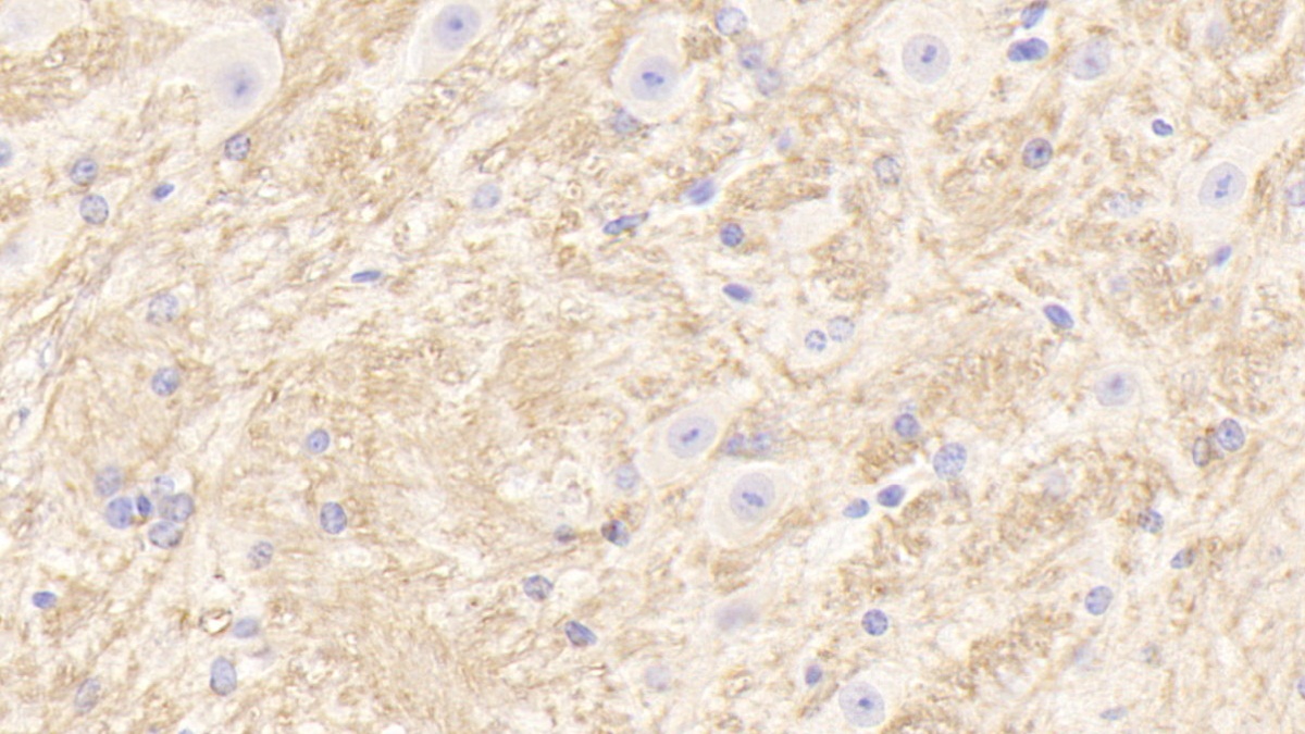
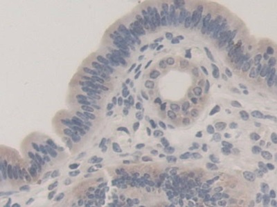
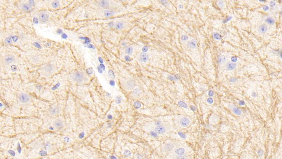
| Валидировано для | IHC Иммуногистохимия |
| Рекомендуемые разведения | WB: 0.01-2 мкг/мл; IHC: 5-20 мкг/мл; ICC: 5-20 мкг/мл; Оптимальное разведение определяется конечным потребителем |
| Метод очистки | Антигенспецифическая аффинная хроматография с последующей аффинной хроматографией с белком А |
| Состав буфера | PBS, pH7.4, 0.02% NaN3, 50% глицерин |
| Условия доставки | термобокс с аккумуляторами холода |
| Условия хранения | Сразу после получения аликвотировать и хранить при -20ºС до 24 месяцев. Для частого использования хранить при +4ºС не более 2 недель. Избегать повторения циклов замерзания/оттаивания |
| Срок хранения | 24 месяца |
| Производитель | Cloud-Clone Corp. |
| Ссылка на страницу товара на сайте производителя | http://www.cloud-clone.com/products/PAE707Mu01.html |
|
Артикул
|
Наименование |
Производитель
|
|---|
|
Артикул
|
Наименование |
Производитель
|
|---|
|
Артикул
|
Наименование |
Производитель
|
|---|
|
Артикул
|
Наименование |
Производитель
|
|---|
|
Артикул
|
Наименование |
Производитель
|
|---|
|
Артикул
|
Наименование |
Производитель
|
|---|
Акции и предложения
Популярные продукты:
ELISA Kit for Fission 1 (FIS1) (SEJ105Ra)
Организм: крыса
Диапазон определения: 0.312-20 нг/мл
Чувствительность: 0.062 нг/мл
Диапазон определения: 0.312-20 нг/мл
Чувствительность: 0.062 нг/мл
Sheep Streptozotocin ELISA kit (E14S0833)
Организм: овца
Porcine Argininosuccinate lyase(ASL) ELISA kit (E07A1722)
Организм: свинья
Rat Mitochondrial fission 1 protein ELISA kit (E02F0458)
Организм: крыса
Bovine Crumbs homolog 1(CRB1) ELISA kit (E11C2038)
Организм: корова

