| UNIPROT | P54577 |
| Иммуноген | RPD003Hu01-Recombinant Tyrosyl tRNA Synthetase (YARS) |
Polyclonal Antibody to Tyrosyl tRNA Synthetase (YARS) (PAD003Hu01)
Реактивность подтвержденная:
человек
Источник (хозяин):
кролик
Валидировано для:
IHC
WB
Характеристики
Техническое описание
| Русское название | PAD003Hu01 Поликлональное антитело к YARS (человек) <Cloud-Clone,Китай> |
| Каталожный номер | PAD003Hu01 |
| Название антигена | Tyrosyl tRNA Synthetase (YARS) |
| UNIPROT | P54577 |
| Иммуноген | RPD003Hu01-Recombinant Tyrosyl tRNA Synthetase (YARS) |
| Английские синонимы | CMTDIC, TYRRS, YRS, YTS, Tyrosine tRNA Ligase 1,Cytoplasmic |
Реактивность подтвержденная Нужна другая реактивность? |
человек |
| Реактивность предсказываемая | мышь, крыса |
| Источник (хозяин) | кролик |
| Клональность | поликлональное |
| Рекомбинантное | нет |
| Готовое к использованию | нет |
| Концентрация | 0.5 мг/мл |
| Конъюгат | По запросу: HRP, biotin, PerCP, PE, Cy3, FITC, Cy7, Cy5.5, PE-Cy5, PE-Cy7, PerCp-Cy5.5, APC, Cy5, PE-Cy3, PE-Cy5.5, APC-Cy7, Biotin-APC, FITC-Biotin, TRITC, APC-Cy5, AF488, AF594, AF405, AF555, AF700, AF647, AF750 |
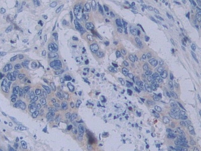
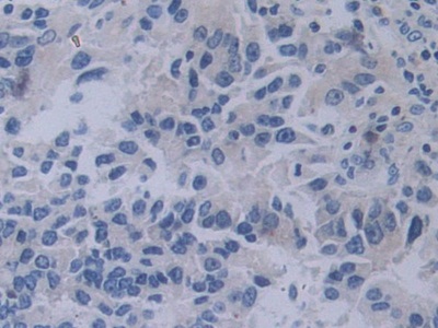
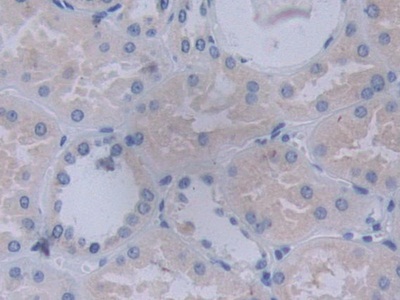
| Валидировано для | IHC WB Иммуногистохимия; Вестерн-блоттинг |
| Рекомендуемые разведения | WB: 0.01-2 мкг/мл; IHC: 5-20 мкг/мл; ICC: 5-20 мкг/мл; Оптимальное разведение определяется конечным потребителем |
| Метод очистки | Антигенспецифическая аффинная хроматография с последующей аффинной хроматографией с белком А |
| Состав буфера | PBS, pH7.4, 0.02% NaN3, 50% глицерин |
| Условия доставки | термобокс с аккумуляторами холода |
| Условия хранения | Сразу после получения аликвотировать и хранить при -20ºС до 24 месяцев. Для частого использования хранить при +4ºС не более 2 недель. Избегать повторения циклов замерзания/оттаивания |
| Срок хранения | 24 месяца |
| Производитель | Cloud-Clone Corp. |
| Ссылка на страницу товара на сайте производителя | http://www.cloud-clone.com/products/PAD003Hu01.html |
|
Артикул
|
Наименование |
Производитель
|
|---|
Акции и предложения
Популярные продукты:
Guinea Pig Proteoglycan 4 ELISA kit (E05P0163)
Организм: морская свинка
Monkey Troponin T, fast skeletal muscle(TNNT3) ELISA kit (E09T0722)
Организм: обезьяна
Rabbit Peroxisome Biogenesis Factor 1 ELISA kit (E04P1081)
Организм: кролик
Hamster Peroxisome Biogenesis Factor 1 ELISA kit (E18P1081)
Организм: хомяк
Porcine X Box Binding Protein 1 ELISA kit (E07X0002)
Организм: свинья

