| UNIPROT | P04637 |
| Иммуноген | RPA928Hu02-Recombinant Tumor Protein p53 (P53) |
Polyclonal Antibody to Tumor Protein p53 (P53) (PAA928Hu02)
Реактивность подтвержденная:
человек
Источник (хозяин):
кролик
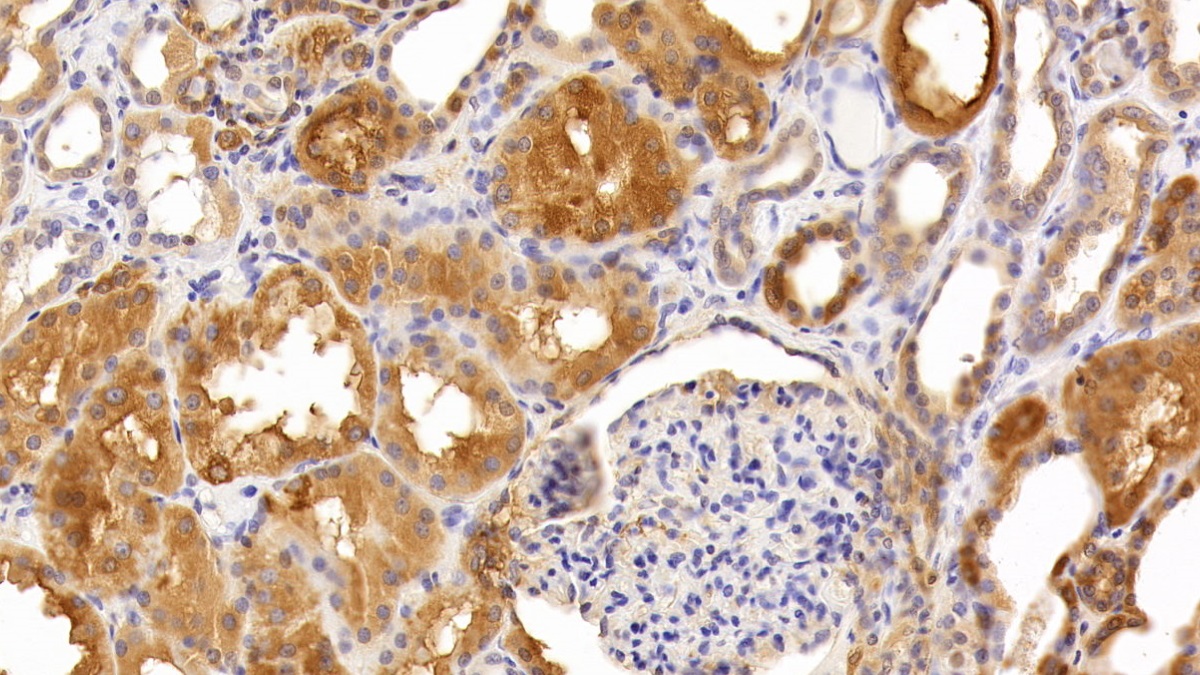
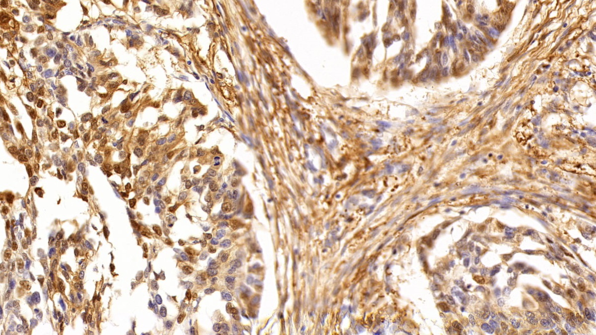
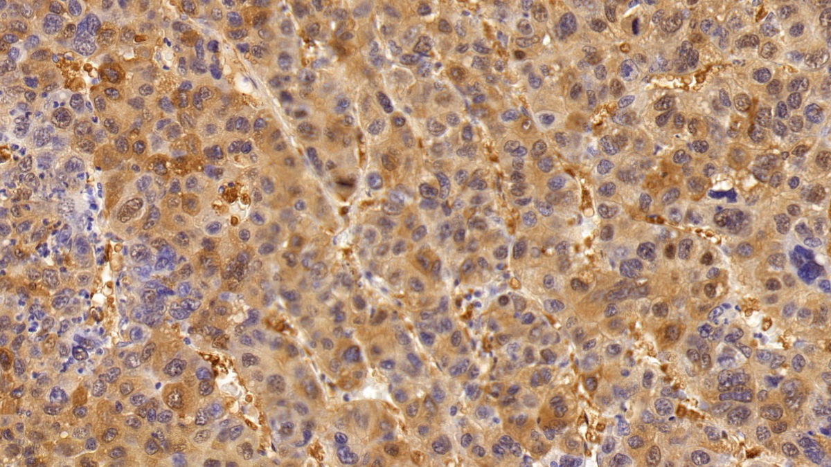
Валидировано для:
FCM
IHC
WB
Характеристики
Техническое описание
| Русское название | PAA928Hu02 Поликлональное антитело к P53 (человек) <Cloud-Clone,Китай> |
| Каталожный номер | PAA928Hu02 |
| Название антигена | Tumor Protein p53 (TP53) |
| UNIPROT | P04637 |
| Иммуноген | RPA928Hu02-Recombinant Tumor Protein p53 (P53) |
| Английские синонимы | p53, LFS1, TRP53, Li-Fraumeni Syndrome, Cellular tumor antigen p53, Antigen NY-CO-13, Phosphoprotein p53, Tumor suppressor p53 |
| Русские синонимы | белок p53, Клеточный опухолевый антиген p53, Опухолевый супрессор p53, Фосфопротеин p53, Антиген NY-CO-13 |
Реактивность подтвержденная Нужна другая реактивность? |
человек |
| Источник (хозяин) | кролик |
| Клональность | поликлональное |
| Рекомбинантное | нет |
| Готовое к использованию | нет |
| Концентрация | 500 мкг/мл |
| Конъюгат | По запросу: HRP, biotin, PerCP, PE, Cy3, FITC, Cy7, Cy5.5, PE-Cy5, PE-Cy7, PerCp-Cy5.5, APC, Cy5, PE-Cy3, PE-Cy5.5, APC-Cy7, Biotin-APC, FITC-Biotin, TRITC, APC-Cy5, AF488, AF594, AF405, AF555, AF700, AF647, AF750 |
| Валидировано для | FCM IHC WB Проточная цитометрия; Иммуногистохимия; Вестерн-блоттинг |
| Рекомендуемые разведения | WB: 0.5-2 мкг/мл; IHC: 5-20 мкг/мл; ICC: 5-20 мкг/мл; FCM: 20 мкг/мл; Оптимальное разведение определяется конечным потребителем |
| Метод очистки | Антигенспецифическая аффинная хроматография с последующей аффинной хроматографией с белком А |
| Состав буфера | 0.01M PBS, pH7.4, 0.05% Proclin-300, 50% глицерин |
| Условия доставки | термобокс с аккумуляторами холода |
