| UNIPROT | Q93009 |
| Иммуноген | RPC255Hu01-Recombinant Ubiquitin Specific Peptidase 7 (USP7) |
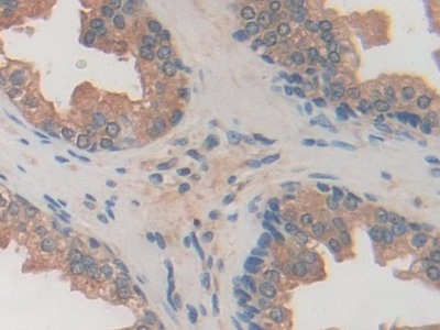
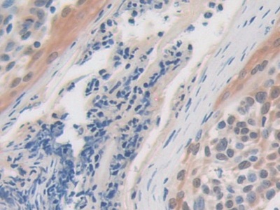
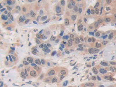
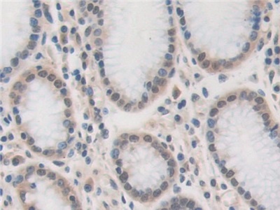
Polyclonal Antibody to Ubiquitin Specific Peptidase 7 (USP7) (PAC255Hu01)
Реактивность подтвержденная:
человек
Источник (хозяин):
кролик
Валидировано для:
IHC
Характеристики
Техническое описание
| Русское название | PAC255Hu01 Поликлональное антитело к USP7 (человек) <Cloud-Clone,Китай> |
| Каталожный номер | PAC255Hu01 |
| Название антигена | Ubiquitin Specific Peptidase 7 (USP7) |
| UNIPROT | Q93009 |
| Иммуноген | RPC255Hu01-Recombinant Ubiquitin Specific Peptidase 7 (USP7) |
| Английские синонимы | HAUSP, TEF1, Ubiquitin Carboxyl-Terminal Hydrolase 7, Herpesvirus-associated ubiquitin-specific protease, Deubiquitinating enzyme 7, Ubiquitin-specific-processing protease 7 |
Реактивность подтвержденная Нужна другая реактивность? |
человек |
| Реактивность предсказываемая | мышь, крыса |
| Источник (хозяин) | кролик |
| Клональность | поликлональное |
| Рекомбинантное | нет |
| Готовое к использованию | нет |
| Концентрация | 0.5 мг/мл |
| Конъюгат | По запросу: HRP, biotin, PerCP, PE, Cy3, FITC, Cy7, Cy5.5, PE-Cy5, PE-Cy7, PerCp-Cy5.5, APC, Cy5, PE-Cy3, PE-Cy5.5, APC-Cy7, Biotin-APC, FITC-Biotin, TRITC, APC-Cy5, AF488, AF594, AF405, AF555, AF700, AF647, AF750 |
| Валидировано для | IHC Иммуногистохимия |
| Рекомендуемые разведения | WB: 0.01-2 мкг/мл; IHC: 5-20 мкг/мл; ICC: 5-20 мкг/мл; Оптимальное разведение определяется конечным потребителем |
| Метод очистки | Антигенспецифическая аффинная хроматография с последующей аффинной хроматографией с белком А |
| Состав буфера | PBS, pH7.4, 0.02% NaN3, 50% глицерин |
| Условия доставки | термобокс с аккумуляторами холода |
| Условия хранения | Сразу после получения аликвотировать и хранить при -20ºС до 24 месяцев. Для частого использования хранить при +4ºС не более 2 недель. Избегать повторения циклов замерзания/оттаивания |
| Срок хранения | 24 месяца |
| Производитель | Cloud-Clone Corp. |
| Ссылка на страницу товара на сайте производителя | http://www.cloud-clone.com/products/PAC255Hu01.html |
|
Артикул
|
Наименование |
Производитель
|
|---|
|
Артикул
|
Наименование |
Производитель
|
|---|
|
Артикул
|
Наименование |
Производитель
|
|---|
|
Артикул
|
Наименование |
Производитель
|
|---|
Акции и предложения
Популярные продукты:
ELISA Kit DIY Materials for Succinate Dehydrogenase Complex Subunit B (SDHB) (KSJ756Mu01)
Организм: мышь
Диапазон определения: 0.156-10 нг/мл
Чувствительность: 0.053 нг/мл
Диапазон определения: 0.156-10 нг/мл
Чувствительность: 0.053 нг/мл
ELISA Kit for Glypican 5 (GPC5) (SED754Mu)
Организм: мышь
Диапазон определения: 0.156-10 нг/мл
Чувствительность: 0.057 нг/мл
Диапазон определения: 0.156-10 нг/мл
Чувствительность: 0.057 нг/мл
ELISA Kit for Anti-Growth Differentiation Factor 5 Antibody (Anti-GDF5) (AEC110Hu)
Организм: человек
Диапазон определения: 3.12-200 нг/мл
Чувствительность: 0.058 нг/мл
Диапазон определения: 3.12-200 нг/мл
Чувствительность: 0.058 нг/мл

