| UNIPROT | Q921A3 |
| Иммуноген | RPB744Ra01-Recombinant Ubiquitin D (UBD) |
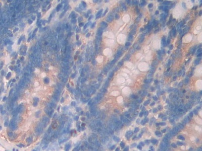
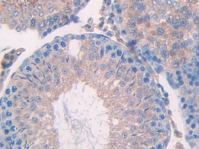
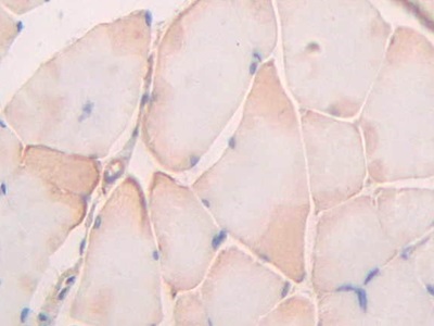
Polyclonal Antibody to Ubiquitin D (UBD) (PAB744Ra01)
Реактивность подтвержденная:
крыса
Источник (хозяин):
кролик
Валидировано для:
IHC
Характеристики
Техническое описание
| Русское название | PAB744Ra01 Поликлональное антитело к UBD (крыса) <Cloud-Clone,Китай> |
| Каталожный номер | PAB744Ra01 |
| Название антигена | Ubiquitin D (UBD) |
| UNIPROT | Q921A3 |
| Иммуноген | RPB744Ra01-Recombinant Ubiquitin D (UBD) |
| Английские синонимы | UB-D, FAT10, UBD-3, Diubiquitin, Ubiquitin-like protein FAT10 |
Реактивность подтвержденная Нужна другая реактивность? |
крыса |
| Источник (хозяин) | кролик |
| Клональность | поликлональное |
| Рекомбинантное | нет |
| Готовое к использованию | нет |
| Концентрация | 0.5 мг/мл |
| Конъюгат | По запросу: HRP, biotin, PerCP, PE, Cy3, FITC, Cy7, Cy5.5, PE-Cy5, PE-Cy7, PerCp-Cy5.5, APC, Cy5, PE-Cy3, PE-Cy5.5, APC-Cy7, Biotin-APC, FITC-Biotin, TRITC, APC-Cy5, AF488, AF594, AF405, AF555, AF700, AF647, AF750 |
| Валидировано для | IHC Иммуногистохимия |
| Рекомендуемые разведения | WB: 0.01-2 мкг/мл; IHC: 5-20 мкг/мл; ICC: 5-20 мкг/мл; Оптимальное разведение определяется конечным потребителем |
| Метод очистки | Антигенспецифическая аффинная хроматография с последующей аффинной хроматографией с белком А |
| Состав буфера | 0.01M PBS, pH7.4, 0.05% Proclin-300, 50% глицерин |
| Условия доставки | термобокс с аккумуляторами холода |
| Условия хранения | Сразу после получения аликвотировать и хранить при -20ºС до 24 месяцев. Для частого использования хранить при +4ºС не более 2 недель. Избегать повторения циклов замерзания/оттаивания |
| Срок хранения | 24 месяца |
| Производитель | Cloud-Clone Corp. |
| Ссылка на страницу товара на сайте производителя | http://www.cloud-clone.com/products/PAB744Ra01.html |
|
Артикул
|
Наименование |
Производитель
|
|---|
|
Артикул
|
Наименование |
Производитель
|
|---|
|
Артикул
|
Наименование |
Производитель
|
|---|
Акции и предложения
Популярные продукты:
Recombinant Bacillus anthracis PA/pagA/PA-83 Protein, N-His (YXX00402)
Источник (хозяин): B.subtilis
Организм: бактерии
Фрагмент: Glu30-Gly764
Теги: N-His
Биоактивность: нет
Организм: бактерии
Фрагмент: Glu30-Gly764
Теги: N-His
Биоактивность: нет
Bovine Caskin 2(CASKIN2) ELISA kit (E11C1390)
Организм: корова
Rabbit Cystatin SN(CST1) ELISA kit (E04C2119)
Организм: кролик
Bovine cathepsin B (CTSB) ELISA kit (E11C2162)
Организм: корова