| Условия хранения | Сразу после получения аликвотировать и хранить при -20ºС до 24 месяцев. Для частого использования хранить при +4ºС не более 2 недель. Избегать повторения циклов замерзания/оттаивания |
| Срок хранения | 24 месяца |
| Производитель | Cloud-Clone Corp. |
| Ссылка на страницу товара на сайте производителя | http://www.cloud-clone.com/products/PAA928Hu02.html |
|
Артикул
|
Наименование |
Производитель
|
|---|
|
Артикул
|
Наименование |
Производитель
|
|---|
|
Артикул
|
Наименование |
Производитель
|
|---|
|
Артикул
|
Наименование |
Производитель
|
|---|
|
Артикул
|
Наименование |
Производитель
|
|---|
|
Артикул
|
Наименование |
Производитель
|
|---|
|
Артикул
|
Наименование |
Производитель
|
|---|
|
Артикул
|
Наименование |
Производитель
|
|---|
Акции и предложения
Популярные продукты:
Human Neuropeptide Y receptor type 1(NPY1R) ELISA kit (E01N0559)
Организм: человек
Диапазон определения: 1-25 нг/мл
Чувствительность: 0.1 нг/мл
Диапазон определения: 1-25 нг/мл
Чувствительность: 0.1 нг/мл
Anti-Human WNT7A Polyclonal Antibody (PHA18801)
Источник (хозяин): кролик
Реактивность подтвержденная: человек
Валидировано для: ELISA, IHC, WB
Реактивность подтвержденная: человек
Валидировано для: ELISA, IHC, WB
Anti-Phospho-p53 (pT18) Antibody (23#) (RHC10001)
Источник (хозяин): мышь
Реактивность подтвержденная: человек
Валидировано для: IHC, IP, WB
Реактивность подтвержденная: человек
Валидировано для: IHC, IP, WB
Recombinant Human COL11A1 Protein, N-His (YHC92101)
Источник (хозяин): E.coli
Организм: человек
Фрагмент: Asp1564-Gly1806
Теги: N-His
Биоактивность: нет
Организм: человек
Фрагмент: Asp1564-Gly1806
Теги: N-His
Биоактивность: нет
Anti-BAX Antibody (R3R51) (RHG13208)
Источник (хозяин): мышь
Реактивность подтвержденная: человек, мышь, крыса, кролик, обезьяна
Валидировано для: ELISA, FCM, IHC, WB
Реактивность подтвержденная: человек, мышь, крыса, кролик, обезьяна
Валидировано для: ELISA, FCM, IHC, WB

